Цистит на нервной почве
Введение в терминологию
Интерстициальный цистит (далее ИЦ) — диагноз исключения, который устанавливается на основании типичной клинической картины и обязательного поэтапного исключения мочевых инфекций, опухолей, камней и других патологий.
Заболевание чаще встречается среди женщин. Точную эпидемиологическую картину патологии дать достаточно трудно в связи с недостаточностью диагностики ИЦ и низкой обращаемостью женщин непосредственно к урологам.
Несмотря на множество разногласий в трактовке данного состояния, классификация ИЦ достаточно проста и почти не отличается у разных авторов.
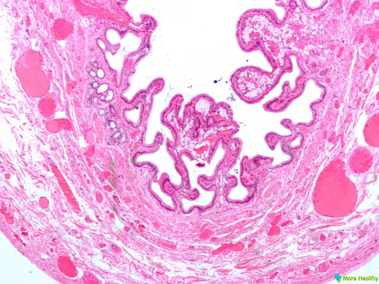
По результатам цистоскопии выделяют два основных типа заболевания:
- 1“Типичный”. При цистоскопии определяется явное, видимое глазом воспаление мочепузырной стенки, получившее название “Гуннеровская язва” или “Гуннеровский очаг” (по фамилии ученого, впервые выявившего его и связавшего с ИЦ). Выраженность повреждения слизистой мочевого пузыря может варьировать от небольших покраснений до образования множественных глубоких язв. Тяжесть клинической картины не всегда коррелирует с видимыми глазу изменениями. Эта форма встречается только у 5-7% пациентов.
- 2“Нетипичный”. При цистоскопии не обнаруживается никаких видимых глазу признаков воспаления. Слизистая визуально не повреждена, физиологического оттенка, хотя клиническая картина заболевания может быть ярко выраженной. Такой вариант течения имеют большинство пациентов (до 90%).
Лечение ИЦ
Для успешного лечения интерстициального цистита необходимо соблюдать определенные принципы терапии:
- Прием лекарственных препаратов при консервативном лечении.
- Диета, исключающая кислые, острые продукты, алкоголь.
- Выполнение упражнений для тренировки мышц тазового дна.
- Тренировка мочевого пузыря.
- При необходимости (язва Ханнера или уменьшение емкости мочевого пузыря) использовать хирургическое лечение.
Консервативная терапия ИЦ:
- Препараты, влияющие на нейрорегуляцию мочевого пузыря: обезболивающие антидепрессанты, спазмолитики, НПВС, антигистаминные и/или антихолинергические лекарства.
- Методы цитодеструкции, которые разрушают зонтичные клетки и активизирующие их регенерацию: гидробужирование, введение диметилсульфоксида или нитрата серебра.
- Методы , направленные на защиту и восстановление слизистого слоя в пузыре. К таким средствам относятся гепарин натрия, гиалуроновая кислота и пентозана полисульфат натрия.
Ниже представлено описание механизма действия некоторых лекарственных средств:
— Гидроксизин — является антагонистом одного из гистаминовых рецепторов – трициклического пиперазин-гистаминового-1. Назначается для лечения ИЦ в следующей дозе — 25-75 мг/сутки.
— Циметидин – действие данного препарата во время терапии ИЦ до сих пор остается неясным, но при его назначении в дозе 400 мг дважды в день отмечается инволюция клинической симптоматики. Это средство относится к группе блокаторов Н2 гистаминовых рецепторов.
— Амитриптилин является трициклическим антидепрессантом, который оказывает седативный и антигистаминный эффекты, а также ингибирует (угнетает) обратный захват серотонина и норадреналина. Можно назначать сроком до 4 мес. в дозе 25-100 мг в сутки.
— Пентозана полисульфат натрия – это мукополисахарид синтетического происхождения, который назначается внутрь. Дозировка – 150-200 мг/день. Это средство восстанавливает целостность гликозаминогликанового слоя и применяется при лечении неязвенной формы ИЦ. Побочное действие – стимуляция пролифератической активности раковых клеток в молочной железе.
— Гепарин натрия используется в качестве своеобразного заменителя слоя мукополисахаридов. Также он уменьшает выраженность воспалительных процессов, снижает образование фибробластов и клеток гладкой мускулатуры. Способ применения: в виде подкожных инъекций по 10000 МЕ 3 р/неделю, длительность курса – 3 месяца. Данный препарат хорошо зарекомендовал себя, как один из компонентов смеси для внутрипузырного введения.
— Гиалуроновая кислота применяется для защиты слизистого слоя мочевого пузыря. Доказана эффективность этого препарата, если у пациента диагностируют аутоиммунный компонент заболевания. Дозировка – 40 мг 1 раз/7 дней, длительность приема – 1 месяц.
— Диметилсульфоксид назначается для уменьшения болевого синдрома и воспалительных реакций в мочевом пузыре. Также он расслабляет мышечную стенку и стимулирует выброс гистамина из тучных клеток.
Путем длительных исследование была разработана оптимальная комбинация препаратов для консервативного лечения ИЦ:
- Пентозана полисульфат натрия – перорально 300-900 мг/день или гепарин натрия ( вводят непосредственно в мочевой пузырь) 40000МЕ , разведенном в 8 мл однопроцентного лидокаина и 3 мл физиологического раствора.
- Гидроксизин – 25 мг перед сном (в осенний и весенний периоды – 50-100 мг).
- Амитриптилин – 25 мг перед сном (каждые 1-2 мес. по 50 мг) или флуоксетин – 10-20 мг в день.
Хирургическое лечение
Но как лечить пациента, если медикаментозная терапия неэффективна? Ответ один – необходимо обратиться к специалистам несколько другого профиля – хирургам. Только они с помощью эндоскопической аппаратуры смогут помочь пациенту. При ИЦ проводят такие манипуляции, как:
- Трансуретральная резекция.
- Трансуретральная лазерная резекция.
- Прижигание.
Лечение и профилактика
Терапевтические действия заключаются в устранении негативных симптомов, что достигается с помощью лекарственных препаратов. Чаще всего применяются такие средства:
- успокоительные (Ново-Пассит, Персен, Седафитон);
- противовоспалительные (Вольтарен);
- болеутоляющие (Парацетамол, Нурофен).



Но основной способ преодоления проблемы связан с устранением негативного воздействия. В этом случае нужно точно знать, что повлекло за собой такое нарушение. Если цистит возник из-за проблем в функционировании головного или спинного мозга, то к процессу лечения должен присоединиться невролог. Он подберет терапевтические меры, которые устранят или нейтрализуют проблему.
В ином случае прием лекарств не принесет необходимых результатов, а болезнь может перерасти в хроническую форму. Лечением больного заболеванием такого типа должен заниматься специалист. Самостоятельное лечение недопустимо.
При отсутствии лечения или несоблюдении пациентом рекомендаций врача могут возникнуть серьезные осложнения. Цистит неприятен сам по себе, но его осложнения могут создать еще больше проблем. Основные из них:
- перерастание болезни в хроническую форму;
- развитие пиелонефрита;
- недержание мочи;
- риск развития онкозаболеваний.
Кроме этого, цистит сказывается на эмоциональном состоянии пациента. Неприятные симптомы мешают вести нормальную жизнь, из-за чего больной может приобрести склонность к депрессивным переживаниям. Если причина развития болезни тоже заключалась в эмоциональных особенностях, то усиление негативных эмоций усилит патологические процессы. При этом следует помнить, что депрессия тоже является опасным состоянием.
В отношении данного типа болезни профилактические меры соблюдать трудно, поскольку редко кому удается следить за своими эмоциями и уж тем более бороться с ними. Однако избежать нейрогенного цистита можно только при соблюдении следующих правил:
- Недопущение травм головного и спинного мозга.
- Избегание стрессовых ситуаций.
- Открытое выражение эмоций.
- Получение максимума положительных переживаний.
- Избавление от привычки долго переживать из-за конфликтов.
Именно так можно предупредить данный недуг и нейтрализовать его, если он уже сформирован. Если человеку трудно самостоятельно выполнять описанные действия, стоит заручиться поддержкой психолога и близких людей.


Предрасположенность у женщин и мужчин
Первичный и рецидивирующий цистит способны провоцировать плохое эмоциональное состояние. Если оценивать психологические особенности людей с заболеваниями мочевого пузыря можно вывести несколько закономерностей:
- Гендерный признак — женщины более склонны к переживаниям и стрессам. Циститы нередко развиваются в период менопаузы, беременности. У детей воспалению предшествуют ссоры в семье, развод родителей, буллинг в школе. Мужчины легче переносят трудности в жизни, более стабильны к различным непредвиденным ситуациям.
- Посттравматический стресс — рецидивирующее воспаление возникает чаще у тех, кто эмоционально настраивается на повторение болезни. Патология следует по кругу. Психологические проблемы создают предпосылки для первичного воспаления, а переживания по поводу заболевания провоцируют его рецидив.
Схема лечения такая же, как и при терапии заболевания не осложненного психоэмоциональным фактором. В первую линию лечения включают:
- антибиотики;
- НПВС;
- спазмолитики;
- анальгетики.
Терапию дополняют методы самокоррекции психоэмоционального состояния. Лиз Бурбо, Луиза Хей, Синельников и другие специалисты описывают способы улучшения самочувствия и правильной реакции на житейские неурядицы.
Чтобы не допустить рецидива важно исключить морально-психологические аспекты возникновения цистита: стрессы, ссоры, посттравматический фактор, боязнь повторного заболевания. Если обычные методы самокоррекции не помогают, потребуется прием седативных средств и легких антидепрессантов
Психология цистита — важный этиологический фактор возникновения воспаления. Учитывая вероятность рецидивов основного заболевания и влияния на эффективность медикаментозной терапии, лечение начинают только после выявления возможных психосоматических катализаторов.
Цистит нервного характера у женщин после переломного момента, как правило, проявляется неожиданно. Все анализы указывают на то, что инфекции мочевого пузыря отсутствует и нет других сопутствующих заболеваний.
Однако не так давно женщина перенесла большое нервное напряжение, из-за которого и развился цистит. Например, могла проводиться операция на половых органах или же не так давно прошли тяжелые роды. Такие причины и способствуют появлению болей в мочевом пузыре, а также нарушению деятельности центральной нервной системы.
Цистит нервного характера
Мочеиспускательная функция контролируется нейрогенными процессами. Это утверждение подтверждается исследованиями ученых, которые доказали возможность возникновения воспалительных процессов мочевого пузыря вследствие психо-эмоциональных расстройств и стрессогенных ситуаций. Из-за угнетенного состояния нервной системы она способна оказывать негативное влияние на деятельность мочевыводящей системы и провоцировать учащение мочеиспускания и болезненность во время этого процесса. Медицинские специалисты выделяют ряд факторов, который способны провоцировать цистит нервного характера:
- регулярные нервные перенагрузки;
- частое возникновение стрессогенных ситуаций;
- расстройства депрессивного характера;
- регулярные конфронтации на почве сексуального характера.
Регулярные нервные нагрузки могут стать причиной заболевания
При невозможности быстрого удаления причин цистита и терапия занимает длительный период времени, патология способна приобрести хронический характер и в дальнейшем постоянно проявляться. Также, нередким явлением выступает развитие патологий мочевого пузыря нервного характера в совокупности с физиологическими провоцирующими факторами:
- чрезмерная длительность пребывания на холоде;
- резкая смена привычного рациона питания;
- отсутствие необходимого количества витаминов и прочих полезных компонентов.
Невзирая на нейрогенную природу патологии, она дает о себе знать стандартной симптоматикой для инфекционного цистита.
Предрасположенность
Цистит нейрогенного происхождения у женского пола возникает неожиданно. При этом в ходе обследования все диагностические меры указывают на отсутствие инфицирования мочевыводящих каналов и прочих вероятных нарушений мочеполовой системы, потенциально способных приводить к развитию цистита. Основными причинами, которые потенциально могут привести к развитию данного нарушения, выступают недавно проведенные операции на половых органах либо трудные роды.
Цистит у мужчин чаще всего встречается в зрелом возрасте
Мужчины подвержены неврологическому циститу, по большей мере, в преклонном возрасте. Данное обстоятельство объясняется повышением вероятности проблем простатой, что отрицательно сказывается на психо-эмоциональном состоянии мужчины и способно выступить главным провокатором заболевания на нервной основе. У мужчин, по аналогии с женщинами, выражение нейрогенного цистита практически полностью идентично циститу инфекционного характера.
Лечение
Методика лечения цистита зависит от типа и формы болезни. Какие препараты назначить, врач определяет индивидуально, основываясь на результатах анализов и учитывая тип бактерий, найденных в моче больного. Существуют особенности лечения цистита у взрослого пациента, подростка и малыша. Очень тщательно подбирают лекарства для женщин в период лактации и беременности, а также при серьезных болезнях печени или почек. Кроме того, разные программы терапии понадобятся при первичной, вторичной и рецидивирующей форме болезни. Самолечение цистита не допустимо. Диагностикой и подбором терапии должен заниматься только компетентный специалист, во избежание осложнений заболевания.
Цистит инфекционной природы, лечат антибиотиками и противовоспалительными средствами. Терапия при цистите неинфекционной природы зависит от причины, вызвавшей болезнь. Как правило, прибегают к симптоматической терапии. В зависимости от состояния пациента, могут рекомендоваться препараты для перорального приема или для введения непосредственно в мочевой пузырь. Если у пациента наблюдается выраженный болевой синдром, гематурия и дизурия – это показания к госпитализации. Если медикаментозное лечение не дает результатов и приступы возвращаются опять, врач может посоветовать оперативный метод решения проблемы.
Для лечения цистита, как и других инфекций мочевых путей, кроме базового медикаментозного лечения, используются методы физиотерапии и фитотерапии. Широко применяются травяные сборы (почечный чай) и соки (например, из клюквы), обладающие антибактериальными и противовоспалительными свойствами. Лечение травами в домашних условиях помогает облегчить симптомы болезни без использования медикаментов, поэтому подходит даже при грудном вскармливании, женщинам в положении и детям. Также рекомендуются сидячие ванночки, которые подходят в качестве домашних процедур. Многим такой тип домашнего лечения помогает преодолеть повторный приступ цистита.
Диагностика и лечение заболевания
Предположить диагноз легко – цистит имеет характерные симптомы. Сложнее установить причину. Для этого нужно:
- посетить уролога, женщине – гинеколога;
- сдать анализы мочи (общий, по Нечипоренко, Зимницкому, бактериологический);
- анализ крови;
- сделать УЗИ почек и мочевого пузыря.
В некоторых случаях врач может назначить эндоскопию, цистоскопию, магнитно-резонансную томографию. Если органических нарушений или воспалительного процесса не выявлено, пациенту нужно посетить невропатолога или психотерапевта.
Если человек сам предположил, что у него цистит вызван нервным потрясением, в любом случае ему нужно будет пройти обследование у уролога. Это необходимо для определения точной причины, поскольку симптомы всех видов цистита практически идентичны. Анализов при воспалении сдается немного, в них входит:
- забор мочи по Нечипоренко и Зимницкому;
- УЗИ;
- цистоскопия (оценка состояния внутренней стенки мочевого пузыря);
- рентген.
Начинать обследование при наличии проблем с мочеиспусканием необходимо с посещения уролога. Врач поможет определить причину возникновения заболевания, ведь симптомы всех форм цистита практически одинаковые.
Если в ходе этих исследований органических и функциональных изменений в выделительной системе выявлено не было, назначаются диагностические процедуры, позволяющие оценить состояние нервной системы — ЭЭГ, МРТ, рентгенологическое исследование позвоночника.
Заболевание практически всегда имеет благоприятный прогноз.
Консультация психотерапевта показана при депрессивных расстройствах, сопровождающих период обострения нейрогенных проблем с мочеиспусканием. Гомеопатические препараты эффективны на ранних стадиях заболевания, запущенные его формы подобному лечению не поддаются.
ВНИМАНИЕ! Вся информация на сайте является популярно-ознакомительной и не претендует на абсолютную точность с медицинской точки зрения. Лечение обязательно должно проводиться квалифицированным врачом
Начинать обследование при наличии проблем с мочеиспусканием необходимо с посещения уролога. Врач поможет определить причину возникновения заболевания, ведь симптомы всех форм цистита практически одинаковые.
Заболевание практически всегда имеет благоприятный прогноз.
Обязательным является введение антибактериальных препаратов совместно с адреноблокаторами. После завершения курса необходимо принимать витамины. При запущенных формах цистита назначается хирургическое вмешательство по расширению стенок мочевого пузыря.
Для установления причины цистита, возникшего после стресса, необходимо:
- Посетить уролога или гинеколога.
- Сдать анализы мочи по Нечипоренко, Зимницкому и бактериологический анализ.
- Сдать кровь на анализ.
- Сделать УЗИ почек и мочевого пузыря.

Для установления причины цистита необходимо сдать кровь на анализ.
Для получения более четкой картины заболевания врач может назначить проведение дополнительных диагностических процедур:
- эндоскопии;
- цистоскопии;
- МРТ.
Если в ходе обследования не были выявлены органические поражения или воспалительный процесс, пациента направляют к невропатологу или психотерапевту.

Для получения более четкой картины заболевания врач может назначить МРТ диагностику.
Для определения природы цистита нужно сделать ряд диагностических исследований.
Бывают случаи, когда пациент самостоятельно ставит себе диагноз и решает, что развитие цистита было спровоцировано нервными ситуациями. Несмотря на это, больному доведется посетить уролога и пройти обследование, дабы точно убедиться в причинах болезни.
Нередко больные сами ставят себе диагноз, когда не видят других причин появлению данного заболевания. Но это не исключает визита к урологу, который вправе ставить диагноз и подбирать лечение. Поэтому, отмечая первые симптомы нервного цистита, следует сразу же обратиться в медицинское учреждение.
Доктор проведет осмотр и назначит следующую диагностику:
- Ультразвуковое сканирование мочевого пузыря.
- Лабораторное исследование мочи по методу Нечипоренко и Зимницкого.
- Цистоскопия для определения состояния внутренней поверхности мочевого пузыря.
- Рентгенографическое обследование.
Если результаты не покажут наличия возбудителя и тем самым подтвердят, что цистит возник на нервной почве, дополнительно назначается ЭЭГ, компьютерная и магнитно-резонансная томография.
Диагностическое обследование
Выявить цистит довольно просто, этому способствует характерная симптоматика. Гораздо сложней определиться с причиной заболевания. Потому как, обычный диагностический поиск, при неврогенной патологии может не тать результатов. В этом случае, для определения генезиса болезни, заключений уролога и гинеколога может быть недостаточно.
Необходима консультация психотерапевта, невролога, а возможно и сексопатолога, так как без их помощи классическая лечебная терапия может оказаться несостоятельной. Цель обследования – обнаружение проблем, послуживших причиной нестабильности психоэмоционального фона пациента. При этом применяется специально разработанная схема опроса или гипноз, помогающий снять психологические барьеры, полностью раскрыться пациенту и описать подробно все свои проблемы.
Дальнейшее обследование проводится по классической методике, применяемой при диагностике всех форм цистита – общий и бактериологический мониторинг мочи и крови, УЗИ, по показаниям МРТ, рентген, эндоскопию или цистоскопию.
Этиопатогенез заболевания
Несмотря на жаркие дебаты в изучении интерстициального цистита, до настоящего времени точных и однозначных причин возникновения данной патологии не выявлено. Ни одно из проведенных исследований не позволило выстроить стройной гипотезы этиопатогенеза.
Кроме того, часто гипотезы противоречат друг другу. Существует несколько теорий, ставящих своей целью обосновать этиопатогенез развития синдрома хронической тазовой боли при интерстициальном цистите.
Среди них:
- 1Аутоиммунная теория. Сторонники данной теории основой патогенеза повреждения стенки мочевого пузыря считают образование аутоантител. В настоящее время существует множество данных об обнаружении в крови больных интерстициальным циститом специфических аутоантител, однако точное происхождение и роль данных антител до конца не изучены. У таких больных зачастую имеется ассоциация ИЦ с другой аутоиммунной патологией, например, ревматоидным артритом или СКВ.
- 2Теория базофильных клеток. При гистологическом исследовании препаратов, полученных от пациента с ИЦ, обнаруживается повышенное содержание тучных клеток. Это послужило основанием для разработки теории, предполагающей, что в основе повреждения уроэндотелия изначально лежит его патологическая инфильтрация тучными клетками, выделяющими биологически активные вещества (гистамин).
- 3Теория “эпителиальной утечки”. Нарушение барьерных функций пузырного эпителия приводит к проникновению в подслизистые структуры компонентов мочи.
- 4Теория “изначального инфицирования”. В основе развития ИЦ лежит длительно персистирующая урологическая инфекция, приводящая к нарушению целостности уроэпителия и аутоиммунным сдвигам. Впоследствии патогенный микроорганизм элиминируется, а ключевым механизмом остается воспаление. Данная теория полностью оправдывает развитие “типичного” интерстициального цистита, но не объясняет механизм возникновения «нетипичного».
- 5Гликозаминогликановая теория. Нарушение слоя ГАГ (гликозаминогликанов) приводит к повышению чувствительности слизистой для компонентов мочи, что и обусловливает постоянный характер болевого синдрома. Большинство исследователей поддерживают эту модель развития эндотелиальной дисфункции. В норме гликозаминогликановый слой слизистой оболочки мочевого пузыря создает специфический защитный барьер, препятствующий проникновению патогенных микроорганизмов и защищающий уроэндотелий от токсинов, канцерогенов, компонентов мочи. Изменение проницаемости этого слоя влечет за собой возможность миграции калиевых ионов, деполяризации нервных волокон и активацию тучных клеток.
- 6Теория нарушения кровотока. В основе развития трофических изменений лежит нарушение кровоснабжения пузырной стенки.
- 7Теория нейрогенных сдвигов. В основе развития патологического болевого синдрома лежат нейрогенные нарушения, так называемый “эффект фантомной боли”.
- 8Гормональная теория. К развитию интерстициального цистита приводят нарушения нейроэндокринной регуляции, в частности недостаточная выработка эстрогенов в период менопаузы.
Многие авторы склоняются к мнению, что целесообразно учитывать все рассмотренные выше причины, так как они могут быть взаимосвязаны между собой и представлять лишь звенья одной цепи.
Как вылечить цистит
Изучив имеющиеся симптомы патологии, назначается лечение цистита нейрогенного вида. В большинстве случаев схема лечения исключает прием медикаментов, что положительно отражается на состоянии пищеварительной системы и других систем органов. Чаще всего больной предлагается заняться успокоением нервной системы, на фоне чего может отступить и имеющееся в организме заболевание мочевыделительной системы. Поэтому в руках самого пациента состояние его здоровья!
Для начала больной предлагается «взять себя в руки» и настроиться на успокоение. Этого можно достичь благодаря созданию определенного гармоничного фона внутри себя. Помочь этому способствует отказ от любых стрессов, пагубно сказывающихся на состоянии нервной системы.
Кроме всего вышеизложенного, пациентам рекомендуется следовать следующим правилам:

- Высказывание личного мнения. Многие люди стесняются высказывать своё мнение, опасаясь непонимания либо насмешек окружающих. На фоне этого от невыговоренности у них может развиться стресс, который спровоцирует поражение мочевыделительного аппарата. Поэтому для предотвращения развития таких опасных для организма последствий дамам рекомендуется не оставлять при себе свое мнение, а именно высказать его, пусть даже оно будет неправильным.
- Проявление собственного страха со злобой. Ученые доказали, что люди, длительное время держащие в себе свои страхи и зло на окружающих, чаще впадают в депрессивные состояния. Последние негативно отражаются на работе нервных клеток, что может спровоцировать развитие цистита. Чтобы избежать развития в организме всех этих негативных явлений, рекомендуется выплескивать «наружу» весь имеющийся внутри негатив. Это всегда легко и полезно для организма. Пусть даже при этом окружающие будут недовольны, главное – собственное душевное здоровье и самочувствие.
- Выплеск эмоций. Для профилактики скопления в организме обид и негатива, женщинам рекомендуется выплескивать все эмоции наружу. Когда смешно, можно и посмеяться, а когда грустно – можно и немного всплакнуть. Выражая внешними эмоциями свое внутреннее состояние, можно избежать скопления плохой энергии в теле, что всегда положительно сказывается на самочувствии. Порой от таких действий даже «дышится легче».
Влияние плохих эмоций на нервную систему гораздо сильнее влияния положительных. Поэтому если человек часто подвергается негативу, не стоит замыкать его в себе. Если этого не удается достичь самостоятельно, рекомендуется посетить консультацию психосоматика. Люди этой специальности помогут освободить внутренний мир человека от излишков скопившейся в нем негативной энергии, что поможет сделать жизнь пациента более яркой и радостной.

Также намного улучшить состояние своей нервной системы помогает:
- вкусная еда;
- положительные новости;
- прогулка на свежем воздухе;
- хороший шопинг;
- занятие любимым делом;
- прослушивание релаксационной музыки;
- встреча с хорошим человеком и многое другое.
Воздействие всего перечисленного на организм поможет вывести пациента из «черного поля негатива», препятствуя тем самым дальнейшему распространению по телу цистита с его последующим угасанием.
Как можно помочь себе в домашних условиях
Так как нейрогенный мочевой пузырь у женщин и взрослых мужчин часто связан не с какими-то конкретными физиологическими отклонениями, а с психосоматическими факторами, врачи рекомендуют полностью пересмотреть обычный образ жизни.
- Во-первых.
-
Необходимо восстановить нормальный режим сна и питания. Если специалист определил, что причиной дисфункции является какой-либо страх, то обязательно нужно пройти курс психотерапии. Особенно важна регулярная работа с детским психологом, если у ребенка не выявлено никаких врожденных патологий.
- Во-вторых.
-
Даже если была определена не психосоматическая причина дисфункции, в дополнение к основному лечению обязательно нужно придерживаться диеты. Стоит отказаться от употребления кофеина, так как он оказывает прямое возбуждающее действие на гладкие мышцы мочевого пузыря.
- В-третьих.
-
Нужно попросить врача рассчитать количество жидкости, которое необходимо употреблять ежедневно. Нельзя отказываться от питья, опасаясь непроизвольного мочеиспускания. Недостаточное количество жидкости в организме приведет к тому, что моча станет концентрированной и будет раздражать слизистую оболочку мочевого пузыря.

По согласованию с урологом можно попробовать и некоторые народные средства. Например, отвар из кукурузных рылец помогает укреплению и восстановлению слизистой оболочки мочевыводящих путей, что предотвращает непроизвольное мочеиспускание.
Для снижения гиперактивности мочевого пузыря можно ввести в рацион большое количество обычного стручкового перца. Капсаицин в его составе напрямую влияет на незначительное увеличение емкости моченакопительного органа.
Чтобы предотвратить конфузы, необходимо приобрести специальное впитывающее белье, а на телефон установить специальную программу (или несколько будильников), которая будет в течение дня напоминать, что пора в туалет.
Поделитесь записью
▲
error: Кто здесь?




Моча представляет собой фильтрат, полученный путем прохождения крови через систему мочевыделения, а именно: гломерулярных фильтров и почечных канальцев.





Вы должны знать, что общий анализ мочи подразумевает под собой химические, а также физические исследования. Сначала устанавливается и сверяется цвет, позже оценивается наличие включений. Дальнейшие исследования подразумевают добавление в мочу различных химических элементов. Если же осадок в моче виден без использования подобных элементов, то можно сделать вполне логичный вывод – у вас проблемы со здоровьем.
существенно уменьшается.
Если верить статистике, то большинство случаев наличия белого осадка в моче свидетельствуют о гинекологических инфекциях. У мужчин наличие нездоровой мочи говорит о воспалительных процессах мочеполовой системы.
Чаще всего фосфатные или уратные камни у пациента обнаруживаются неожиданно при исследовании мочи. Кроме того, в урине может содержаться повышенное количество эритроцитов и лейкоцитов, свидетельствующих о воспалении внутренних органов, а также некоторые бактерии. В моче нередко наблюдается белок, который также указывает на воспалительные процессы. Чаще всего урина имеет осадок и мутная на вид.




Лейкоцитарная масса крови

Обменное переливание крови при гемолитической анемии
Таблица подбора донорской крови новорожденным
Консервированная кровь

Заболевание вызывает боль в правом подреберье
В группу риска при данной патологии входят такие категории населения:
Первым делом необходимо наладить правильный режим и рацион питания больного. Принимать пищу следует дробно, только малыми порциями и не менее 4 раз в день. Пережевывать еду при этом нужно очень тщательно, чтобы существенно облегчить переваривание пищи. Также рекомендуется устранить все причины, которые спровоцировали развитие подобного недуга. Особенно это касается детей, у которых гипотония часто становиться результатом заражения кишечными паразитами.
Во-первых, это происходит потому, что дети не воспринимают боль так, как ее воспринимают взрослые.










Главное условие, определяющее успех терапии, – это как можно более раннее ее начало.



Лапароскопическая холецистэктомия: желчный пузырь удаляется с помощью аппаратуры, введенной через проколы стенки живота
В аптеках продаются готовые желчегонные сборы, которые очень удобны в применении




Существует несколько способов диагностирования некалькулезного недуга:
Компоненты крови




Приём некоторых продуктов и лекарств, болезни могут повлиять на адекватность результата замера холестерина.





