Перивентрикулярный и субкортикальный лейкоареоз головного мозга
Диагностика и лечение лейкоареоза
Диагностика лейкоареоза основана не столько на клинических признаках патологии, которые не являются для нее строго специфичными, сколько на данных инструментальных обследований. Наиболее чувствительным и информативным считается проведение магнитно-резонансной томографии. МРТ позволяет оценить не только локализацию изменений, но и их распространенность и, возможно, генез (происхождение). Однако не всегда степень изменений, выявленная на МРТ, соответствует тяжести состояния.
Изменения на МРТ сводятся к наличию очагов разрежения нервной ткани белого вещества (гиподенсивные зоны), расположенных вокруг желудочков или субкортикально, облаковидного лейкоареоза в виде локальных полей демиелинизации вокруг рогов боковых желудочков, в таламусе, стволе мозга, мозжечке. Часто появлению зон ишемии сопутствует расширение боковых желудочков и периваскулярных пространств. Наилучшую картину лейкоареоза можно получить при МРТ в режиме Т2-ВИ.

перивентрикулярный (слева) и субкортикальный (справа) лейкоареоз на снимках МРТ
Другим возможным методом диагностики считают КТ, но она не столь чувствительна, хотя позволяет обнаружить патологию примерно у 90% больных с сосудистой деменцией.
Лечение лейкоареоза не имеет четких схем и подходов, оно определяется основной патологией. Конечно, первым делом нужно минимизировать влияние факторов риска: нормализовать образ жизни, показатели липидного обмена и сахара крови, избавиться от курения и т. д. Легкие формы лейкоареоза, протекающие бессимптомно, лечения не требуют.
Медикаментозная терапия направлена, прежде всего, на поддержание хорошего кровотока в мозге и улучшение метаболических процессов в нервной ткани. С этой целью применяют:
- Гипотензивные препараты разных групп (ингибиторы АПФ, бета-блокаторы, мочегонные и др.);
- Ноотропы – пирацетам, ноотропил, фезам, кортексин, церебролизин;
- Витамины группы В;
- Сосудистые средства и препараты, улучшающие обменные процессы – пентоксифиллин, актовегин, милдронат, ницерголин, циннаризин.
Сегодня созданы комбинированные препараты, которые оказывают одновременно и сосудорасширяющее действие, и нейропротекторное, и антигипоксическое. Примером таких средств может быть омарон, содержащий пирацетам и ноотропил. Для достижения клинического эффекта необходим длительный, не менее месяца, прием препарата.
Благодаря улучшению метаболизма в нейронах, пирацетам восстанавливает когнитивные функции, у пациента улучшается память и умственная работоспособность. Исследования последних лет показывают, что пирацетам эффективен в том числе у пациентов с болезнью Альцгеймера. Помимо метаболического влияния, пирацетам улучшает микроциркуляцию, препятствуя «склеиванию» тромбоцитов, поддерживая жидкое состояние крови в сосудах. Этот эффект позволяет использовать препарат для профилактики инсультов.
Циннаризин оказывает влияние преимущественно на сосудистые стенки, способствуя их расслаблению, снятию спазма и улучшению кровотока. Совместное применение циннаризина с пирацетамом позволяет уменьшить побочные эффекты каждого средства. Циннаризин начинает действовать раньше, расширяет сосуды, поэтому проникновение пирацетама в ткани становится более эффективным.
При лейкоареозе необходимо лечить всю сопутствующую патологию, усугубляющую нарушение деятельности мозга – гипертонию, диабет, атеросклероз. Большинство больных нуждаются в назначении антидепрессантов и успокоительных средств.
Наличие лейкоареоза, как уже говорилось выше, опасно развитием деменции, поэтому вероятен вопрос о присвоении пациенту инвалидности. Ограничение трудоспособности и бытовых навыков, степень нуждаемости в посторонней помощи определяют, какая группа инвалидности больному необходима.
Профилактика прогрессирования мозговой дисфункции при лейкоареозе подразумевает нормализацию образа жизни, лечение сопутствующей патологии, прием ноотропных препаратов. Пациенты должны проходить периодическое обследование у невролога, особенно, в пожилом возрасте.
Перейти в раздел:
Заболевания мозга и сосудов головы
Рекомендации читателям СосудИнфо дают профессиональные медики с высшим образованием и опытом профильной работы.
На ваш вопрос ответит один из ведущих авторов сайта.
Степени заболевания
В медицине выделяют три степени данного заболевания, от которых будет зависеть лечение. Каждая степень отличается своей определенной симптоматикой:
- Первая степень. Пациент отмечает появление шума в ушах, головокружение, мигрень, бессонницу, слабость, рассеянность, нарушение координации. Во время медицинского осмотра специалист отмечает нарушение в сторону большей активность сухожильных рефлексов, координации, скорость движения сниженная. Результаты нейропсихологического исследования показывают сдержанные когнитивные нарушения лобно-подкоркового отдела головного мозга. Результаты полностью подтверждают наличие данного отклонения.
- Вторая степень. Состояние пациента значительно ухудшается, клинические проявления становятся более выраженными. Отмечает резкое ухудшение памяти, происходит нарушение моторики, депрессия становится более сильной. Параллельно возникают отклонения в работе мочеполовой системы. Работоспособность больного значительно уменьшается.
- Третья степень. Прогрессирование заболевания продолжается, симптоматика становится еще более выраженной. У больного возникают проблемы с испусканием и недержанием мочи, страдает координация движения.
Диагностика
Для постановки диагноза очень важно своевременное обращение к врачу. Невропатолог собирает анамнез заболевания, осматривает пациента, назначает ряд исследований
Однако, зная, какие симптомы имеются у больного, как развивалось заболевание, и какая сопутствующая патология, доктор уже может заподозрить перивентрикулярный лейкоареоз.
Для подтверждения пациенту проводят:
- Клинический и биохимический анализ крови.
- Анализ крови на глюкозу.
- Клинический анализ мочи.
- Ангиографию сосудов головного мозга.
- Компьютерную или магнитно-резонансную .
Клинический анализ крови не является очень информативным, так как эта патология не имеет характерных изменений. В клинике крови отмечается повышенное количество лейкоцитов и СОЭ, низкий уровень гемоглобина. В биохимическом анализе крови высокий уровень липидов, глюкозы крови.
Клинический анализ мочи без особых изменений. На агниограмме сосудов головного мозга наблюдается непроходимость артерий, наблюдаются признаки ишемии мозга.
Более информативна в постановке диагноза компьютерная или магнитно-резонансная томография. На МРТ снимках обнаруживают признаки измененного сигнала от белого вещества мозга. Такие очаги могут быть локальными или распространены по всему веществу мозга. Это свидетельствует о наличии ишемии. Стоит также отметить, что не всегда МРТ-картина соответствует состоянию больного. Часто при наличии множественных локусов лейкоареоза симптоматически заболевание практически не проявляется и наоборот.
Как лечить лейкоареоз?
Лечение лейкоареоза головного мозга направленно на лечение основного заболевания и уменьшение клинической симптоматики болезни.
Прежде всего, лечение включает в себя препараты, действие которых направленно на улучшение метаболических процессов и кровоснабжения в головном мозге. Пациентам назначают препараты, снижающие спазм кровеносных сосудов, что в свою очередь улучшает кровоснабжение мозга. В комплексном лечении используют Пирацетам, Оксирацетам, Нитроглицерин, Аспирин, Нимодипин, Циннаризин, Эуфиллин.
Не в коем случае не занимайтесь самолечением. Препараты и дозы должен подбирать невропатолог, исходя из состояния пациента и наличия сопутствующей патологии.
Следует обратить особое внимание на немедикаментозное лечение. Больному стоит отказаться от алкоголя, курения
Питание должно быть сбалансированым, меньше жаренного и жирного, больше свежих овощей и фруктов, рыба, морепродукты, в мясе стоит отдать предпочтение нежирным сортам
Больному стоит отказаться от алкоголя, курения. Питание должно быть сбалансированым, меньше жаренного и жирного, больше свежих овощей и фруктов, рыба, морепродукты, в мясе стоит отдать предпочтение нежирным сортам.
Помимо питания нужно поддерживать и физическую активность, выполнять умеренные физические нагрузки. Это могут быть как занятия с врачом ЛФК, так и самостоятельные занятия, направленные на укрепление всех групп мышц. Так же благотворное влияние будут иметь и водные процедуры. Таким пациентам показано посещение бассейна.
Еще один прекрасный способ сохранить физическую форму и укрепить мышечную систему человека — это массаж. Квалифицированный опытный массажист хорошо ориентируется в проблемных вопросах и с легкостью подберет комплекс, необходимый при заболевании.
Перспективы для пациента
При своевременном обнаружении патологии и правильном лечении прогноз для пациента благоприятный. Можно значительно замедлить прогрессирование заболевания, для этого необходим комплексный подход. Терапия должна быть направленна на лечение основной патологии и улучшение кровоснабжения головного мозга.
Как предотвратить заболевание?
Специальной профилактики лейкоареоза нет. Однако при регулярном прохождении медицинского осмотра и проведении ангиографии и МРТ диагностики можно выявить заболевание на ранних стадиях, а значит, и начать лечение, тем самым значительно увеличив пациенту продолжительность полноценной жизни.
Оцените эту статью:
- 4
Всего голосов: 270
лейкоареоз
Найдено (24 сообщения)
-
невролог
7 февраля 2018 г. / Арина / Москва -
… дисциркуляторной энцефалопатии.Нерезко выраженная наружная гидроцефалия. Перивентрикулярный лейкоареоз. МРТ шейного отдела. Заключение: Шейный лордоз … обследования без потологии, сказала что перевентрикулярный лейкоареоз это возрастное,мне 26 лет, так же … открыть
-
невролог
26 февраля 2016 г. / Иван / Чита -
… же из закоючения в проекции мозолистого тела множественные очаги вытянутой формы,единичные очаги с кистозным компонентом.Паравентрикулярно отмечается умеренный лейкоареоз.Что нужно делать при таком заболевании ?какие последствия, насколько это серьезно? открыть
-
невролог
20 ноября 2015 г. / Галина / Челябинск -
Д.день! Мне 45 лет,Замучили головные боли, сделала МРТ сама.,тк таблетки , что выписывал невролог не давали эффекта -все на остехондроз шейный списывали. Текст длинный,… открыть
-
20 ноября 2015 г. / Алина
-
Д.день! Мне 50 лет, данные МРТ , заключение: *МР-признаки множественных дисциркуляторных микроочагов в белом веществе теменных долей, перивентрикулярный глиозирующий лейкоареоз. Ретроцеребеллярная арахноидальная ликворная киста 1,2-2,3-1,6*
Как лечить?
-
невролог
27 октября 2015 г. / анастасия… / краснодарский край -
… мозга (зоны лейкоареоза). Невролог говорит о слабоумии (рано или поздно), т.к. эпилепсия не даст полноценно лечить лейкоареоз. Извините, за медицинскую безграмотность. Проблемы в развитии ребенка, безусловно, есть. Вы разделяет такой прогноз? В какую … открыть
онколог
31 октября 2014 г. / Зарина
Здравствуйте! Это опять форумчане с адреса http://www.03.ru/section/oncology/5319265 (тема глиобластома)
Просим разрешения продолжить наше обсуждение здесь, это очень важно для каждого… открыть
-
14 августа 2015 г. / тата
-
Аноним! у нас после очередного мрт -желудочковая система расширена.Перивентрикулярный лейкоареоз.После в/в введения контраст.вещ-ва,определяется его накопление арахноидальными оболочками боковых желудочков.В левой темен.области определяется послеоперац. …
-
детский невролог
1 августа 2015 г. / Вера / Нижнеудинск -
… -признаки умеренного равномерного имтончения зрительных нервов и хиазмы. Умеренная симметричная наружная гидроцефалия. Перивентикулярный лейкоареоз. Заключение окулиста чазн. Изменения зрительного нерва полностью не обьясняют возможное отсутствие зрения. … открыть
-
невролог
6 марта 2015 г. / лада / Воронеж -
… , а также в левой лобной и теменной долей 1,5 и 2 мм. Вокруг передних рогов боковых желудочков нерезко вывыражен лейкоареоз. Умеренная внутренняя гидроцефалия. Дифференциальный диагноз с демиелинизирующим заболеванием. Насколько серьезен данный диагноз? открыть
-
сосудистый хирург
18 ноября 2014 г. / Андрей / г.Аркадак, Саратовская обл. -
… головного мозга: Заключение- МР-признаки очаговых изменений в веществе головного мозга дистрофического характера и лейкоареоз как проявление недостаточности мозгового кровообращения. Расширение периваскулярных пространств в области базальных структур; МР- … открыть
-
сосудистый хирург
11 ноября 2014 г. / АНАТОЛИЙ… / Санкт-Петербург -
Гкмодинамически незначимая атеросклеротическая бляшка бифуркации правой ОСА на фоне дегенеративных изменений бассейнов сонных артерий с обеих сторон. Экстравазальные… открыть
-
18 ноября 2014 г. / Андрей
-
… головного мозга: Заключение- МР-признаки очаговых изменений в веществе головного мозга дистрофического характера и лейкоареоз как проявление недостаточности мозгового кровообращения. Расширение периваскулярных пространств в области базальных структур; МР- …
-
инвалиды
10 февраля 2014 г. / Надежда / г. Шатура -
… мозга с гипертонией с диффузным поражением вещества головного мозга с исходом в кистозно-глиозные изменения, лейкоареоз, смешанную гидроцефалию, атрофию коры головного мозга с умеренными когнитивнымирасстройствами. Вестибулопатия. Гипертоническая болезнь … открыть
Проявления лейкоареоза
Не являясь самостоятельной патологией, лейкоареоз не имеет и характерных, свойственных только ему, клинических признаков. Симптоматика связана с диффузным поражением белого вещества головного мозга, нарушением координированной деятельности коры и подкорки. Значительный отпечаток накладывает и основное заболевание – инсульт, энцефалопатия, болезнь Альцгеймера.

Довольно длительное время лейкоареоз может вообще никак себя не проявлять, а если он служит единственным признаком естественного старения, то и вовсе какой-либо существенной симптоматики не возникает. В то же время, прогрессирование поражения нервной ткани мозга приводит к постепенному нарастанию изменений со стороны психики, интеллекта, двигательной функции.
Поскольку при лейкоареозе поражается белое вещество мозга, богатое проводящими путями, то основным феноменов при этой патологии будет разобщение координированной деятельности коры и подкорки мозга, что приводит к деменции.
Проявления лейкоареоза проходят несколько стадий:
Начальная стадия выражается в неярких симптомах энцефалопатии – нарушается память и внимание, больной становится рассеян, возможны головные боли, головокружение, быстрая утомляемость. Как правило, страдает эмоциональный фон, появляется склонность к апатии, депрессии.
При умеренном лейкоареозе клиническая картина становится более явной: значительно ухудшается память, пациенту сложно сконцентрировать на чем-то внимание, страдает мышление и интеллект, психоэмоциональный фон
Больные апатичны, медлительны, не критичны к поступкам и высказываниям, раздражительны. Нарастают двигательные расстройства в виде шаткости походки, нарушения равновесия. На этой стадии больные еще способны к самообслуживанию, но трудовая деятельность обычно сильно затруднена или вовсе невозможна, особенно, если работа связана с интеллектом и большими умственными нагрузками.
Тяжелая степень лейкоареоза проявляется признаками деменции, когда пациент не понимает, что происходит вокруг него, не отдает отчет своим действиям, не ориентируется в пространстве и времени. Речь может стать бессвязной либо полностью отсутствует. Больные апатичны, безразличны к окружающим, теряются навыки самообслуживания. Двигательные расстройства заключаются с нарушении походки и моторики, возможны парезы и параличи.

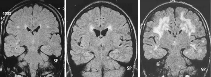
примеры лейкоареоза различной выраженности у пожилых пациентов разного возраста (моложе → старше)
Если лейкоареоз развивается после перенесенного инсульта, то клиника будет более тяжелой и выраженной. Наличие таких факторов риска, как диабет, гипертония, атеросклеротическое поражение мозговых артерий приводит к более быстрому прогрессированию мозговых расстройств с исходом в деменцию.
Стоит отметить, что поражение нервной ткани при демиелинизирующих заболеваниях будет несколько отличаться от классического течения сосудистой деменции. Так, болезнь Альцгеймера приводит к более быстрому развитию симптомов нарушения памяти и интеллекта, а рассеянный склероз может иметь волнообразное течение с периодическими улучшениями и последующим ухудшением, но так или иначе, исходом любого заболевания, сопровождающегося лейкоареозом, будет слабоумие (деменция).
Социальная дезадаптация при нарастающей деменции протекает в три стадии:
- На первой стадии пациент способен к самостоятельной жизни, самообслуживанию и даже труду.
- Вторая стадия требует посторонней помощи в быту, особенно, при повышении психических и физических нагрузок.
- Выраженный когнитивный и неврологический дефицит требуют посторонней помощи и ухода при третьей стадии деменции.

Comments
(0 Comments)