Почему эозинофилы повышены у взрослого
Лечение эозинофилии
Лечение эозинофилии определяется индивидуально, исходя из степени развития заболевания и первопричины. Если речь идет о вторичной эозинофилии, устраняют основной раздражающий фактор или аллерген.
Аллергические расстройства и нарушения соединительной ткани хорошо поддаются лечению кортикостероидами. Паразитарные и грибковые инфекции при использовании стероидов могут прогрессировать, поэтому их устраняют антибиотиками и противогрибковыми препаратами. Больным первичной эозинофилией при отсутствии повреждения внутренних органов лекарственные препараты принимать не обязательно. Необходим контроль функции сердца.
Если повреждены внутренние органы, применяют такие лекарственные средства:
- интерферон альфа;
- кортикостероиды;
- гидроксимочевину.
Препараты, рекомендуемые для лечения эозинофилии: Хлорамбуцил, Винкристин, Цитарабин, Хлородеоксаденозин, Этопозид. Пациентам с гиперэозинофильным синдромом назначают лечение антителами и агентами на основе антител, например, меполизумаб, алемтузумаб, брентуксимаб ведотин. Действие этих препаратов направлено на обнаружение эозинофилов и контроль их активности. Экспериментальное лечение предусматривает применение комбинаций химиотерапевтических агентов, ингибиторов тирозинкиназы и моноклональных антител.
Еще один метод лечения — аллогенная трансплантация гемопоэтических стволовых клеток или алло-ТГСК. Этот метод позволяет регулировать процесс создания клеток крови. Донорские ГСК практически полностью заменяются клетками донора и берут на себя функцию кроветворения.
Источники статьи:http://www.mayoclinic.org/http://emedicine.medscape.com/http://www.merckmanuals.com/https://www.nlm.nih.gov/
По материалам:
1998-2015 Mayo Foundation for Medical Education and Research.
Michaelann Liss, DO; Emmanuel C Besa, MD.
Jane Liesveld, MD, Patrick Reagan, MD,
2015 Merck Sharp & Dohme Corp.,
a subsidiary of Merck & Co., Inc., Kenilworth, NJ., USA.
U.S. National Library of Medicine.
Как научиться противостоять стрессу?
Употребление кофе может привести к обезвоживанию?
Продукты, которые позволят быть энергичным даже осенью
4 необычных преимуществ занятия спортом
В каких случаях опасно использовать масло и воду при ожогах?

Почему люди выбирают похожих партнеров, даже имея плачевный опыт отношений

Имплантация зубов — преимущества и выбор клиники

Блокада позвоночника – мгновенное устранение боли в спине

Ядовитая приправа, есть или не есть в открытых уличных кафе

Онлайн-сервис SKIN.EXPERT – здоровая кожа одним кликом
- Гистиоцитоз Лангерганса (болезнь Леттерера-Сиве)
- Тромбастения геморрагическая наследственная (тромбастения Гланцмана). Тромбоцитопатия. Пурпура сенильная (старческая)
- Что такое моноцитарный лейкоз? Причины появления, механизм развития
- Лимфоидный лейкоз
У нас также читают:
- Мифы и правда о сульфаниламидах
- Физиология дыхательной системы
- Смешанное заболевание соединительной ткани
- Межреберная невралгия. Туннельная невропатия подмышечного нерва и компрессионный неврит
К сведению
Наши партнеры
Онкология как развивается — узнать больше информации в статьях врачей Европейской клиники.
Форум о пластической хирургии prof-medicina.ru
Причины эозинофилии
В таблице 1 отражены причины и ассоциированные расстройства, сопровождающиеся эозинофилией
|
Таблица 1 — Причины эозинофилии |
|
|
Причина |
Примеры |
|
Аллергические или атопические расстройства |
Астма Аллергический бронхолегочной аспергиллез Аллергический ринит Атопический дерматит Медикаментозные реакции (например, к антибиотики или НПВС) Экзема Эпизодический ангионевротический отек с эозинофилией Молочно-белковые аллергии Профессиональные заболевания легких Крапивница |
|
Соединительная ткань, васкулит или гранулематозные болезни (особенно с участием легких) |
Постинфарктный синдром Эозинофильный фасциит Идиопатический эозинофильный синовит Воспалительное заболевание кишечника Узелковый полиартрит Прогрессирующий системный склероз (склеродермия) Ревматоидный артрит Саркоидоз Синдром Шегрена СКВ |
|
Эндокринные расстройства |
Гипофункция надпочечников |
|
Иммунные нарушения (часто с экземой) |
Синдром врожденного иммунодефицита (например, дефицит IgA, синдром гипер-lgE) Трансплантат против хозяина болезни |
|
Миелопролиферативные заболевания |
Острый или хронический эозинофильный лейкоз Острый лимфобластный лейкоз (некоторые типы) Хронический миелолейкоз Гиперэозинофильным синдром |
|
Непаразитарные инфекции |
Аспергиллез Бруцеллез Лихорадка кошачьих царапин Хламидийная пневмония младенцев Кокцидиоидомикоз (острый) Инфекционный лимфоцитоз Инфекционный мононуклеоз Микобактериальные заболевания Скарлатина |
|
Паразитарные инфекции (особенно инвазия ткани многоклеточными ) |
Аскаридоз Клонорхоз Цистицеркоз (вызванное свиной цепень) Эхинококкоз Филяриатоз Анкилостомоз Парагонимоз Шистосомоз Стронгилоидоз Трихинеллез Трихоцефалез Висцеральная мигрирующая личинка |
|
Кожные заболевания |
Дерматит герпетиформный Эксфолиативный дерматит Пузырчатка Псориаз |
|
Синдромы легочной инфильтрации с эозинофилией |
Аллергический бронхолегочной аспергиллез Хроническая эозинофильная пневмония Эозинофильная Гранулематоз Вегенера Простая легочная эозинофилия (синдром Леффлера) Тропическая легочная эозинофилия |
|
Опухоли |
Карциномы и саркомы легкого, поджелудочной железы, толстой кишки, шейки матки, или яичнике Лимфома Ходжкина Иммунобластная лимфаденопатия Неходжкинская лимфома |
|
Разное |
Цирроз Семейная эозинофилия Перитонеальный диализ Радиационная терапия |
В таблице 2 отражены типы реакций на лекарства, сопровождаемые эозинофилией
|
Таблица 2 — Типы реакций на лекарства, связанные с эозинофилией |
|
|
Проявления |
Обычно сопутствующие препараты |
|
Бессимптомные |
Пенициллины, цефалоспорины |
|
Ртечность мягких тканей |
GM-CSF, IИЛ-2 |
|
Легочные инфильтраты |
НПВС |
|
Интерстициальный нефрит |
Полусинтетические пенициллины, цефалоспорины, НПВС |
|
Миокардит |
Ранитидин |
|
Гепатит |
Полусинтетические пенициллины, тетрациклины |
|
Гиперчувствительный васкулит |
Аллопуринол, фенитоин |
|
Гастроэнтероколит |
НПВС |
|
Астма, носовые полипы |
Аспирин |
|
Синдром эозинофилии-миалгии |
L-триптофан загрязненный |
|
Разное |
Сульфасалазин, фенитоин, карбамазепин, аллопуринол, гидрохлоротиазид, циклоспорин, невирапин |
Важно рассмотреть большое число возможных причин эозинофилии
Данные табл.1 и 2 свидетельствуют о множестве заболеваний и расстройств, сопровождающихся эозинофилией.
Степень эозинофилии редко полезна для выявления её причины, за исключением крайних значений числа эозинофилов (например, очень мягкая эозинофилиия, более вероятно, будет связана с астмой или аллергическим ринитом, очень тяжелая эозинофилия [т.е. ≥ 20000 эозинофилы / мкл], скорее всего, вызвана миелопролиферативным новообразование. Между этими крайностями, перечень возможных причин является обширным и клиницист должен учитывать весь спектр расстройств, отраженных в таблице. Естественно, что в первую очередь учитывается клиника проявления заболевания.
Итак, повышение абсолютного числа эозинофилов выше верхней границы норма лаборатории, выполнявшей анализ крови, обзывает отнестись серьёзно к этому показателю. Возможно, Вам придется пройти долгий путь выяснения причины, а причина определит и схему лечения.
Эозинофилы понижены
Явление, обратное повышению эозинофилов, называется эозинопенией. Другими словами, это снижение эозинофилов в крови. Чаще всего по нему судят об истощенности сил организма. Причины эозинопении могут быть следующими:
- Появление в организме инфекции;
- Травмы и ожоги;
- Послеоперационный период;
- Тяжелое протекание гнойных инфекций, сепсисы;
- Инфаркт миокарда;
- Интоксикация тяжелыми металлами;
- Постоянный стресс;
- Недосып;
- Патологии надпочечников и щитовидной железы;
- Другое.
Эозинопения, при которой уровень клеток доходит до 0, характерная для брюшного тифа, острого аппендицита, дезентерии.
Если человек постоянно мало спит, много работает и нервничает, а в результате анализа крови эозинофилы понижены у взрослого, причины стоит искать в пересмотре образа жизни.
Не стоит упускать из виду и тот факт, что анализы крови на эозинофилы могут быть неточными, если есть подозрение на ошибочность результата, сдайте кровь в другую лабораторию.
Пониженные эозинофилы в крови встречаются реже по сравнению с повышенными, и часто они не имеют высокой важности для постановки диагноза. Но в то же время эозинопения может быть одним из факторов, по которым в комплексе определяют присутствие тяжелой патологии
Так, если эозинофилы понижены у ребенка, причем понижение происходит плавно, но постоянно, врач может предположить синдром Дауна. Недоношенные дети также имеют более низкий уровень эозинофилов по сравнению с положенным для их возраста.
То, что эозинофилы понижены при беременности обычно не выходит за пределы нормы. В течение срока вынашивания ребенка организм частично блокирует иммунную защиту, чтобы не допустить отторжения плода как постороннего объекта. В связи с этим численное количество эозинофилов также снижается.
Во время родов их уровень может упасть и вовсе до нуля. Объяснить это можно сильными болями, спазмами и стрессом для будущей мамы, эти факторы, вызывающие обычно эозинопению, объединены друг с другом. Со временем, после рождения ребенка, уровень эозинофилов восстанавливается и приходит в норму.
Зачастую изменение уровня эозинофилов связано с колебанием числа и других кровяных телец. Это помогает врачу более точно предположить диагноз.
Один из тяжелых случаев изменения количества эозинофилов – это эозинофильный лейкоз. Но диагностирование этого заболевания не может быть основано на одном анализе крови. Прежде чем сделать вывод о наличии или отсутствие лейкоза, врач назначает разностороннее обследование организма.
Будьте здоровы!
Основные причины
Когда врачи говорят про причины повышения эозинофилов у взрослого или ребенка, то выделяют следующие факторы:
- аллергия;
- вирусное или бактериальное поражение организма;
- кожные заболевания;
- глисты;
- развитие стафилококка;
- аутоиммунные заболевания, при которых иммунитет начинает вырабатывать антитела по отношению к здоровым тканям организма;
- раковые опухоли, метастазы;
- некоторые лекарства (сульфаниламиды, ацетилсалициловая кислота, нитрофураны);
- дефицит магния.
По словам доктора Комаровского, у грудничков высокие эозинофилы могут наблюдаться из-за отрицательной реакции на коровье молоко или другие продукты питания. Также многое зависит от того, какие продукты употребляла мать во время беременности или в период кормления: это поможет избежать аллергии у малыша.

Если анализ показывает, что одновременно с эозинофилами увеличилось количество нейтрофилов, базофилов, лимфоцитов, моноцитов, это может говорить о заражении крови. Иногда бывает так, что количество эозинофилов в норме, но моноциты повышены при наличии паразитических червей. Вот почему такое несоответствие, а также симптомы, характерные для поражения организма глистами, должны насторожить врача и являются поводом назначить дополнительные анализы.
Низкое количество эозинофилов также опасно, поскольку говорит о слабом иммунитете, о начальной фазе воспалительных или гнойных процессов, отравлении металлами. Пониженный уровень эозинофилов может быть связан с физиологическими причинами и абсолютно неопасно. Это значит, что их число понижается после тяжелой физической работы в утренние часы, у женщин – во второй половине менструального цикла, во время беременности.
Вне зависимости от того, эозинофилы повышены у взрослого или у грудничка, если анализ показал отклонение от их нормы, а также нейтрофилов, базофилов, лимфоцитов, моноцитов, врач должен будет назначить повторное обследование. Иногда может понадобиться отдельный анализ на эозинофильный катионный белок.
Это поможет избежать ошибки в случае неправильной подготовки пациента к анализу или ошибки во время забора или анализа материала. Если повторное обследование подтвердит, что эозинофилы понижены или повышены у взрослого или ребенка, надо будет пройти дополнительные обследования, чтобы врач обнаружил причину и назначил правильное лечение. Когда она будет устранена, содержание эозинофилов, нейтрофилов, базофилов, лимфоцитов, моноцитов вернется в норму.
Симптомы эозинофилии
Внешние проявления эозинофилии довольно ярко выражены. У большинства пациентов присутствуют изменения кожного покрова: кожа утолщается, краснеет, становится более грубой и плотной.
Развивается миофасциальный болевой синдром — состояние, характеризующееся хроническими болями в мышцах, аналогичное фибромиалгии. Присутствуют спазмы мышц, изредка могут появляться судороги. В крови и образцах тканей повышается количество эозинофилов, в зависимости от их количества определяется степень интенсивности заболевания.
Следующий симптом — нарушения работы нервной системы или невропатия, основными симптомами которой является онемение и жжение конечностей, особенно в ночное время, слабость, потеря двигательных рефлексов, также могут присутствовать неврологические боли в суставах, дрожание конечностей (тремор) и миоклонус, то есть скачкообразное резкое подрагивание мышц.
Ярко выраженный отек конечностей и мягких тканей тела в сочетании с парестезией — характерный симптомы эозинофилии. Может также присутствовать фасцит, чувствительность суставов, которая появляется при проникновении эозинофилов в волокнистый слой мышц, и окружают мышцу.
На поверхности кожи появляются участки желтого цвета или цвета слоновой кости, которые становятся нечувствительными. Из-за отсутствия чувствительности некоторые участки кожи могут атрофироваться.
Следующий симптом — это лихорадка, сосудистые нарушения, появление сосудистой сетки, заметных «звездочек», иногда и кровоподтеков, возможно появление небольшой сыпи. Наблюдаются нарушения сердечного ритма, желудочно-кишечные расстройства, выпадение волос, кашель и головная боль.
Функции эозинофилов в организме
Для понимания механизма развития эозинофилии, необходимо четко понимать, какова роль эозинофилов в организме и как сказывается на теле их избыток в крови и тканях.
Эозинофилы выполняют две важные функции в иммунной системе человека. К ним относятся:
1. Уничтожение чужеродных веществ (микрочастиц, вирусов, отравляющих веществ).
Эозинофилы потребляют посторонние вещества, в частности те, которые имеют паразитарную или вирусную природу. Эти частицы/бактерии или другие компоненты «помечены» другими составляющими иммунной системы и подлежат удалению.
2. Регулирование процесса воспаления.
Эозинофилы способствуют появлению воспаления, которое необходимо для изоляции и контроля чужеродного микроорганизма или частицы. Однако в некоторых случаях воспаление становится более масштабным, чем это необходимо организму, и вызывает повреждения тканей и различные неприятные симптомы. Эозинофилы, например, важны для контроля проявления симптомов астмы, аллергии или сенной лихорадки. Они сдерживают аллергические и ревматические факторы, не допуская тотального развития заболевания. Различные нарушения иммунной системы, способствующие постоянному, хроническому воспалению, регулируются эозинофилами.
Эозинофилия развивается, когда большое количество эозинофилов поступает в определенный участок тела или же в том случае, когда костный мозг начинает по определенным причинам вырабатывать избыток этих белых кровяных клеток.
Причины повышенных эозинофилов у взрослых

Эозинофилия – это патологическое повышения уровня эозинофилов в крови. Различают три формы эозинофилии в зависимости от показателей:
- легкая (от 500 до 1500/мкл или до 10% от общего числа лейкоцитов плазме);
- умеренная (1500-5000/мкл или от 10 до 20%);
- тяжелая (более 5000/мкл или более 20%).
Повышение содержания эозинофилов возникает вследствие развития ряда заболеваний, которые можно разделить на группы: аллергические реакции, коллагенозы, глистные инвазии и злокачественные образования.
Аллергические реакции
Во время аллергии базофилы вырабатывают большое количество гистамина и гепарина для улучшения кровообращения, а также для уменьшения воспалительного процесса посредством расширения капилляров и предотвращения свертывания крови.
Через некоторое время, эозинофилы при помощи фермента гистаминаза обезвреживают гистамин и гепарин, которые выполнили свои функции. Высокий уровень гистамина при аллергии всегда вызывает увеличение эозинофилов в крови, что, как правило, наблюдается при следующих заболеваниях:
- Бронхиальная астма – заболевание аллергической природы, что сопровождается периодическими приступами обструкции бронхов. При астме повышенное содержание эозинофилов в легких вызывает нарушение эпителиальных клеток дыхательных путей, гиперчувствительность, обильное выделение слизи и другие симптомы заболевания.
- Сенная лихорадка или аллергический ринит – заболевание, вызываемое такими аллергенами, как пыль, сигаретный дым, цветочная пыльца, шерсть животных и т.д. Развитие болезни сопровождается образованием обильной слизи в носовых ходах, слезотечением.
- Аллергический (контактный) дерматит – заболевание, при котором аллергены действуют на кожу (косметические средства, металлические украшение и т.д.), вызывая появление антител и реакцию иммунной системы. При небольшом воспалении отмечается значительное повышение эозинофилов в тканях и умеренное повышение в плазме.
- Лекарственная аллергия является результатом появления иммунного ответа организма на действующее вещество или дополнительные компоненты лекарственных препаратов. Аллергия на лекарства может проявляться симптомами крапивницы, отеками лица и конечностей, отеком Квинке.
Глистная инвазия
Повышенные эозинофилы в крови могут быть вызваны паразитарными инфекциями, при этом наиболее высокие показатели (до 30 %) наблюдаются в случаях, когда паразиты на разных стадиях размножения мигрируют по всему организму человека, вызывая иммунный ответ:
- аскаридоз;
- филяриоз;
- трихинеллез;
- описторхоз;
- эхинококкоз;
- лямблиоз.
Некоторые разновидности паразитов (например, все виды остриц), не покидающие кишечник человека на протяжении всей жизнедеятельности, не вызывают повышение эозинофилов, что делает невозможным диагностику таких форм глистной инвазии с помощью клинического или биохимического анализа крови.
Злокачественные образования
Рост злокачественных опухолей в некоторых случаях сопровождается повышением уровня эозинофилов. Эозинофилия бывает местной (инфильтрация эозинофильных лейкоцитов в патологические ткани) и общей, которая обнаруживается в анализе крови.
Наиболее часто повышенные эозинофилы наблюдаются при следующих патологиях злокачественного характера:
- острый лейкоз;
- хронический миелолейкоз;
- лимфома;
- лимфогранулематоз;
- опухоль Вильмса;
- рак щитовидной железы;
- опухоли внутренних органов с метастазами.
Коллагенозы
Коллагенозы – это группа воспалительных заболеваний соединительной ткани, при которых наблюдается развитие иммунно-аллергических реакций в мышцах, сосудах, коже, опорно-двигательной системе, внутренних органов:
- эозинофильный фасциит;
- дерматомиозит;
- системная красная волчанка;
- эозинофильный гранулематоз с поливаскулитом;
- системный тромбоваскулит;
- системная склеродермия;
- ревматоидный артрит;
- болезнь Бехчера;
- узелковый периартериит;
- гранулематоз Вегенера.
Также причиной повышения количества эозинофилов могут стать заболевания, которые сопровождаются воспалительными процессами в разных системах организма: воспалительные патологии в кишечнике (болезнь Крона, язвенный колит), саркоидоз, герпетиформный дерматит.
Проявления и отдельные виды эозинофилии как самостоятельной патологии
Симптомы эозинофилии как таковой выделить невозможно, ведь она не является самостоятельным заболеванием, но в ряде случаев вторичного характера повышенных эозинофилов симптомы и жалобы пациентов очень схожи.

Для паразитарных заболеваний характерными симптомами могут быть:
- Увеличение лимфоузлов, печени и селезенки;
- Анемия — особенно, при поражении кишечника, малярии;
- Снижение массы тела;
- Постоянная субфебрильная лихорадка;
- Боли в суставах, мышцах, слабость, снижение аппетита;
- Приступы сухого кашля, сыпь на коже.
Пациент предъявляет жалобы на постоянное чувство усталости, снижение веса и ощущение голода даже при обильном питании, головокружения при анемии, лихорадку, существующую длительно без явной видимой причины. Эти симптомы говорят об интоксикации продуктами обмена паразитов и нарастании аллергии на них, разрушении тканей организма, расстройствах пищеварения и обмена.
Аллергические реакции проявляются зудом кожи (крапивница), образованием волдырей, отеком тканей шеи (отек Квинке), характерной уртикарной сыпью, в тяжелых случаях возможен коллапс, резкое падение артериального давления, отслоение участков кожи и шок.
Поражения пищеварительного тракта с эозинофилией сопровождаются такими симптомами, как тошнота, расстройства стула в виде диареи, рвота, боль и неприятные ощущения в животе, выделение крови или гноя с калом при колитах и т. д. Симптоматика связана не с повышением эозинофилов, а с конкретным заболеванием желудочно-кишечного тракта, клиника которого и выходит на первый план.
Признаки опухолевой патологии, приводящей к эозинофилии вследствие поражения лимфоузлов и костного мозга (лейкозы, лимфомы, парапротеинемии) — лихорадка, слабость, уменьшение массы тела, боль и ломота в суставах, мышцах, увеличение печени, селезенки, лимфоузлов, склонность к инфекционно-воспалительным заболеваниям.

кожные геморрагии, сопровождающиеся эозинофилией
Синдром Леффлера — одна из разновидностей самостоятельных форм эозинофилии. Причины его точно не установлены, вероятно, ими могут быть паразиты, аллергены из воздуха, лекарства. Синдром протекает благоприятно, жалобы или отсутствуют, или больной отмечает кашель, небольшое повышение температуры.
В легких при синдроме Леффлера образуются скопления эозинофилов, которые разрешаются сами собой, не оставляя последствий, поэтому патология заканчивается полным выздоровлением. При выслушивании в легких могут быть выявлены хрипы. В общем анализе крови на фоне множественных эозинофильных инфильтратов в легких, выявляемых при рентгенографии, появляется лейкоцитоз и эозинофилия, иногда достигающая 60-70%. Рентгенологическая картина поражения легочной ткани сохраняется до месяца.
В странах с жарким климатом (Индия, Африканский континент) встречается так называемая тропическая эозинофилия, при которой также в легких появляются инфильтраты, в крови нарастает число лейкоцитов и эозинофилов. Предполагается инфекционная природа патологии. Течение тропической эозинофилии — хроническое с рецидивами, но возможно спонтанное излечение.
При легочной локализации эозинофильных инфильтратов эти клетки обнаруживаются не только в периферической крови, но и в выделениях из дыхательных путей. Эозинофилия мокроты и слизи из полости носа характерна для синдрома Леффлера, тропической эозинофилии, бронхиальной астмы, аллергических ринитов, сенной лихорадки.
Другой возможной локализацией тканевых эозинофильных инфильтратов могут стать мышцы, в том числе, и миокард. При эндомиокардиальном фиброзе происходит разрастание соединительной ткани под внутренним слоем сердца и в миокарде, полости уменьшаются в объеме, нарастает сердечная недостаточность. Биопсия сердечной мышцы показывает наличие фиброза и эозинофильного пропитывания.
Эозинофильный миозит может выступать в качестве самостоятельной патологии. Он характеризуется поражением мышц воспалительного характера с нарастающей эозинофилией в крови.
Определение эозинофилии и эозинопении
Предупредить серьёзные проблемы со здоровьем проще, когда заболевание определяется на ранней стадии. По этой причине рекомендуется самому человеку внимательно следить за своим самочувствием, не игнорировать те «весточки», которые посылает организм, предупреждая о зарождении проблемы.
Возможная симптоматика
Явных симптомов эозинофилии как таковых не существует, поскольку такое отклонение не является самостоятельным заболеванием. Именно по этой причине в качестве симптоматики рассматриваются признаки, характерные основной патологии.
Итак, если эозинофилы в крови будут увеличиваться по причине глистной инвазии, больной будет замечать такие признаки:
- кашель;
- кожная сыпь;
- потеря массы тела;
- суставная боль;
- снижение аппетита;
- субфебрильная лихорадка;
- анемия;
- увеличение лимфоузлов, печени.
Суставная боль в локте
Если проблема вызвана заболеваниями ЖКТ, наблюдаются дополнительно:
- тошнота;
- рвота;
- диарея;
- присутствие гноя или крови в кале.
Диагностика отклонений
Чтобы получить достоверные результаты, врачи информируют пациентов, как и при каких условиях будет проводиться общий анализ крови на выявление количества эозинофилов.
Проблема заключается в том, что количество исследуемых кровяных клеток варьируется в течение суток, а также зависит от функции надпочечников.
В частности, у каждого человека наблюдается рост количества:
- в утренний период, вследствие этого показатель превышает норму на 10%;
- в вечерний период и первую половину ночи, провоцируя превышение нормы на 30%.
Для получения достоверных результатов рекомендуется:
- кровь сдавать утром, исключая любой приём пищи;
- воздержаться от употребления сладкого в течение предшествующих суток;
- исключить употребление спиртных напитков минимум за одни сутки до проведения исследования;
- отказаться от курения также за 24 часа.
Девушки должны сдавать кровь на 5 – 6 день менструального цикла.
Во врачебной практике различают три степени эозинофильного увеличения:
- лёгкая (от 1 до 10%);
- умеренная (от 11 до 19%);
- выраженная (от 20% и выше).
Врачи не делают поспешных заключений, внимательно изучают результаты исследования, обращая внимание на обозначения, общие показатели лейкоцитов. При необходимости врачи могут назначить повторное проведение исследования крови, чтобы убедиться в достоверности результатов, подтвердить наличие проблемы
Как привести уровень эозинофилов в норму
Если результаты нескольких анализов подтвердили проблему, лечащий врач разрабатывает схему лечения эозинофилии.
Курс лечения обязательно предусматривает устранение основного заболевания. В частности, могут быть назначены:
- противоглистные препараты;
- антигистаминные средства;
- энтеросорбенты;
- цитостатики;
- гормоны;
- иммунодепрессанты
- антибактериальные средства.

Также вне зависимости основной причины, спровоцировавшей эозинофилию, больным назначают витамины, препараты железа, а также рекомендуют соблюдать правильное питание, чтобы укрепить иммунитет.
Эозинофилы у беременных
В период беременности показатели эозинофилов могут отличаться от тех, которые характерны другим женщинам. Нормальными считаются показатели от 0 до 5%. Если же определяется рост, врачи, прежде всего, начинают подозревать аллергические проявления или же присутствие глистной инвазии.
В отдельных случаях отклонение от нормы может быть спровоцировано употреблением некоторых продуктов питания. Практика показывает, что такое отклонение часто возникает после употребления цитрусовых фруктов.
Редко, но всё-таки некоторым беременным приходится сталкиваться с такими внешними проявлениями эозинофилии:
- покраснение кожи;
- шелушение;
- лёгкий зуд.
Итак, эозинофилия может быть кратковременным явлением и не указывать на развитие проблемы. Однако часто именно она сигнализирует о серьёзных заболеваниях, лечение которых должно быть начато незамедлительно
Заниматься самолечением и самостоятельной диагностикой нельзя, важно обратиться к лечащему врачу, который сможет определить наличие проблемы со здоровьем, назначить правильное лечение. Если вы желаете сохранить крепкое здоровье, доверьтесь врачу
Низкий уровень эозинофилов в крови
Процесс выработки защитных клеток – эозинофилов, происходит в красном костном мозге из недифференцированных клеток. Закончив формирование, они двигаются в кровь на несколько суток, которых хватает для полного уничтожения, обнаружения чужеродных патогенов. Выполнив непосредственную работу, в русле, эозинофилы транспортируются во все тканевые структуры внутренних органов, начиная там работать. Высокий процент этих представителей лейкоцитов содержится в органах, которые контактируют с внешними раздражителями (легкие, кожа, система пищеварения, носоглоточное пространство).
В пределах нормы количество эозинофилов в плазме крови составляет от 1–5% общей численности лейкоцитов, и значительно зависит от времени суток.
Уровень концентрации в детском организме эозинофилов в крови понижается, как и у взрослого человека, составляя около 1%. Но верхняя черта сильно увеличивается, если ребенок старше. У взрослого человека и ребенка пониженные эозинофилы диагностируют, учитывая низкий уровень показателя 0,5%.
Эозинопенией(значимым снижением количества эозинофилов) считается снижение их абсолютного числа менее 200 в микролитре.





Прогиб клапана при 1 степени заболевания составляет 3-6 мм, в результате этого кровь поступает обратно в предсердие в незначительном количестве. Такая степень болезни проходит практически бессимптомно и не доставляет больному дискомфорта. Обнаруживается она, как правило, случайно. Чаще диагностируется в раннем детском возрасте, девочки более подвержены этой дисфункции.



При вторичном ПМК необходимо своевременно лечить хронические инфекции и бороться с гиперхолестеринемией. Для этого необходимо будет принимать антибиотики, назначенные врачом (никакого самолечения!), а также скорректировать свои привычки и тщательно следить за личной гигиеной.



После выполнения диагностики проводится расшифровка кардиограммы сердца, ритм синусовый и другие параметры описываются по всем правилам.




Организм человека работает слаженно и по настроенной схеме, отвечающей за поддержание равновесия тела и удержания в определенном положении в пространстве. Вестибулярная система имеет рецепторы в каждом виде тканей, поэтому даже при незначительном изменении или подаче сигнала от нервных волокон человек может мгновенно поменять положение тела, но не упасть или дезориентироваться. Если хотя б одна из составляющей сложнейшего механизма нарушает свою работу, это влияет на весь организм.
Пребывая на улице в зной день, не забудьте вооружиться солнечными очками. Голову идеально защитить широкополой шляпой. Бутылочка с водой (квасом, узваром), прихваченная из дому, убережет от жажды, придаст сил в дороге. Пузырек нашатыря убережет от обморока.




Природой даровано слабой половине два периода в жизни, физиологические особенности которых причисляются к норме. Первый период – беременность, второй – климакс.
Причины иллюзии кружения тела либо предметов вокруг связаны с дисбалансом гормонов в организме. Почему биологически активные структуры провоцируют частые кружения головы? Уменьшение подпитки организма эстрогенами и другими важными веществами ведет к нарушению обменных процессов, утрате эластичности тканей. И если в молодом возрасте варьирование количества гормонов подчинялось закономерности, то в климактерический период это происходит хаотично. Естественно, что и в целом организм следует такому нарушенному ритму.

Важным фактором, ускоряющим выздоровление, является строгое соблюдение специальной диеты, которая базируется на ограничении жидкости, углеводных продуктов и соли. Длительность лечения зависит от динамики выздоровления и восстановления нормальной работы сердца.
Если миокардит возник на фоне бактериальной этиологии, то, как правило, назначаются антибиотики с учетом характера основного заболевания. Наиболее часто применяются:
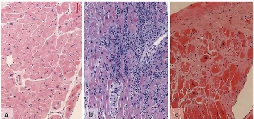
а) здоровый миокард; b) острый миокардит с участками очагового отека и некроза; c) хронический миокардит с гипертрофией кардиомиоцитов, интерстициальным фиброзом и рубцеванием.


Патология сердечного ритма – экстрасистолия
Сонография (ЭхоКГ) выявляет органические и функциональные нарушения работы сердца



Эффекты от применения Трентала таковы:


Дигидроэрготоксин выпускают в форме раствора. При лечении цереброваскулярных расстройств раствор принимают перорально, каплями. Дозировку подбирает врач, курс лечения также длительный. А вот при лечении периферических нарушений кровотока (например, при болезни Рейно) Дигидроэрготоксин вводят парентерально. Препарат может вводиться подкожно, внутримышечно, а также внутривенно капельно.

Препараты антагонистов кальция

Совместимые группы крови помечены в таблице «v»










Медикаментозная терапия начинается чаще всего с бета-адреноблокаторов. При их неэффективности могут быть использованы антиаритмические препараты других групп (пропафенон, аллапинин и другие). Иногда назначается амиодарон, особенно при сочетании с желудочковыми нарушениями ритма.

Таблетки от вегетососудистой дистонии бывают разные, так как заболевание можно лечить и другими препаратами.
При проблемах с сосудами необходимы средства, нормализующие тонус сосудистых стенок (Венарус, Доппельгерц), противохолестериновые препараты (Аторвастатин, Ловастатин) и сосудорасширяющие (Амлодипин, Стугерон). Для улучшения кровообращения и устранения последствий гипоксии могут быть назначены ноотропные (Пирацетам), нейролептические (Мексидол) и метаболические препараты (Кавинтон).


