Фокальная нодулярная гиперплазия печени симптомы и лечение
Гиперплазия молочных желез
Разрастание клеток в груди у женщины (гиперплазия желез и млечных протоков) – довольно распространенное заболевание в последнее время. Чаще всего гиперплазия молочных желез диагностируется в возрасте 20 лет. Выделяют типичную и атипическую гиперплазию груди. Обе эти формы заболевания опасны тем, что при отсутствии ранней диагностики могут привести к раку груди.
Как проявляется такая гиперплазия? Симптомы, которые должны обратить на себя внимание:
- боли в груди;
 - уплотнения в груди;
 - выделения из сосков;
 - нарушения менструального цикла;
 - изменения настроения: депрессия, дисфория, лабильность.
 
Гиперплазия желез, если речь не идет о злокачественном процессе, успешно лечится медикаментозно.
1 Провоцирующие факторы для развития болезни
Помимо противозачаточных средств и препаратов тестостерона, повлиять на рост опухоли могут и другие внешние факторы:
- 1. Наличие вредных привычек, таких как никотинозависимость, алкоголизм или прием наркотиков.
 - 2. Отсутствие режима в питании, наличие вредных продуктов в ежедневном рационе.
 - 3. Рабочая деятельность, связанная с химическими препаратами.
 - 4. Наследственная предрасположенность.
 - 5. Экологический фактор.
 - 6. Механическое повреждение области печени.
 - 7. Проведение химиотерапии.
 

Но так как болезнь до конца не изучена, точной причины, связанной с ФНГ, не назовет ни один доктор.
Гиперплазия лимфоузлов
Гиперплазия лимфатических узлов может быть признаком рака различного расположения, по этой причине важно обращать внимание на увеличенные лимфоузлы. Увеличенные над ключицами лимфатические узлы могут свидетельствовать о раке ЖКТ, яичников, яичек, почек, осложненном метастазами
Гиперплазия лимфоузлов на шее бывает при опухолях, которые образовались в челюстях или на лице.
Гиперплазия лимфоузлов в паху часто развивается при раковых метастазах в наружных половых органах или опухолях в ногах.
Может быть доброкачественной и злокачественной такая гиперплазия. Симптомы сильного воспаления доброкачественного характера – быстрый рост лимфоузлов, их болезненность и эластичная консистенция. А злокачественные процессы характеризуются длительным постоянным ростом лимфоузлов, высокой их плотностью, отсутствием болезненности.
Гиперплазия лимфоузлов – серьезный симптом, раннее обнаружение которого может помочь своевременной диагностике и лечению различных заболеваний.
Особого внимания требует гиперплазия лимфатических узлов, которые находятся над ключицами, в абдоминальной области, в среднем отделе грудной полости, (медиастинальные лимфатические узлы). Практически во всех случаях это указывает на наличие злокачественного процесса в организме.
Предполагает комплексное и тщательное обследование такая гиперплазия. Лечение должно быть направлено на устранение причины, вызвавшей увеличение лимфоузлов и на снятие воспаления.
4 Необходимая информация о лечении
В общем, если диагностирована фокальная нодулярная гиперплазия печени, то лечения как такового не требуется. Опухоль доброкачественная, не прогрессирующая и не доставляющая хлопот человеку. Субкапсулярный узел, образовавшийся в органе, на 98% состоит из ткани печени. В среднем образования не превышают в своем количестве 2 узлов размером не более 5 см.
Как правило, обнаружение таких узелков происходит в момент планового обследования или при проведении операции на органах брюшной полости. Хирургическое вмешательство при ФНГ не проводится, исключением может стать активный рост опухоли, который влияет на общее самочувствие человека. Например, при появлении сильных болей, развитии лихорадки, повышении температуры тела. Хотя такое явление встречается крайне редко.

Лечение проводится с устранения этиологического фактора, если его удается выявить. К примеру, это может быть отмена гормонального контрацептива, снижение дозировки принимаемых глюкокортикостероидных препаратов. Порой этого бывает достаточно, чтобы опухоль начала регрессировать, и печень вернулась в свои нормальные размеры.
Но все эти меры не должны успокоить человека, все равно понадобится регулярный осмотр органа, необходим контроль образовавшейся опухоли и недопущение ее роста. При отсутствии положительных сдвигов в лечении проводится операция по удалению образований.
Хирургические мероприятия имеют название энуклеация опухоли или сегментарная резекция печени. Они показаны, если нарушен отток желчи, из-за крупных размеров печени нарушается кровообращение, происходит сдавливание соседних органов.

Иногда постановка диагноза бывает затруднительной, а опухоль продолжает расти. В этом случае также проводится хирургическая операция (даже если биопсия не выявила злокачественного характера). Прогноз при данном заболевании благоприятный. ФНГП длительно может не беспокоить человека, а осложнения развиваются крайне редко.
Профилактические меры, направленные на уменьшение опухоли или ее предотвращение не предусмотрены. Единственное, что можно порекомендовать — не принимать гормональные препараты без назначения врача, не допускать травм живота по мере возможности. Если диагноз был поставлен, то регулярно проходить плановое УЗИ органа, чтобы был контроль течения заболевания.
Рекомендуем
Терапия печеночной гиперплазии
Терапия заболевания зависит от ряда факторов. Большое значение имеет стадия заболевания. Лечение фокальной узловой гиперплазии печени чаще всего заключается в применении определенных профилактических мер. К ним относится отмен приема гормональных препаратов, отказ от всех вредных привычек и правильное питание – употребление продуктов с высоким содержанием клетчатки, пищевых волокон и минимального количества жирной, излишне соленой и острой пищи.
Но при наличии опухоли большого размера и возможности ее разрыва, появлении негативных симптомов и риске перерастания новообразования из доброкачественного в злокачественное, пациенту рекомендуется хирургическое вмешательство. Оно заключается в отсечении участка печени, пораженного болезнью. Отсутствие лечения недуга может спровоцировать разрыв новообразования, обильные внутренние и внешние кровотечения, а также нарушения в функционировании печени, которые часто приводят к интоксикации всего организма. Но, конечно же, самой опасной патологией является развитие раковых опухолей на фоне данной болезни.
Чтобы избежать развития подобных осложнений, и сохранить свое здоровье и долголетие, необходимо проходить ежегодные диспансеризации и максимально внимательно относиться к своему здоровью. Ведь самым действенным методом лечения любого заболевания является его предупреждение и профилактика.
Показать все статьи
Е** ********ва (Нижний Новгород, Россия)
«Добрый день! Вам еще раз огромное спасибо за все, что Вы делали для меня и мужа, и что согласились проконсультировать коллегу. Вы для меня врач не просто с большой буквы, а врач от Бога. Мои наилучшие. «

Иван (Россия, Новосибирск)
«Добрый вечер! Хочется поблагодарить вас за своевременную помощь. Назначенный курс химиотерапии дает положительный результат, отец чувствует себя великолепно. Я бы хотел узнать, когда нужно прилететь н. «

Антон Пислегин (Россия, Уфа)

Кристина (Россия, Красноярск)
«Здравствуйте, миленькие мои. Вы не представляете как я рада, что попала именно к вам. Спасибо Вам за помощь, за теплое отношение. В мае увидимся, уже собираю чемоданы. «
Жанна (Россия, Омск)
«Здравствуйте, др. Евгений! Низкий Вам поклон и огромная благодарность за поддержку, Вы для меня делаете больше, чем 10 наших психологов вместе взятых. Стало легче после разговора с Вами, потому что б. «
Елена (Россия, Сургут)
«Хочу поблагодарить за то, что вы дали нам вновь надежду и силы на борьбу. Онкология – это страшный диагноз, но с вместе с вами – это перестало быть для нас смертным приговором. Желаем всем врачам Гер. «
Оксана (Москва, Россия)
«Низкий поклон от меня и моей мамы Ирины Михайловны. Благодарим каждого врача и специалиста, которые учувствовали в лечении Ирины Михайловны. Когда мы столкнулись с безысходностью и безразличием к её. «
Ольга (Россия, Сургут)
«Доброго времени суток! Уважаемые и горячо любимые Доктора, хотелось бы поздравить Вас с праздником Хануки! Желаю добра, света, исполнения желаний и конечно Здоровья! С наилучшими пожеланиями из Си. «
Павел (Минск. Республика Беларусь)
«Хочу выразить Вам свою признательность и сказать огромное СПАСИБО за оказанную помощь и консультации. Не знаем, как без Вас мы бы смогли пройти весь этот путь. Саша себя чувствует хорошо. Об пройден. «

«Я приехала в Израиль из Казахстана! Две недели назад мне была сделана операция по удалению опухали в мочевом пузыре. Хотя на Родине – в Казахстане врачи предлагали пройти облучение. Сейчас чувствую се. «
Анна (Россия, Ижевск)
«Добрый вечер! Мы вернулись в Россию. Поездкой в Тель-Авив очень довольны. Общение с врачами оказалось своевременным. Хотели поблагодарить Вас за содействие — большое спасибо! Возможно, что придется по. «
Анна и Михаил Шариповы (Россия, Казань)
«Здравствуйте, или как у Вас говорят Шалом. Мы хотим ещё раз выразить Вам свою благодарность и сказать Вам огромное СПАСИБО. Спасибо всему коллективу, а вернее, всей команде, кто остаётся небезразл. «

Лариса Тришинова (Россия, Нижний Новгород)
«Дорогие Врачи! Все родные и близкие Сергея выражают Вам всем глубокую благодарность за чуткое отношение к больному. Мы будем помнить долго, о том, как Вы помогали нам своими добрыми словами и делом по. «

Людмила (Россия, Самара)
«Многоуважаемые врачи и младший медицинский персонал «Международной Информационной онкологической службы». Пишет Вам Людмила *********. Вот и подошло наше пребывание в Израиле к окончанию. Уже завтра в. «
Диагностика
https://youtube.com/watch?v=CxtFtPpjPTY
УЗИ
КТ
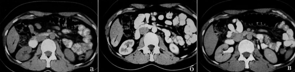
Узловая гиперплазия печени При нативном КТ исследовании (а) в 6 сегменте неотчетливо определяется образование, изоинтенсивное с паренхимой печени (стрелка). В артериальную фазу (б) контрастного усиления образование интенсивно и равномерно набирает контрастное вещество. В центе образования намечается формирование центрального рубца (стрелка). В венозную фазу (в) наблюдается вымывание контрастного вещества до состояния изоинтенсивности.
На не усиленных компьютерных томограммах узловая гиперплазия отображается по отношению к паренхиме печени или ограниченным слабо гиподенсивным, или же изоденсивным участком. В последнем случае выявление подобных образований на компьютерных томограммах проблематично. Однако эти образования в артериальную фазу контрастного усиления относительно равномерно и интенсивно окрашиваются вследствие их гиперваскуляризации и наличия соустий между артериальными и венозными сосудами (фото КТ выше). В венозную фазу окрашивание быстро убывает до состояния изоинтенсивности. Часто в центре образования на не усиленных компьютерных томограммах определяется зона более низкой плотности, которая в артериальную фазу контрастного усиления не накапливает контрастное вещество, а в поздней паренхиматозной фазе, через 4-5 минут после болюсного введения, интенсивно окрашивается. Эта зона соответствует центральному рубцу. Центральный рубец состоит из молодой, богато васкуляризированной соединительной ткани и лучше проявляется в образованиях большого размера — более 4 см (фото КТ ниже).
Узловая гиперплазия печени У пациентки 24 лет при наивном КТ исследовании (а) в правой доле печени обнаружено образование изо(гипо)денсивное относительно паренхимы. Образование сдавливает и деформирует сосуды печени. В артериальную фазу (б) контрастного усиления образование интенсивно окрашивается, но центральный рубец остается неокрашенным. В венозную фазу (в) область центрального рубца постепенно набирает контрастное вещество.
Некоторые авторы наличие рубца считают типичным признаком узловой гиперплазии. Однако встречается этот признак непостоянно, и, как будет видно дальше, наблюдается при других образованиях печени (см. фиброламинарная карцинома).
МРТ
При МРТ в центральной части образования обнаруживается рубец — признак узловой гиперплазии печени, который в Т2 последовательности (б) проявляется характерным интенсивным сигналом.
При МРТ на Т1 и Т2 взвешенных изображениях узловая гиперплазия проявляется как изоинтенсивное относительно неизмененной паренхимы печени образование. Однако на Т2-взвешенных изображениях образование опять таки распознается по центральному рубцу, который дает сильный сигнал (фото МРТ выше). При контрастной допплерографии узловая гиперплазия характеризуется ранней центральной васкуляризацией артериального типа, что проявляется визуализацией артериального приносящего сосуда, который, достигая центра, распадается на множество ветвей, образуя так называемый феномен «колеса телеги».
Китаев В.М.
Какие причины способствуют заболеванию
В настоящее время данная патология, как и большинство онкологических процессов, подлежит изучению и однозначных причин её развития не названо. При этом отмечено, что фокальная узловая гиперплазия чаще развивается в печени у женщин, длительное время принимавших препараты для контрацепции. У мужчин предположительно мутация клеток происходит на фоне приема анаболических средств или гормональных препаратов с тестостероном (для улучшения сексуальной функции).
К сведению! Возрастные изменения не рассматриваются как возможные причины патологии, т.к. большинству пациентов – от 30 до 50 лет. Но опухоль может развиться в любом возрасте, есть случаи заболевания даже среди детей.
Среди других потенциально опасных факторов развития болезни отмечают:
- травмы живота;
 - химические канцерогены;
 - химиопрепараты (данная патология может являться одним из побочных эффектов);
 - интоксикацию организма;
 - нарушение обменных процессов.
 
Характеристика
Гистологический препарат опухоли
Образование чаще одиночное, локализуется в субкапсулярных отделах печени, но может располагаться на ножке. По морфологическому строению узловая гиперплазия — это своеобразная перестройка структуры паренхимы. Узел состоит из гепатоцитов, элементов желчных протоков, Купферовских клеток, фиброзных перегородок, которые содержат тонкостенные артерии и желчные протоки. Таким образом, узел представлен нормальными элементами печеночной ткани, но отличием от нормальной ткани печени является нарушение долькового строения, проявляющееся, отсутствием портальных трактов и центральных вен. Структура опухоли больше напоминает цирротически измененную паренхиму печени, хотя обнаруживается в неизмененном циррозом органе.
Какая профилактика при гиперплазии необходима
В качестве профилактики появления в печени признаков узловой гиперплазии медики рекомендуют соблюдать всего несколько правил:
- регулярно проходить профилактические обследования;
 - вести здоровый образ жизни (исключить алкоголь или ограничить его употребление до одного бокала сухого вина в неделю);
 - не принимать анаболические и другие опасные для здоровья препараты;
 - женщинам подобрать адекватные средства для контрацепции;
 - ограничить солёные и копчёные продукты;
 - составить ежедневный рацион так, чтобы организм получал достаточное количество витаминов и минералов (это благоприятно отразится на иммунной системе и её способности противостоять развитию любых опухолевых процессов).
 
Гиперплазия желудка
Гиперплазия слизистой желудка может быть лимфофолликулярной и полипоидной.
Лимфофолликулярная гиперплазия желудка – это разрастание клеток фолликулярного слоя слизистой желудка. Развивается такая гиперплазия желудка из-за гормональных нарушений, неправильной внутрисекреторной работы. Кроме этого, установлено, что гиперплазия желудка может возникать под действием продуктов тканевого распада, которые перестали разлагаться обычным способом, бластомогенных и канцерогенных веществ.
Полипоидная гиперплазия желудка часто развивается на фоне хронического гастрита, в т.ч. гастрита А, или после длительной запущенной инфекции Helicobacter pylori.
Лечение гиперплазии слизистой желудка обычно назначают медикаментозное, в некоторых тяжелых случаях, когда заболевание запущено, а также при полипоидной форме гиперплазии показано хирургическое лечение.
Симптомы гиперплазии щитовидной железы
Гиперплазия щитовидной железы – это значительное увеличение железы в размерах, не связанное с опухолевым процессом.
Неузловой зоб – так по-другому называется гиперплазия щитовидной. Сложно назвать точно причины, из-за которых развивается гиперплазия щитовидной железы. Нередко гиперплазия щитовидной провоцируется заболеваниями других важных внутренних органов, иногда гиперплазия щитовидной железы возникает сама по себе, без видимых причин.
Наиболее распространенные причины, вызывающие заболевание гиперплазия щитовидной железы: диффузно-токсический зоб, подострый тиреоидит, тиреоидит Риделя фиброзный, эндемический зоб. Часто развивается гиперплазия щитовидной под влиянием гормональных нарушений, спровоцировавших появление опухолей во внутренних органах. Нередко гиперплазия щитовидной железы сочетается с гипертиреозом, эутиреозом, гипотиреозом.
Гиперплазия щитовидной может быть равномерной, когда орган увеличивается пропорционально, или односторонней. Кроме этого, нередко гиперплазия щитовидной железы сопровождается образованием узелков и кист.
Гиперплазия щитовидной может менять плотность органа – железа может стать более плотной или наоборот, мягкой. В некоторых случаях гиперплазия щитовидной железы проявляется как сильное увеличение органа – в три или четыре раза.
Проявляется гиперплазия щитовидной следующим образом:
- железа на ощупь кажется увеличенной;
 - появляются неприятные ощущения в области щитовидной железы;
 - наблюдаются затрудненное дыхание, глотание, сдавленность в области шеи;
 - наблюдаются набухшие сосуды на шее. Этот симптом объясняется тем, что гиперплазия щитовидной железы вызывает давление железы на сосуды.
 
Лечится гиперплазия щитовидной как медикаментозно, так и хирургическим путем. Назначают лечение только после обследования у эндокринолога, анализа крови, ультразвукового обследования щитовидной железы. В том случае, когда гиперплазия щитовидной не запущена, и ее причиной стало гормональное нарушение, может помочь гормональная терапия. Если же гиперплазия щитовидной железы запущена, орган значительно увеличился, пациенту показана операция – резекция щитовидной железы.
Диагностика и лечение заболевания
ФОГ можно заподозрить на этапе пальпации – в этом случае ощущается крупная шишка. Однако этот метод не точен.
Наиболее достоверными способами диагностики считаются:
- ультразвуковое исследование брюшной полости больного;
 - магнитно-резонансная томография для более точного обследования заболевания пациента;
 - компьютерная томография проводится для уточнения собранных данных;
 - биохимический кровяной анализ;
 - биопсия печеночной ткани – специальным инструментом происходит забор образцов ткани для тщательного изучения под микроскопом;
 - другие лабораторные способы тестирования злокачественных образований.
 
Из всех методов диагностики наиболее верных два – магнитно-резонансная и компьютерная томографии.
Обследования позволяют с большей точностью определить возникновение опухолей и дифференцировать их от образований другого вида. Некоторые врачи рекомендуют пациентам открытую или лапароскопическую биопсию.
Лечение, как и диагностику, может проводить только специалист. Если заболевание протекает бессимптомно, а диагноз подтвержден на 100 %, то лечение не требуется.
Однако существует неутешительная статистика – злокачественное перерождение случается у 7 % пациентов с доброкачественным новообразованием.
Если ФНГ имеет доброкачественную основу, но при этом пациент принимает гормональные медпрепараты, то настоятельно рекомендуется отменить их употребление.
Это мера позволит не только предотвратить дальнейшее развитие опухоли, но в некоторых случаях способствует ремиссии.
Необходимо регулярно проводить обследование с помощью УЗИ и МРТ, которое поможет контролировать состояние новообразования.
В случаях увеличения размера опухоли или возникновения осложнений врачом может быть назначена резекция – удаление больного участка печени.
Видео:
Повода для особого беспокойства это не дает, так как у печени высокие восстановительные способности: в медицинской практике известны прецеденты полной регенерации печеночной ткани при удалении 65 % органа.
ФНГ – доброкачественное новообразование, однако есть риск его злокачественного перерождения. Жить с патологией можно, но необходимо постоянно проходить обследования для контроля опухоли. В крайних случаях врачом может быть проведена операция по удалению пораженного участка печени.
Особое лечение ОУГ не требует. Больному необходимо скорректировать рацион – исключить алкогольные напитки, сократить количество потребляемого белка, сладкого, жареного, острого и копченого.
Для профилактики заболевания рекомендуется проходить обследование в медицинском учреждении один раз каждые полгода.
Гиперплазия надпочечников
Гиперплазия коры надпочечников – врожденное заболевание, при котором у человека нарушается выработка гормона кортизола. Различными проявлениями известна эта гиперплазия. Симптомы варьируются в зависимости от того, какие гены затронуты. Могут наблюдаться олигоменорея, угри, повышенная утомляемость, бесплодие, гирсутизм. Кроме этого, гиперплазия надпочечников может быть заметна по лабораторным показателям:
- небольшое повышение уровня тестостерона;
 - умеренное увеличение уровня сульфата ДГЭА;
 - увеличение уровня гормона предшественника кортизола – 17-гидроксипрогестерона.
 
Гиперплазия надпочечников диагностируется при обследовании у эндокринолога: после анализа крови на содержание гормонов, осмотра пациента, сбора анамнеза.
Популярные статьи на тему гиперплазия печени что это такое
Читать дальше
Гепатология
Нецирротический фиброз печени. Обзор литературы, клиническое наблюдение
Нецирротический фиброз печени (первичный гепатопортальный склероз) известен также под названиями идиопатическая портальная гипертензия, или нецирротический портальный фиброз.
Читать дальше
Онкология
Применение цимицифуги рацемозы (Климадинона) для лечения приливов у женщин, страдающих раком молочной железы
В период менопаузы прекращается выработка женского гормона – эстрадиола. Его место занимает менее активный гормон – эстрон. Это приводит к увеличению в сыворотке крови уровней ФСГ, ЛГ и нарастанию вегетососудистых (приливы, потливость, сердцебиение) и…
Читать дальше
Кардиология
Артериальная гипертензия и атеросклероз
Конец XX века ознаменовался не только интенсивным развитием представлений о патогенетических основах артериальной гипертензии (АГ) и атеросклероза, но и критическим пересмотром многих причин, механизмов развития и лечения этого заболевания.
О…
Читать дальше
Акушерство, гинекология, репродуктивная медицина
Аменорея
Аменорея – это нарушение менструальной функции, которое сопровождается отсутствием менструаций на протяжении 6 мес и более. Частота аменореи в популяции составляет 3,5%, а в структуре нарушений МЦ и репродуктивной функции – до 10%.
Читать дальше
Аллергия
Клиническая эффективность блокаторов Н1-гистаминовых рецепторов. Роль Аллертека в лечении аллергических заболеваний
Давно известно, что гистамин — это мощный химический медиатор, который дает широкий спектр эффектов при различных воспалительных и иммунологических заболеваниях.
Через H1-рецепторы опосредовано его участие в реакциях воспаления, в немедленных…
Читать дальше
Кардиология
Квадроприл (спираприл) в лечении артериальной гипертензии
Количество больных с артериальной гипертензией растет из года в год. Это обусловлено, прежде всего, повышенным воздействием неблагоприятных факторов внешней среды на психоэмоциональное состояние человека. В последние годы наблюдается также рост…
Читать дальше
Маммология
Дисгормональные гиперплазии молочных желез: этиология, клинические формы, принципы терапии
Рак молочной железы является грозным недугом и занимает первое место среди причин смерти от онкологических болезней у женщин детородного возраста.
Читать дальше
Гепатология
Основные причины кровотечений при заболеваниях печени
Портальная гипертензионная гастропатия, варикоз вен желудка и пищевода, сосудистая эктазия антрального отдела желудка – важнейшие причины, приводящие к развитию кровотечений при различных заболеваниях печени.
Читать дальше
Гастроэнтерология
Диагностика и лечение заболеваний органов пищеварения. Синдром раздраженного кишечника МКБ-10: K58. Алкогольная болезнь печени МКБ-10: К70
Синдром раздраженного кишечника – расстройство моторной и секреторной функции кишечника, преимущественно толстой кишки, без структурных изменений органа.

Comments
(0 Comments)