Капиллярная сетка на ногах
Профилактика
Лечение сосудистой сетки на ногах занимает много времени и требует сил, поэтому лучше постараться предупредить ее появление. Как только появились подозрения, обязательно нужно отказаться от обуви с высоким каблуком. Нежелательно стоять на одной ноге. Сидеть нужно так, чтобы не сдавливать сосуды. Рекомендовано выполнять ряд несложных физических упражнений, избавляющих от капиллярной сетки, например, хождение по ступенькам, плаванье.
Имеются противопоказания. Проконсультируйтесь с врачом.
(Пока оценок нет)
Популярное:
- Классификация венозной недостаточности
- Варикоз под коленом: способы лечения
- Тромбофлебит и варикоз: методы профилактики
Оставить комментарий
Единая запись на консультацию к флебологу
Автор
Ушаков Константин Сергеевич
Флеболог , Хирург, Проктолог
Стаж 14 лет, специализируется на лечении варикозного расширения вен
Последние новости
Каталог препаратов
Самое популярное
Как избавиться от варикоза за 2 недели. Древний способ китайских медиков.
Врачи поражены! Этот революционный метод работает
Верни своим ножкам здоровье и красоту! Лечение варикоза без таблеток и операций!
Вот чего «боится» варикоз…Избавитесь от варикоза в домашних условиях!
-
Клиники
- Москва
- Рига
- Санкт-Петербург
- Консультация врача
-
Рубрики
- Новости
- Методы лечения варикоза
- Профилактика варикоза
- Виды варикоза
- Атеросклероз
- Тромбоз
- Лечение купероза (сосудистых звездочек)
- Отзывы
- О проекте
Подберите средство для ваших вен
Что лечить
Не важно
Не важно
Варикоз
Купероз
Кого лечить
Не важно
Не важно
Мужчина
Женщина
Подобрать средство
Главная / Виды варикоза
Успей прочесть бесплатно, осталось 3 дня!
{«cookieName»:»wBounce»,»isAggressive»:false,»isSitewide»:true,»hesitation»:»»,»openAnimation»:false,»exitAnimation»:false,»timer»:»»,»sensitivity»:»»,»cookieExpire»:»14″,»cookieDomain»:»»,»autoFire»:»»,»isAnalyticsEnabled»:false}
Профилактика повреждений сосудов
Сосуды выполняют очень тяжелую работу: без перерывов и отдыха поднимают кровь из нижних конечностей к сердцу. Неудивительно, что их сил иногда не хватает, от большого напряжения капилляры на ногах лопаются. Чтобы не лопнула вена на ноге, не потребовалось удаление части сосуда, окажите помощь своей кровеносной системе. Меры профилактики сосудистой сетки не отнимут много времени.
- Старайтесь больше двигаться, делать упражнения для ног. Прекрасный метод укрепления сосудов – плаванье в бассейне, море или открытом водоеме.
- Нагрузка на ноги должна быть посильной и не очень длительной.
- Обливайтесь контрастным душем.
- Несколько раз в день полежите около четверти часа, приподняв ноги. Застоявшаяся кровь и лимфа стекут в общую кровеносную сеть.
- Нужно избавиться от вредных привычек.
- Носите специальные противоварикозные колготки (по назначению врача!).
- Отдавайте предпочтение натуральным продуктам, ограничьте фаст-фуд, сладкие и мучные изделия, жирные, копченые и жареные блюда.
- Употребляйте в пищу мясо морских обитателей и морскую капусту. Эта пища хорошо укрепляет стенки сосудов.
- Каждый день употребляйте продукты, богатые витаминами C, P, E. Укреплению сосудов помогают зелень, чеснок, оливковое масло, орехи.
Иногда причины возникновения заболевания кроются в образе жизни человека
Обратите внимание, в какой позе вы обычно сидите. Если кладете ногу на ногу, поджимаете голени под себя, сосуды оказываются пережаты, вены набухают – не удивительно, что через некоторое время потребуется лечение варикоза
Плохое воздействие оказывают чулки, гольфы и носки с тугими резинками, выбирайте одежду, которая не мешает свободному проходу крови. Маленькие туфельки на высоченной шпильке делают вашу фигуру выше и стройнее, но зачем обрекать себя на такие пытки? Удобная обувь, подобранная по размеру, сделает посещение концертов и вечеринок намного приятнее, а кому не нравится ваш вид – пусть не смотрит.
Избавиться от красных звездочек в домашних условиях можно, но лучше не допускать их появления. Эластичные сосуды и отсутствие тромбов дают крови возможность беспрепятственно циркулировать во всех частях тела. Не ждите, когда полопаются капилляры и образуется варикозная сетка на ногах, обратитесь к флебологу, как только начнете чувствовать первые симптомы: дискомфорт в голенях и стопах, быструю усталость, тяжесть, боль. Устраните причины, способствующие развитию болезни. Если вовремя начать лечение, выполнять все рекомендации врача, сосуды быстро придут в норму, и не придется бороться с серьезными последствиями. Помните, кровеносной системе тяжело, ей нужна ваша помощь.
Атеросклероз причины возникновения, признаки, методы лечения
Симптоматика.
Атеросклероз – это образование холестериновых бляшек на внутренних стенках сосудов. При данном недуге по ссуженным сосудам замедляется процесс кровообращения и поначалу это не дает причин для беспокойства.
Характерными признаками атеросклероза является: болевые ощущения при ходьбе, потемнение кожи на пальцах ног и стоп, долго незаживающие ранки, зябкость ног даже в теплом помещении, постоянные болевые ощущения даже в состоянии покоя.
Лечение.
Базовой основой эффективного лечения при данном недуге является нормализация питания в виде исключения вредной пищи из рациона. Далее врач прописывает лекарства, понижающие уровень холестерина в организме и приводящие его в норму. В запущенных случаях необходимо делать операцию на сосудах – чистить их от образовавшихся холестериновых бляшек.
Если запустить данный недуг, он повлечет за собой возникновение сахарного диабета, ожирения, обморожения конечностей.
Методы решения проблемы
С целью укрепления стенок сосудов рекомендуется:
- Употреблять такие витаминные комплексы: Рутозид, Аскорутин, Капилар (содержат рутин и аскорбиновую кислоту).
- Скорректировать рацион, обогатить его смородиной, шиповником, черноплодной рябиной.
- Закаливание: поочередно обливаться горячей и холодной водой.
- При отсутствии регулярных физических нагрузок следует делать хотя бы утреннюю зарядку.
- В том, что лопнул капилляр или вена, может быть «виновато» курение. Если не исключить никотин, являющийся сосудосуживающим веществом, проводить медикаментозное или физиотерапевтическое лечение ломкости сосудов бесполезно.
В современных клиниках предлагают такие процедуры для решения проблемы повышенной хрупкости сосудов:
- Микросклеротерапию (технология применяется, когда лопнула вена). В сосуды, расположенные под кожей, при помощи тонких игл вводится склерозант (раствор, склеивающий стенки вен). Продолжительность одного сеанса составляет от 30 до 90 минут, число процедур обусловлено масштабом проблемы.
- Поврежденные капилляры удаляют лазером.
- Элос-коагуляция — инновация эстетической медицины. В основе процедуры — технология применения биполярного электротока вместе с лазерным излучением.
Все указанные методы обеспечивают лишь косметический эффект. Гарантировать то, что лопнувшие капилляры (вены) не появятся вновь, нельзя.
Медикаменты с диосмином показаны при ощущении тяжести и судорогах в области нижних конечностей.
Лекарства с добавлением троксерутина обладают противовоспалительным эффектом. Обычно эти средства предназначены для наружного применения — гели, мази, кремы.
Препараты с рутозидом (их называют биофлавонидами) улучшают эластичность эритроцитов.
Справиться с проблемой повышенной ломкости сосудов помогают и народные средства. Самые популярные из них такие:
- Ванны со скипидаром. Процедуры способствуют очищению сосудов и укреплению их стенок. Со временем расширенные капилляры исчезают.
- Растирание с использованием отвара календулы. 1 стакан сухих цветков растения залить таким же количеством кипятка и настаивать 60 минут. В готовый состав добавить 0,5 стакана медицинского спирта. Способ применения: растирание проблемных участков следует делать 3 раза в сутки.
- 1 ст. л. масла облепихи смешать с 1 ч. л. крахмала. Кашицу наносят на поврежденную область на 15–20 минут, смывают холодной водой.
- Чайную ложку меда соединить с 2-3 каплями сока лимона. Маска помогает справиться с сосудистой сеткой. Ее наносят на пораженный участок на 10 минут, после смывают теплой водой.
- Вибрационная терапия (упражнения) и массаж.
Профилактика повышенной ломкости сосудов предполагает:
- Регулирование водного баланса (норма воды в сутки — 2–2,5 л).
- Коррекцию рациона. Он должен включать свежие овощи, кисломолочные продукты, постное мясо, рыбу; необходимо исключить выпечку, конфеты, газированные напитки, майонез; ограничить количество крепкого чая и кофе.
- Закаливание (обтирания влажной губкой, обливания холодной водой).
- Умеренные, но регулярные физические нагрузки (пешие прогулки, плавание, фитнес).
- Гидротерапию (контрастный душ, ванны, гидромассаж конечностей).
- Избегание подъема тяжестей.
- Подбор комфортной обуви.
Следует помнить, что повышенная ломкость сосудов — признак системного расстройства. Если лопнувшие капилляры (вены) стали привычным явлением, необходимо обратиться за помощью к флебологу или сосудистому хирургу.
Лечение сосудов ног
Причины выяснили, теперь надо решить, что делать, какую помощь можно оказать своим венам. Желательно начать лечение как можно раньше, даже если вы постоянно носите брюки и дефекты ног никому не видны. Основная задача не спрятать косметический недостаток, а привести в порядок кровоснабжение нижних конечностей. Целительство народными средствами нельзя считать полностью безвредным и безопасным, при неумелом применении оно может вызвать серьезные последствия, вплоть до трофических язв.
Когда лопаются сосуды на ногах, на ранней стадии врачи чаще всего рекомендуют применять в домашних условиях специальный крем или препараты:
- «Троксевазин»;
- «Детралекс»;
- «Венарус».
Если болезнь зашла далеко и поврежденными оказались толстые вены, лечение в домашних условиях не принесет результата. Рассасывающий крем, мазь или массаж не могут повлиять на глубоко расположенные сосуды. В медицинских учреждениях вам могут назначить инъекции, лазерные процедуры, в тяжелых ситуациях рекомендуется удаление поврежденного сосуда и замена на имплантат. Если случай не запущен, избавиться от красных прожилок поможет гирудотерапия. Только не надо забираться в кишащий пиявками пруд: для процедур годятся только специальные виды этих водных обитателей, а лечение должно проводиться по определенной схеме.
Можете воспользоваться народными средствами, помогающими избавиться от сосудистой сетки, но их лучше применять в дополнение к основным процедурам. Вам нужно не скрывать симптомы, а лечить заболевание. Особенно серьезно нужно подойти к проблеме, если не просто появляются красные линии, а лопнула вена на ноге.
- Высушенные листья каланхоэ измельчить, залить водой и настаивать 7 дней. Отфильтрованным составом натирать ноги снизу вверх.
- Листья алоэ 3 дня держать в холодильнике. Перед сном смазывайте соком больные места, затем наложите питательный крем.
- В стакане кипятка заварить 2 горсти петрушки, настаивать 20 минут и процедить. Смешать равные количества настоя и молока и делать компрессы на 30 минут.
- Ошпаренный кипятком капустный лист сутки держать в холодильнике в пластиковом пакете. На следующий вечер натереть больные места неразбавленным яблочным уксусом и дождаться, пока он высохнет. После этого прибинтовать к ноге капустный лист на ночь. Лечить лопнувшие сосуды нужно каждый день без перерыва, следите, чтобы листья были вовремя подготовлены.
- Разрезать пополам зеленый помидор, приложить срез к красным сосудам, подержать 3 минуты, затем втереть питательный крем. Делать процедуры 10 дней.

Особенности терапии
Лечение включает в себя:
- правильное питание;
- медикаментозную терапию;
- средства народной медицины.

1. Правильное питание.
Диета, позволяющая произвести укрепление капилляров, в том числе и при варикозе вен, включает в себя пищу, богатую магнием, кальцием, витаминами Е, С, Р, а именно:
- курицу;
- любую рыбу;
- свежие овощи и фрукты, в том числе баклажаны, чеснок, яблоки, цитрусовые, лук;
- яйца;
- бобовые;
- кефир, творог, сметану;
- хлеб, выпеченный с использованием муки грубого помола.
Еду желательно готовить на пару или же тушить. Способствует укреплению капилляров, в том числе и при варикозе ног, исключение из рациона некоторых блюд. Запрещено употреблять жареные блюда ввиду того, что они повышают уровень холестерина в крови (это актуально для лиц пожилого возраста). Нужно исключить сдобу, а также копченые и острые блюда с большим количеством специй. При этом пища должна быть в меру сладкой и соленой. Накладывается ограничение и на питье, в особенности кофе и газированные напитки.

2. Медикаментозная терапия.
Лечение подразумевает использование препаратов, укрепляющих сосуды на ногах:
- витаминов – аскорбиновой кислоты, Аскорутина, поливитаминов (Дуовита, Витрума);
- ангиопротекторов (Эскузана);
- флеботоников, например, (Нормовена);
- лекарств, очищающих от холестериновых бляшек (Ловастатина);
- включающих в свой состав магний и кальций – Кальций Д-3-Никомеда, Добезилата, Кальцемина.
3. Народная медицина.
Лимонный сок.
Для того, чтобы укрепить стенки и возвратить им эластичность при помощи этого напитка, каждый день выпивают по два стакана натурального свежевыжатого лимонного сока, разбавленного водой в пропорции 1:3 и подслащенного натуральным медом.

Настой шиповника.
Для лечения вен и капилляров в этом случае используется настой сухих ягод, приготавливаемый следующим образом. Десять грамм плодов заливаются стаканом кипятка и настаиваются на протяжении часа. Употребляется напиток по половине стакана перед едой утром и вечером.
Чай с молоком.
Является наиболее удобным средством, ведь все, что нужно для приготовления напитка, всегда имеется дома. Для лечения в данном случае необходимо использовать черный листовой чай.
Две трети чашки наполняются свежим чаем и заливаются горячим молоком. Пьют получившийся напиток каждые два часа. Причем в первой половине дня чай пьется несладким, а во второй – подслащивается сахаром или медом по вкусу.
Настой лимона с чесноком.
Четыре лимона с кожурой и четыре головки чеснока измельчаются, укладываются в трехлитровую банку, заливаются 2,5 литрами теплой кипяченой воды и настаиваются на протяжении трех суток. Полученная смесь процеживается и принимается по чайной ложке трижды в день на протяжении 9 месяцев. Затем делается перерыв на три месяца и прием возобновляется.

Профилактические мероприятия
Следует перейти к здоровому образу жизни, который помимо сбалансированного и богатого витаминами питания, включает в себя физическую активность, правильное чередование отдыха и труда, оздоровительные процедуры.
Могут помочь:
- продолжительные пешие прогулки;
- занятия спортом: плавание в бассейне, подвижные игры, катание на велосипеде, бег трусцой, фитнес;
- массаж, позволяющий стимулировать кровообращение;
- контрастный душ;
- баня.
Профилактика сосудистых заболеваний
Обнаружив у себя нарушение тонуса сосудов, необязательно сразу бежать в аптеку за дорогостоящими препаратами, можно попробовать устранить причины почему сосуды лопаются на ногах и попробовать вернуть им эластичность в домашних условиях.
Регулирование водного баланса
В первую очередь, необходимо отрегулировать свой водный баланс. Из уроков биологии нам известно, что человек на 80% состоит из жидкости: крови, лимфы. Недостаток влаги в организме влечет за собой ломкость сосудов. Норма выпитой жидкости в день для каждого человека составляет 2-2,5 литра чистой воды. Индивидуальную потребность в воде можно рассчитать по формуле: 30 мл на 1 кг веса. Выпивая такой объем ежедневно, вы станете сами замечать улучшение самочувствия, бодрость, даже будете меньше есть, так как иногда чувство голода – это замаскированная жажда.
Пересмотр пищевого рациона
Во-вторых, стоит пересмотреть свой пищевой рацион в сторону полезных продуктов: свежих овощей, фруктов, круп, постного мяса и рыбы, кисломолочных продуктов. Избавляя себя от пищевого «мусора»: конфет, выпечки, чипсов, майонезов, газировки, вы облегчите работу организму по перевариванию полисахаридов, которые кровью через сосуды разносятся по организму. Каждое утро старайтесь начинать не с кофе, который вымывает кальций из организма и провоцирует отекание ног, а с запаренной на молоке овсянки.
Приготовьте и возьмите за правило каждый день лакомиться питательной и полезной для сосудов смесью по следующему рецепту:
- пол килограмма чернослива и кураги,
- 1 лимон,
- горсть грецких (или других) орехов.
Все ингредиенты перемолоть в мясорубке или блендере, приправить 5 столовыми ложками меда. Все тщательно перемешайте и сложите в банку с крышкой. Употребление этой смеси по 3 чайные ложки в течение дня придаст тонус сосудам и укрепит сердце.
Возьмите за правило каждый день натощак выпивать 1 столовую ложку оливкового или льняного масла. Такой смазочный материал для сосудов, насыщает их витамином Е.
Употребляйте как можно больше блюд, в которых есть чеснок. Чеснок – это природный антибиотик и антисептик, который способствует нормализации тонуса сосудов.
Подружитесь со спортом
В этом случае необязательно сразу идти записываться в тренажерный зал. Для начала достаточно начать ходить пешком. Ходьба является самым щадящим для сердечно-сосудистой системы видом спорта, так как не возникает перегрузок и резкой смены пульса. Если вы живете в многоэтажном доме, для крепости сосудов и красоты ваших ножек полезным будет ходьба по ступенькам без использования лифта. После работы пару остановок можно пройти пешком. Чаще гуляйте с друзьями, катайтесь на велосипедах детьми. Введите традицию вечернего променада под руку с мужем и детьми.
Полезными будут следующие гимнастические упражнения для профилактики сосудистых заболеваний ног:
- Подъем на носок, опускание на пятку.
- Гимнастика «Око возрождения», которая включает постепенное наращивание подходов от 1 до 21, кроме шестого упражнения, которого достаточно сделать 3 раза за весь цикл.
Комфортная обувь – залог здоровых ног
Более наглядно о сущности, свойствах и тренировке сосудов можно узнать из видео:
Большинство людей, имея заболевание сосудов, относятся к этому явлению как к норме. Бесспорно, на первых порах можно улучшить тонус и повлиять на укрепление сосудов народными средствами. Однако, в случае необходимости, не откладывайте визит к специалисту. Ваше здоровье – в ваших руках.
Ретикулярные вены и телеангиэктазии
Выделяют три вида варикоза нижних конечностей: подкожный, ретикулярных вен и сосудов папиллярной сети (телеангиэктазии). Как правило, многие люди, думая о варикозной болезни, понимают, что это только поражение большой и малой подкожных вен. Но расширяться могут вены более мелкого калибра (до 3 миллиметров), расположенные внутри кожи, которые образуют папиллярную и ретикулярную сосудистые сети. Первая является субстратом образования телеангиэктазий, вторая формирует ретикулярный варикоз.
Телеангиэктазии (сосудистые звездочки) — скопление расширенных сосудов калибра не более 1 мм, встречаются у 80% всех взрослых людей, как правило, не причиняют никакого беспокойства. Тем не менее, у некоторых женщин их «бессимптомное» присутствие вызывает негативное представление о состоянии здоровья кожи. В отличие от расширения подкожных вен, на ногах красные сосуды редко возвышаются над уровнем кожи и не несут никакой угрозы здоровью. Однако в очень редких случаях, если они механически повреждаются, возможно небольшое кровотечение.
Телеангиэктазии – поражение самых мелких подкожных вен, которые расположены в дерме и лежат сразу же под наружным слоем кожи (эпидермисом). Выглядят они, как розовые или фиолетовые сосуды на ногах, могут иметь ярко-красный, интенсивно-синий оттенок, похожи на тонкую паутинообразную сеточку.
Ретикулярный варикоз (сетчатый, сетевидный, «питающих вен») — поражение внутрикожных вен (калибром от 1 до 3 мм). Эти сосуды на ногах синие или зеленые, расходятся от центра извилистыми линиями, напоминают звездочку. Чаще всего их можно обнаружить на лодыжке, наружной части бедра. Видимые ретикулярные вены — это, как правило, косметическая проблема.
Ретикулярный варикоз
Как и в случае с телеангиэктазий, при РВ редко происходит трансформация его в более серьезную форму (варикозное расширение подкожных вен ног). Исследования показали, что эти «микроварикозы» могут присутствовать у людей долгие годы без каких-либо последствий (сроки наблюдения от 8 до 48 лет). Это указывает на то, что прямой причинно-следственной взаимосвязи между этими формами варикоза не существует.
Лечение капиллярной сетки на ногах
При появлении венозной сетки нужно немедленно пойти на прием к врачу-флебологу. Не стоит с этим затягивать, особенно когда сетка начинает разрастаться. Врач назначит УЗИ вен. Он выявит причину возникновения заболевания, оценит расположение и глубину залегания звездочек и предложит оптимальное лечение. Часто пациента направляют в профессиональное заведение (клинику), в котором опытные специалисты знают, как убрать сетку на ногах.
Удаление варикозной сетки на ногах рекомендуют производить до наступления теплого времени года. Процесс занимает не менее месяца. Потребуется несколько визитов к косметологу. Во время лечения противопоказаны солнечные лучи.
компрессионного трикотажа
Существует 2 способа удаления:
- Бесконтактные способы. К ним относят фото- и лазерную коагуляцию. Это наиболее безопасные методы. Однако процедура очень болезненная. В основном ее проводят без обезболивания. Это связано с тем, что анестезия сужает сосуды. Из-за этого врач может не заметить некоторые сосудистые образования. В данном случае придется терпеть дискомфорт.
- Инъекционные методики. Особого внимания заслуживает компрессионное флебосклерозирование и микросклеротерапия. Суть последней заключается во введении под кожу лекарства. Через несколько недель сосуды рассасываются. После это рекомендуется некоторое время носить компрессионное белье.

Не соглашайтесь на электрокоагуляцию, которая устарела и имела много неприятных побочных эффектов! Некоторые недобросовестные клиники ее применяют до сих пор.
Опасные болезни
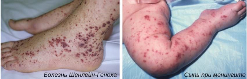
Этим симптомом могут сопровождаться тяжелые заболевания:
- менингит (воспаление мозговых оболочек);
- лейкоз (опухоль кроветворной системы), миеломная болезнь, болезнь Ходжкина;
- ангина;
- сепсис;
- идиопатическая тромбоцитопеническая пурпура;
- болезнь Шенлейн-Геноха;
- гемофилия;
- болезнь Виллебранда;
- цирроз печени;
- васкулит.

Воспаление сосудов (васкулит, или ангиит) – одно из самых тяжелых состояний, сопровождающихся кровоизлияниями. Существует несколько разновидностей этого заболевания, в частности:
- геморрагический васкулит (болезнь Шенлейн-Геноха);
- стойкая прогрессирующая пигментная пурпура;
- анафилактоидная пурпура Шенлейн-Геноха;
- ливедоангиит;
- полиморфный дермальный ангиит.
Необходимо обратиться за медицинской помощью при таких симптомах:
- болезненность в месте кровоизлияния;
- узел или шишка в месте лопнувшего сосуда;
- потемнение пострадавшей кожи;
- отеки конечностей;
- кровотечения из носа, десен, кишечника или мочеиспускательного канала.
Рекомендуем прочитать об уртикарном васкулите. Вы узнаете о подвидах геморрагического васкулита, причинах патологии, признаках, лечении и диагностике.
А здесь подробнее о диете при геморрагическом васкулите.
Что делать
Подбирать лечение самостоятельно, без консультации флеболога или сосудистого хирурга, недопустимо. Неверно выбранными медикаментами можно навредить организму, а если опираться только на методы народной медицины, результата никакого не будет. Без комплексного лечения обойтись не получится.
Медикаменты
Лечение лопнувших сосудов зависеть будет, прежде всего, от причин, спровоцировавших это. Длительность курса определяет лечащий врач. Для системного воздействия на степень проницаемости капилляров назначаются:
- Флебодиа;
- Аскорутин;
- Вазокет;
- Детралекс;
- Троксевазин.



Дополнительно могут быть назначены Аспирин Кардио или Курантин для разжижения крови. Для наружного применения обычно используются Венорутон или Троксевазин гель, которые усиливают медикаментозное воздействие.
Если от лопнувшего сосуда появился синяк, использовать нужно средства с рассасывающим эффектом:
Мы рекомендуем!
Многие наши читательницы для лечения ВАРИКОЗА активно применяют широко известную методику на основе натуральных ингредиентов, открытую Еленой Малышевой. Советуем обязательно ознакомиться.
- Троксевазин;
- Лиотон;
- Гепариновую мазь;
- мази на основе бадяги.
Убрать болевой синдром помогает Индовазин: после того, как наносится средство, на проблемное место необходимо нанести эластичный бинт или специальный компрессионный чулок.
Хирургическая коррекция
Синяки от лопнувших сосудов рассасываются со временем или под воздействием специальных мазей, а «звездочки» самостоятельно не исчезнут. Для их лечения широко используются методы малоинвазивного вмешательства – операции без разрезов, выполняющиеся через маленькие проколы:
- Лазерное лечение – с помощью луча проблемная вена склеивается и становится маленьким жгутом, который рассосется через несколько месяцев. Кровь «переходит» на здоровые вены.
- Склеротерапия – во время процедуры удаляются проблемные «больные» вены и сосуды, а в «звездочки» вводят склерозант, способствующий их рассасыванию. Всего сделать придется до десяти таких инъекций, одной процедурой дело ограничивается не всегда.
Профилактика
На начальных этапах развития сосудистых заболеваний серьезное лечение может и не понадобиться, а вот изменить образ жизни придется
Прежде всего, стоит обратить внимание на диету. Отказаться нужно от:
- соусов на основе майонеза;
- жирного мяса;
- выпечки и белого хлеба;
- конфет;
- газированных напитков;
- крепкого кофе;
- алкоголя и табака.
Добавить в меню следует кисломолочные продукты, рыбу, фрукты, овощи и крупы. Также ежедневно нужно выпивать минимум два литра простой чистой воды.
Изнуряющие тренировки в зале особой пользы не принесут, а вот регулярная спортивная ходьба, подъем по лестнице или простейшая домашняя физкультура, — помогут оздоровлению сосудов.
Обувь обязательно должна быть удобной и подобранной по сезону, чтобы не допускать переохлаждения ног. Высокие каблуки – один из главных врагов здоровых ног. Если подобные туфли входят в рабочий дресс-код, носить их рекомендуется только в офисе, снимая при первой же удобной возможности.
Многие люди просто не обращают внимания на заболевания сосудов. Тревожность появляется только когда болезнь зашла слишком далеко и начинает приносить существенный дискомфорт. А ведь достаточно просто вовремя посетить специалиста и скорректировать свой образ жизни, чтобы избежать множества серьезных проблем.



ВЫ ВСЕ ЕЩЕ ДУМАЕТЕ, ЧТО ИЗБАВИТЬСЯ ОТ ВАРИКОЗА НЕВОЗМОЖНО!?
Признаки и диагностика
Для установки степени поражения сосудов используют такие приемы:
- Метод щипка: складку кожи в области груди следует зажать между средним и указательным пальцами. В этой зоне исключаются случайные повреждения, а давление на кожу не вызывает болевых ощущений. Если после проведенных манипуляций на тестируемом участке образовалось геморрагическое пятно, — ломкость сосудов значительная.
- По коже в области груди необходимо постучать молоточком. Если после этого появились гематомы, — стенки сосудов ослаблены.
- Метод жгута. Среднюю часть плеча перематывают жгутом так, чтобы отток венозной крови был приостановлен, а артериальной — не нарушен. Если после снятия жгута на исследуемом участке образовались петехии, степень ломкости сосудов высока, пациенту требуется терапия медикаментами.

При диагностике проблем с сосудами необходимо обращать внимание на такие симптомы:
- Головокружения.
- Появление «звездочек» или черных точек перед глазами при резкой смене положения тела.
- Даже легкие травмы приводят к появлению лопнувших капилляров на пальцах, предплечьях, лодыжках и т. д.
- Сквозь кожу просматривается сетка сосудов.
- Ощущение озноба даже в прогретом помещении.
Как проявляется и почему
При неблагоприятных условиях сосуды лопаются на разных частях ноги – коленях, стопах, голени или бедрах. Небольшой синяк, «звездочки» или типичная сеточка выглядят не очень эстетично, но это не главная проблема. В некоторых случаях это является сигналом начала варикозной болезни и может сопровождаться отечностью и болью.
Сосудистая сеточка или «звездочки» появляются в том случае, если лопаются маленькие кровеносные капилляры, которые расположены очень близко к поверхности кожи. Следы могут быть красными или синеватыми. Очевидного физического дискомфорта эта проблема обычно не причиняет, страдает только эстетика.
Синяк появляется при лопнувшей небольшой вене. Его цвет и размеры зависят от того, как быстро сворачивается кровь. Обычно в проблемном месте появляется небольшая припухлость или уплотнение, при касании появляется боль.
Особую опасность представляет собой повреждения крупных вен и артерий. При этом происходит внутреннее кровоизлияние. Главный симптом – крупный кровоподтек, сопровождающий слабостью и острой непрекращающейся болью. В таком случае человеку нужна срочная помощь врачей, а чуть выше поврежденного места необходимо наложить жгут.
Так, при сосудистых нарушениях наблюдаются:
- «быстрые» синяки от легчайших ударов;
- сосудистые сетки на поверхности;
- головокружения при подъеме по лестнице;
- частое ощущение холода;
- темнота в глазах при резкой смене положения тела.
При подобных симптомах стоит придерживаться профилактических рекомендаций. Если сосуды уже начали лопаться, а правильное лечение не было подобрано, проблема будет только усугубляться.
Почему лопаются сосуды?
Причин, по которым лопаются сосуды, может быть много. Прежде всего, в группе риска находятся люди, ведущие малоподвижный образ жизни или, наоборот, проводящие слишком много времени на ногах, а также женщины, старше 45 лет.
К наиболее распространенным причинам относятся:
- Вредные привычки. Сигареты вредят не только легким, но и всей кровеносной системе. В сосудах появляются атеросклеротические бляшки, а их стенки истончаются и покрываются язвочками. Чем дольше и больше человек курит – тем слабее становятся сосуды.
- Неправильное питание. В зоне риска – девушки, придерживающиеся белковых диет. Сложные углеводы и свежие овощи обеспечивают организм необходимым количеством клетчатки, без которых сосуды становятся менее прочными и быстрее изнашиваются.
- Малоподвижный образ жизни. Пока тело человека находится в покое, кровь по организму циркулирует менее активно. Регулярное бездействие мышц может грозить серьезным нарушением кровообращения, а сосуды начинают «стареть» в разы быстрее.
- Специфические заболевания. Негативно на крепости сосудистых стенок сказываются разнообразные заболевания – стенокардия, ожирение, гипертония, атеросклероз и сахарный диабет. Чуть подправить ситуацию позволят медикаменты, направленные на лечение именно этих болезней.
- Неблагоприятные условия. Постоянные стрессы, инфекции, недостаток витаминов – все это приводит к своеобразному сосудистому «кислородному голоданию». Еще одна возможная причина – травмы (обморожения, ожоги).
Нередко проблемы с сосудами появляются во время беременности. В это период организм испытывает серьезную гормональную перестройку и сильный стресс, а ухудшается иммунитет. Кроме того, постепенно возрастает нагрузка на ноги.
Если лопнул сосуд на ножке ребенка, паниковать родителям не стоит. Организм малыша полностью еще не сформировался и очень восприимчив к внешним факторам. Сосуды еще очень хрупкие, и лопаться могут от небольшого воздействия или даже перепада температуры.
Лечение патологии
Если лопаются сосуды на ногах, лечение должен назначить врач. Оно зависит от причины, вызвавшей кровоизлияние под кожей.
Медикаменты
Врач проводит диагностику и выясняет причину лопнувших сосудов. Назначается исследование свертывающей системы крови, включая МНО и протромбиновое время. Обязательно выполняется анализ крови с подсчетом количества тромбоцитов. В некоторых случаях диагноз подтверждается после биопсии костного мозга.

После этого назначаются лекарственные средства, укрепляющие сосудистую стенку и восстанавливающие процесс свертывания крови. В зависимости от тяжести кровоизлияний могут применяться:
- свежезамороженная плазма;
- витамин К;
- дицинон;
- аминокапроновая кислота;
- аскорутин, содержащий витамины С и Р.
Проводится лечение основного заболевания, вызвавшего повреждение сосудов. Если патология связана с приемом лекарственных препаратов, необходимо прекратить их использование. Во многих случаях показана консультация гематолога и ревматолога.
Самолечение при лопающихся сосудах запрещено. Оно может лишь усилить тяжесть состояния больного, вызвав не только подкожные кровоизлияния, но и кровотечение из желудочно-кишечного тракта, носа, органов мочеполовой системы, легких.
Народные средства
После консультации с врачом можно применять некоторые народные средства. Что делать, если лопаются сосуды на ногах:
- приподнять поврежденную конечность и приложить на 10 минут лед или холодный компресс, повторять 3 раза в день;
- принять ибупрофен, чтобы уменьшить болезненность и воспаление, если он не противопоказан.
В первые 2 суток нельзя принимать горячий душ или ванну, делать согревающие компрессы и употреблять алкоголь. После 48 часов можно использовать теплые растирания и чередовать их с охлаждающими процедурами. Для уменьшения отека можно обернуть конечность эластичным бинтом, не сдавливая при этом ткани.
При частых кровоподтеках одновременно с приемом лекарств можно использовать некоторые отвары лекарственных трав:
- крапива;
- черноплодная рябина;
- шиповник.
С лекарственными травами при кровоизлияниях под кожу нужно быть очень осторожным, ведь они могут усилить проявления кровоточивости при серьезных заболеваниях.
Следует обратиться к врачу, если во время домашнего лечения появились такие признаки:
- кровоизлияние сохраняется больше 2 недель;
- развивается воспаление кожи;
- кровоизлияния рецидивируют;
- появляются новые патологические симптомы.

Comments
(0 Comments)