Токсический отек легких клиника, диагностика, лечение
Действия медсестры при отеке легкого
По приезду скорой помощи, медсестрам необходимо устранить синдром отечного легкого. В первую очередь устраняется пенообразование, понижается возбудимость дыхательного центра, устраняется полнокровие. Также обязательной мерой является стимуляция мочеотделения и ингаляционная терапия.

Подробный алгоритм оказания неотложной помощи:
Уменьшение отечности легких с помощью нитритов. Препараты способствуют уменьшению чувствительности к недостатку кислорода и сердечного выброса.
Вставление катетера в вену. Данная мера является предупредительной, так как в больнице или во время осуществления первой помощи при отеке легких больному положено внутривенное введение лекарств.
Для снижения болезненности и уменьшения отечности вводят «Морфин» или «Промедол».
При повышенном давлении в телесном и легочном кругах кровообращения необходимо «Лазикс» и внутривенное введение «Нитроглицерина».
Проводятся процедуры по снижению нагрузки на сердце. Техника наложения на бедра венозных жгутов при отеке легких: каждые 20 минут попеременно меняется нога.
Введение пеногасителей и ингаляции 90% спиртом.
Также в стандартах медицинской помощи прописано обязательное подключение больного к маске с подачей кислорода. В карте вызова бригады указывается степень развития отечности, чтобы по приезду в больницу пациенту была оказана своевременная помощь.
Первые действия до приезда врача
Крайние стадии отека легких требуют скорейшей неотложной помощи. Основной алгоритм действий при острой альвеолярной форме патологии:

- Придайте телу больного оптимальную позу, в которой ему будет легче дышать и кровообращение нормализуется. Человека усаживают так, чтобы ноги свисали вниз.
- Расстегните или снимите верхнюю одежду, откройте окна для проветривания помещения.
- Дайте больному обезболивающие препараты из группы нейролептиков.
- Измерьте пульс и артериальное давление больного и следите за характером его дыхания.
- Разотрите ноги или поставьте их в ванночку с теплой водой.
- Наложите венозные жгуты на бедренную часть правой ноги, а затем перевяжите на левую.
- Необходимо провести ингаляционные процедуры, больному следует подышать парами спирта.
- При нестабильном давлении дайте «Нитроглицерин», который пострадавшему необходимо постепенно рассасывать.
- Дайте больному диуретический препарат для выведения лишней жидкости, которая могла спровоцировать отечность.
Также неотложные мероприятия включают введение сердечных гликозидов и препаратов, корректирующих электролитный баланс. Перечисленные методы способны нормализовать состояние пациента и поддерживать стабильное течение патологического процесса. Поэтому нельзя просто ждать скорую помощь. Постарайтесь максимально помочь пострадавшему. Уточните список препаратов первой помощи, которые вы можете дать.
Неотложная терапевтическая помощь при угрожающих жизни состояниях Методическая разработка для преподавателя для проведения практических занятий со студентами
Содержание работы
КРАСНОЯРСКАЯ ГОСУДАРСТВЕННАЯ МЕДИЦИНСКАЯ АКАДЕМИЯ
КАФЕДРЫ ВНУТРЕННИХ БОЛЕЗНЕЙ №1, №2
Утверждена на методической конференции
кафедр внутренних болезней №1, №2
Зав. кафедрой внутренних болезней №1,
ДЛЯ ПРЕПОДАВАТЕЛЯ
IV КУРСА ЛЕЧЕБНОГО ФАКУЛЬТЕТА
Составили: доцент Деревянкин Ю.С.,
доцент Головёнкин С.Е.
Красноярск 2001г.
1. Тема занятия: Неотложная терапевтическая помощь при угрожающих жизни состояниях.
2. Форма организации учебного процесса – практическое занятие
3. Значение темы
Правильное лечение острого нарушения деятельности сердечно-сосудистой, дыхательной и других систем играет чрезвычайно важное значение для сохранения жизни пациента. Мероприятия неотложной помощи являются составной частью всех видов медицинской помощи: первой медицинской, доврачебной, первой врачебной, квалифицированной и специализированной
Поэтому, знание особенностей оказания неотложной помощи пациентам важнейшая задача студентов-медиков – будущих офицеров запаса.
4. Цели обучения:
4.1 Общая цель: подготовить высококвалифицированного специалиста, хорошо ориентирующегося в вопросах оказания неотложной терапевтической помощи при угрожающих жизни состояниях.
4.2 Учебная цель: ознакомить студентов с вопросами оказания неотложной терапевтической помощи при угрожающих жизни состояниях.
4.3 Психолого-педагогическая цель: развитие ответственности будущего врача за грамотное оказание неотложной терапевтической помощи при угрожающих жизни состояниях.
5. Место проведения занятия: практическое занятие проводится в учебной комнате, курация больных (с синдромо-сходной патологией) – в палатах терапевтических и кардиологических отделений ГКБ № 20. Контроль уровня знаний и подведение итогов занятий осуществляется в учебной комнате.
6. Оснащение занятия: занятие оснащено:
· набором таблиц
— Алгоритм оказания помощи при ОПН
— Алгоритм оказания помощи при отравлениях
— Алгоритм оказания помощи при отёке лёгких
— Алгоритм оказания помощи при кардиогенном шоке
— Алгоритм оказания помощи при гипертоническом кризе
— Алгоритм оказания помощи при ОДН
— Алгоритм оказания помощи при судорожном синдроме
Диагностика отека легких
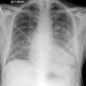
Для правильной постановки диагноза врачи используют самые различные методики. Одной их ведущих уже многие годы было и остается рентгенографическое исследование грудной клетки. При исследовании снимка здоровых легких они выглядят как светлая область, имеющая затемнения только в районе сердца и крупных кровеносных сосудов.
Если же у человека развился отек легких, просветление легочных полей крайне неравномерно. В особо тяжелых случаях наблюдается значительное помутнение, а рисунок легких визуализируется крайне плохо. Затенение на снимке легких – это именно заполнение легочных альвеол жидкостью. Хотя, справедливости ради, необходимо заметить – рентгенологическое обследование больного человека может рассказать только про наличие или отсутствие отека легких. А вот установить первопричину, которая и привела к развитию отека, при помощи рентгеновского снимка просто невозможно.
Для того чтобы достоверно определить причину развития легочного отека, врачи должны провести тщательный анализ клинической картины течения приступа. Зачастую подробное исследование данных осмотра больного человека, его рассказ и общее обследование позволяют получить все необходимую для выявления первопричины отека информацию.
Существуют многие методы диагностики отека легких, однако рассказывать про них более подробно не имеет смысла, так как эта информация будет понятна только медицинским работникам. Для простого же человека подобный рассказ будет лишь набором медицинских терминов.
Диагностика отека легких
Дифференциальную диагностику прежде всего следует проводить с обострением (на фоне инфекции) ХОБЛ (предшествующий анамнез, ослабление дыхания при аускультации с или без свистящего дыхания, небольшое количество хрипов). Проведение дифференциальной диагностики с данным состоянием на основании клинических проявлений может быть затруднительным.
Первичная быстрая диагностика
При тяжелом состоянии пациента (невозможность говорить, гипоксия, систолическое АД
Если состояние пациента стабильное и/или если есть сомнения в диагнозе, начинают оксигенотерапию и вводят диуретик, до принятия решения об объеме дифференцированной терапии проводят полное клиническое обследование и рентгенографию легких.
Основные диагностические критерии
- Наличие повреждающего фактора.
- Нарастающая одышка, переходящая в удушье смешанного характера (40—60 дыханий в мин).
- Положение ортопноэ.
- Клокочущее дыхание, слышное на расстоянии и при аускультации.
- Выраженная тахикардия.
- Артериальная гипоксемия, резистентная к кислородотерапии.
Методы лабораторно-инструментального обследования при отеке легких
У всех пациентов
- OAK, мочевина, электролиты, СРВ.
- Маркёры повреждения миокарда (КФК, МВ-фракция КФК, тропонин).
- Рентгенография органов грудной клетки.
- Эхокардиография (с или без чреспищеводной эхокардиографии).
- Газы артериальной крови.
Дополнительные исследования
- Скрининговые исследования на наличие сепсиса (посев мокроты, мочи, крови).
- Холтеровское мониторирование (аритмии).
- Коронарная ангиография (ИБС).
- Катетеризация левых и правых камер сердца (в том случае, если эхокардиография не позволяет получить адекватную информацию об уровне давления, наличии шунтирования).
- Биопсия миокарда (подозрение на миокардит, инфильтрацию).
- Радиоизотопная вентрикулография.
Отек легких неотложная помощь, основные симптомы и методы лечения заболевания.

Отек легких фото Отек легких — неотложная помощь при первых симптомах данного заболевания. Подобное тяжелое состояние возникает, если вместо воздуха в легких скапливается жидкость. Нарушенное кровообращение, недостаточное обогащение легких и альвеолы кислородом тоже могут спровоцировать патогенез и отек легких в прогрессирующих формах. Кроме того все это может привести к осложнению общего состояния организма и закончиться смертью больного.
- Обязательно нужно обеспечить человеку при приступе отеке легких сидячее либо лежачее положение.
Необходимо отсосать из дыхательных путей больного имеющуюся жидкость.
Если повышается давление, то нужно выполнить кровопускание. Детям следует выпускать до двухсот миллилитров крови, взрослым – до трехсот миллилитров.
Наложение жгутов при отеке легкого должно осуществляться на ноги (около тридцати – шестидесяти минут).
С помощью спиртовых паров проводится ингаляция. Для детей используется тридцати процентный спирт, а для взрослых – семидесяти процентный.
Подкожно необходимо ввести больному два миллилитра двадцати процентного камфарного раствора.
Дыхательные пути следует обогатить кислородом, для этого используется кислородная подушка.
Какие лекарственные препараты используются при отеке легких?
Наиболее эффективными, быстродействующими средствами являются пеногасители при отеке легких (то есть противовспенивающие препараты). Эти вещества увеличивают поверхностное натяжение жидкости, а также устраняют пенообразование. Самым известным противовспенивающим препаратом выступает простой этиловый спирт. В случае отека легких больному нужно дать подышать кислородом либо воздухом, пропущенным через спирт (от 30 до 90 процентов). Если после этого не будет достигнут требуемые эффект, необходимо использовать более действенное противоспенивающее средство, как антифомсилан, представляющее собой силиконовое соединение (его растворы применяются ингаляционным способом).
Кроме того при отеке легких эффективными являются средства, которые уменьшают гидратацию легочных тканей, то есть дегидратирующие препараты. Сюда можно отнести манит и мочевину. Вводятся они внутривенно, при этом повышается кровяное осмотическое давление, вода переходит из отечных тканей в русло сосудов. Маннитные и мочевинные растворы используют при легочных отеках и отеках прочих тканей (преимущественно мозга). Мочевина, в частности манит, имеют хорошую мочегонную активность. Они способствуют удалению жидкости из организма, кроме того с их помощью уменьшается тканевая гидратация. С аналогичной целью в случае отека легких назначают такие мочегонные, активные препараты, как этакриновая кислота и фуросемид.
Терапевтического эффекта при отеке легких позволяют добиться гипотензивные препараты. Они снижают венозное и артериальное давление, а также уменьшают наполнение легочных тканей кровью, в результате чего кровяная плазма переходит в просвет альвеол. Целесообразно при данном заболевании использоваться гипотензивные, активные, быстродействующие препараты, как гигроний либо бензогексоний, которые относятся к группе ганглиоблокаторов. Если отек легких вызван сердечной недостаточностью, то хорошего эффекта позволяют добиться сердечные гликозиды, как коргликон, строфантин и прочее. Также при этом высокой эффективностью обладают глюкокортикоиды, которые назначаются внутривенно (как, к примеру, преднизолон).
Отек легких
Отек легких – патологическое состояние, вызванное превышением нормального уровня интерстициальной жидкости.
Нормальный обмен жидкости в легочной ткани.
Легкие представляют комплекс разветвленных полых трубок и трубочек, “погруженые” в ткань. Она называется интерстицей.
В состав интерстиция входят кровеносные и лимфамитические сосуды, соединительнотканные элементы (клетки и волокна), и межклеточная жидкость. Все это покрыто специальной оболочкой, называемой висцеральной плеврой.
Формирование данной жидкости происходит в результате выхода из кровеносных сосудов части плазмы. Она, в свою очередь, подвергается обратному всасыванию в лимфатические сосуды. Которые, впадают в верхнюю полую вену. Таким образом, фильтрат плазмы возвращается обратно.
Физиологический смысл этого состоит в том, что межклеточная жидкость обеспечивает доставку питательных веществ и кислорода к клеткам, и удаление продуктов обмена.
Механизмы отека легких.
Существуют всего два механизма, приводящих к отеку легких.
увеличение количества межклеточной жидкости за счет повышения гидростатического давления в кровеносных сосудах легких. Это так называемый гидростатический отек.
увеличение количества межклеточной жидкости за счет избыточной фильтрации плазмы при нормальном давлении. Например, активность воспалительных медиаторов – они увеличивают проницаемость мембран. Причем, как сосудов, так и аэрогематического барьера – комплекса мембран, ограничивающих кровеносные сосуды от полости альвеол.
Данный отек называется мембранным.
Причины отека легких.
В зависимости от вида отека легких (мембранный или гидростатический), все причины могут быть отнесены к двум группам.
А). Причины, вызывающие гидростатический отек легких.
К ним относятся все те, что связанны с повышением давления в сосудах легких.
пороки сердца в стадии декомпенсации. Особенно это касается недостаточности митрального клапана, митральном и аортальном стенозе.
эмболия (закупорка) легочных сосудов.
нарушение сократительной способности сердца. В первую очередь, отек легких возникает при левожелудочковой недостаточности (инфаркт левого желудочка), общее поражение миокарда (обширный инфаркт с развитием кардиогенного шока), аритмии и блокады.
пневмоторакс (попадание воздуха в плевральную полость).
острая дыхательная недостаточность. Например, при астматическом статусе, закупорки инородным телом дыхательных путей или аспирации.
Б). Причины мембранного отека легких.
невоспалительные: респираторный дистресс синдром, аспирация, вдыхание некоторых газов (хлор, фосген, карбафос, озон, угарный газ, пары ртути).
воспалительные: пневмонии, сепсис.
Развитие отека легких.
Не зависимо от причин, отек начинается с повышения количества жидкости в межклеточном пространстве. В результате происходит нарушение нормальной работы клеток и сосудов. Это так называемый интерстициальный отек легких.
На второй стадии жидкость начинает проникать в полость альвеол, что снижает газообменную функцию. Это альвеолярный отек легких.
В финале, все альвеолы становятся заполненными жидкостью и выключаются из газообмена. Организм погибает в результате недостатка кислорода.
Клиника отека легких и его диагностика.
На стадии интерстициального отека больного беспокоит чувство нехватки воздуха. Он начинает садиться, так как в это состоянии “легче дышать”.
Внешне можно отметить синюшность губ, аускультативно – влажные хрипы в нижних отделах легких.
В стадию альвеолярного отека больной может только сидеть, влажные хрипы становятся слышными не вооруженным ухом. Так называемые дистантные хрипы и клокочущее дыхание. Изо рта появляется пена, так как жидкость, попавшая в альвеолы, контактирует с сурфактантом и воздухом. В результате, происходит ее вспенивание. Больной начинает “хватать воздух” ртом, синюшность губ, сероземлистый цвет кожи с мраморным рисунком.
Отек легких неотложная помощь
Первая помощь при отеке легких – необходимое мероприятие для поддержания жизнедеятельности человека.
Первая помощь – это комплекс мероприятий, которые направлены на устранение острых симптомов и обеспечение поддержки жизнедеятельности.
Если возник отек легких, то первая помощь заключается в вызове скорой помощи, так как во внебольничных условиях редко бывают все необходимые медикаменты и аппараты. Пока длится ожидание квалифицированных врачей, люди, окружающие больного, должны принять необходимые меры.
Отек легких: клиника и неотложная помощь
Отек легких – это такое состояние, когда в легких скапливается слишком много жидкости. Это происходит из-за большой разницы показателей коллоидно-осмотического и гидростатического давления в капиллярах легких.
Существует два вида отека легких:
Мембраногенный – возникает, если проницаемость капилляров резко повысилась. Этот вид отека легких часто возникает как сопроводитель других синдромов.
Гидростатический – развивается из-за болезней, при которых гидростатическое капиллярное давление резко повышается, и жидкая часть крови находит выход в таком количестве, в котором ее невозможно вывести через лимфатические пути.
Клинические проявления
Пациенты при отеке легких жалуются на нехватку воздуха, имеют частую отдышку и иногда приступы сердечной астмы, возникающей во время сна.
Кожные покровы бледны, а со стороны нервной системы могут быть неадекватные реакции в виде спутанности сознания или его угнетения.
При отеке легких у пациента выступает холодный пот, а при прослушивании легких обнаруживаются мокрые хрипы в легких.
Первая помощь
В это время очень важно действовать быстро и точно, поскольку за отсутствием поддержки ситуация может резко ухудшиться
- До приезда скорой помощи люди, которые окружают пациента, должны помочь ему принять положение полусидя так, чтобы он спустил ноги с кровати. Это считается самой лучшей позой для освобождения дыхания легких: в это время давление на них минимально. Ноги нужно спустить для того, чтобы разгрузить малый круг кровообращения.
- Если это возможно, сделать отсасывание слизи из верхних дыхательных путей.
- Необходимо дать максимальный доступ к кислороду, приоткрыв окно, поскольку может наступить кислородное голодание.
Когда скорая помощь прибудет, все действия специалистов будут направлены на три цели:
- снизить возбудимость дыхательного центра;
- снять нагрузку малого круга кровообращения;
- снять пенообразование.
Для того чтобы снизить возбудимость дыхательного центра, пациенту вводят морфин, которым снимают не только отек легких, но и приступ астмы. Это вещество небезопасно, однако здесь оно является необходимой мерой – морфин избирательно влияет на мозговые центры, отвечающие за дыхание. Также этот медикамент делает приток крови к сердцу не таким интенсивным и благодаря этому застой в легочной ткани снижается. Больной становится гораздо спокойнее.
Это вещество вводят либо внутривенно, либо подкожно, и через 10 минут наступает его эффект. Если давление понижено, вместо морфина вводят промедол, который имеет менее выраженное, но аналогичное действие.
Для снятия давления также используют сильные мочегонные средства (например, фуросемид).
Чтобы разгрузить круг малого кровообращения, прибегают к капельнице с нитроглицерином.
Если имеются симптомы нарушения сознания, то пациенту дают слабый нейролептик.
Вместе с этими методами показана кислородотерапия.
Если у пациента образовалась стойкая пена, то это лечение не даст необходимого эффекта, так как она может блокировать дыхательные пути. Чтобы этого избежать, врачи дают ингаляцию с 70% этиловым спиртом, который пропускают через кислород. Затем специалисты отсасывают через катетер лишнюю жидкость.
Причины отека легких
Гидростатический отек может возникнуть из-за:
- Дисфункции сердца.
- Попадания в сосуды воздуха, тромбов, жира.
- Бронхиальной астмы.
- Опухоли легких.
Мембранный отек легких может возникнуть по следующим причинам:
- Почечной недостаточности.
- Травме грудной клетки.
- Попадания токсических паров, газов, дыма, паров ртути и пр.
- Забросе желудочного содержимого в дыхательные пути или воды.
Механизм развития
Отек легких развивается в случае, когда возникает дисбаланс между объемом крови, который поступает к альвеолам и покидает легочную ткань. Лимфатические сосуды в этой ситуации не могут удалить избыток жидкости, поэтому жидкая часть крови за счет разницы давления поступает в просвет альвеолы.
В развитии патологии выделяют две формы:
- Гидростатический отек – причины этого состояния объясняются резким повышением гидростатического давления в системе кровообращения. Стенки капилляров, окружающих альвеолу, не изменяются, поэтому на начальных этапах избыточная жидкость попадает в соединительную ткань, которой богаты легкие. При прогрессировании процесса, когда лимфатические капилляры не могут справиться с нагрузкой, плазма крови начинает просачиваться в альвеолы.
- Мембранозный отек возникает при токсическом поражении стенки капилляров – при этом состоянии жидкость практически одновременно проникает в просвет дыхательных путей и паренхиму органа.
При развитии это состояние проходит два этапа, симптомы которых отличаются между собой.
Развитие интерстициального и альвеолярного отека легких
| Отличия | Интерстициальный | Альвеолярный |
| Проявления | Незначительная одышка, мокрота не отделяется. | Сильный кашель с пенистой мокротой, при аускультации слышны хрипы. |
| Механизм развития | Гистогематический, жидкость пропотевает из крови в соединительную ткань легкого. | Гистоальвеолярный, плазма крови проникает из паренхимы в просвет альвеолы. |
| Развитие ситуации без оказания медицинской помощи | Переходит в альвеолярный отек. | Смерть пациента. |
Состояния, приводящие к развитию отека легких
Механизм возникновения отека легких.
Спровоцировать состояние, которое представляют реальную опасность для жизни больного могут:
Острая недостаточность левых камер сердца провоцирует кардиогенный отек легких. Непосредственной причиной может быть поражение левого предсердия, сопровождающее заболевания митрального клапана (его недостаточность и стеноз), при которых нарушается нормальный отток крови из легких к сердцу. Процесс возможен при снижении насосной функции левого желудочка, обусловленной болезнями миокарда (при пороках аортального клапана, артериальной гипертензии, миокардитах, кардиосклерозе).
Введение в сосудистое русло большого количества солевых и плазмозамещающих растворов в случае, когда лечение не завершается введением мочегонных препаратов.

- Заболевания и состояния, при которых снижается концентрация белков в плазме крови – к такому состоянию могут приводить болезни почек и печени, чрезмерное увлечение диетами, осложненное течение беременности, значительные физические нагрузки.
- Патологии, причиной которых становятся интоксикации (эндогенные и экзогенные) – септические состояния, пневмонии, поражение легких радиацией, употребление наркотиков.
- Болезни легких, результатом которых становится недостаточность в малом (легочном) круге кровообращения – бронхиальная астма.
- Тромбоэмболия, поражающая различные по калибру ветви легочной артерии – при уменьшении сосудистого русла легких повышается гидростатическое давление крови и возникает правожелудочковая недостаточность.
Астма одна из причин возникновения отека легких.
Отек легких может сопровождать занятие некоторыми экстремальными видами спорта – альпинизмом, дайвингом, марафонским бегом.
Симптомы
Неотложная помощь при отеке легких необходима пациентам, которые имеют характерные жалобы.
| Интерстициальный отек | Альвеолярный отек | |
| Одышка | С заметным затруднением вдоха (инспираторного характера), возникает в покое. | Выраженная в покое. |
| Потоотделение | Усиливается, конечности остаются теплыми. | Появляется холодный липкий пот на фоне резкого похолодания конечностей. |
| Кожа | Обычной окраски. | Возникает резкий и распространенный цианоз |
| Слабость | Нарастает постепенно. | Выраженная, любые движения затруднены |
| Сердцебиение | Учащается. | Яркая тахикардия. |
| Положение тела | Вынужденное лежа, с приподнятым головным концом. | Вынужденное сидя, пациент сидит, свесит ноги с кровати. |
| Состояние нервной системы | Пациент возбужден. | Больной заторможен, возможна спутанность сознания, появляется страх смерти. |
| Состояние шейных вен | Не изменены. | Набухают |
| Дыхание | На ранней стадии не изменено, при ухудшении состояния появляется свист. | Хрипящее, клокочущее, разнокалиберные хрипы слышна на расстоянии. |
Одышка один из симптомов отека легких
При выявлении любого из этих симптомов необходимо экстренное оказание неотложной помощи – отсутствие адекватной терапии приводит к ухудшению состояния пациента и его смерти.
Астматический отек легких у людей
Сердечная астма — тяжелое состояние, при котором возникает затруднение дыхания и признаки удушья.
Причинами астматического отека легких являются:
- первичная острая левожелудочковая недостаточность (инфаркт миокарда, другие формы ишемической болезни сердца);
- острая левожелудочковая недостаточность;
- проявления хронической левожелудочковой недостаточности (митральный или аортальный порок, хроническая аневризма сердца и др.);
- гипертонический криз и другие формы артериальной гипертензии;
- острый нефрит.
К основному фактору — повышению гидростатического давления в легочных капиллярах — обычно присоединяются дополнительные факторы, провоцирующие приступ:
- физическое или эмоциональное напряжение;
- задержка жидкости;
- увеличение притока крови в систему малого круга;
- нарушение центральной регуляции и другие факторы.
Отек легких при сердечной астме сопровождается приступами возбуждения, подъемом артериального давления, тахикардией, учащением дыхания, усиленной работой дыхательной и вспомогательной мускулатуры. Все этм сопутствующие факторы повышают нагрузку на сердце и снижают эффективность его работы, а форсированный вдох ведет к дополнительному увеличению кровенаполнения легких, что сопровождается дальнейшим ухудшением работы сердца, нарушением центральной регуляции, повышением проницаемости альвеолярной мембраны.
Предвестниками отека легких являются: усиление одышки; удушье, покашливание или саднение за грудиной при небольшой физической нагрузке или при переходе в горизонтальное положение; ослабленное дыхание и незначительные хрипы в легких.
При сердечной астме возникает удушье с кашлем, свистящим дыханием. Наблюдается форсированное учащенное дыхание, возбуждение, страх смерти, посинение кожных покровов, учащение сердечных сокращений, повышение артериального давления. На фоне ослабленного дыхания — сухие, иногда мелкопузырчатые хрипы. В тяжелых случаях — холодный пот, набухание шейных вен, потеря сознания. Набухание слизистой бронхов может сопровождаться нарушением бронхиальной проходимости, подобно тому, как это происходит при бронхиальной астме.
Отек легких возникает внезапно в результате нарастания тяжести сердечной недостаточности. Появление обильных пузырчатых хрипов, распространяющихся на верхние отделы легких, указывает на развивающийся отек легких. Появление пенистой, обычно розовой (за счет примеси эритроцитов) мокроты является достоверным признаком отека, в то время как характерное клокочущее дыхание специфическим признаком не является.

Comments
(0 Comments)