ФЛЕБОЛИТЫ
Методы диагностики и лечения
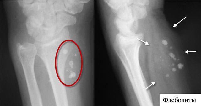
Для того, чтобы выявить кальцификаты в венах, требуется проведение специфических исследований.
Рентгенограмма, как метод диагностики, подразумевает получение постоянного негативного изображения исследуемого объекта на пленке с помощью рентгеновского излучения. Часто этот способ называют просто «рентгеновский снимок».

На фото видно, как выглядят флеболиты малого таза на МРТ
При проведении рентгенограммы флеболиты вен обнаруживаются в качестве множественных теней. Чтобы отличить венозные камни от конкрементов (камней плотной структуры), специалисты исследуют не только структуру и форму образований, но и место их расположения.
Лечение в данном случае носит традиционный характер: хирургическое вмешательство целесообразно в редких случаях, когда образования имеют большие размеры и затрудняют естественный кровоток.
Перед тем, как начинать лечение, специалист должен определить причину появления кальцификатов.
Целью терапии является устранение застоя крови в местах локализации камней в венах (преимущественно – в области нижних конечностей и малого таза). Лечение флеболитов подразумевает прием разжижающих кровь препаратов и выполнение упражнений из комплекса лечебной гимнастики.
Часто в качестве медикаментозного средства при кальцификатах используется Аспирин, но только после того, как проведены диагностические мероприятия. Этот препарат разжижает кровь и снижает воспалительный процесс в венах.
Гимнастические упражнения должны быть подобраны с учетом того, чтобы проблемные участки активно разрабатывались, но в то же время не перегружались.
Выполнение таких простых упражнений, как «березка», «ножницы» и «велосипед» обеспечивает прилив крови, а это, в свою очередь, ликвидирует застойные процессы. Также при наличии флеболитов рекомендуют выполнение упражнений, которые выполняются при варикозном расширении вен. Полезны продолжительная ходьба и легкий бег.
Также терапия подобной патологии подразумевает ношение компрессионного белья. С его помощью избыток давления в сосудах органов малого таза и нижних конечностей устраняется, что благоприятно воздействует на общее состояние вен.
Класс компрессии лечебного белья определяется специалистом, который руководствуется результатами диагностических исследований и общим состоянием пациента.
Диетотерапия – неотъемлемый элемент терапии флеболитов. Пациенту рекомендуют отказаться от продуктов, насыщенных холестерином, а также жирных, острых и соленых блюд.
Здоровый сон – как минимум 8 часов в сутки – также пойдет на пользу и поможет справиться с последствиями образования кальцификатов в венах.
Можно сделать вывод, что лечение флеболитов очень схоже с методами терапии заболеваний венозной системы. И действительно, оно направлено на устранение целого комплекса проблем, затрудняющих естественный кровоток.
Хотя кальцификаты характеризуют как безопасные образования, они все же являются сигналом отклонений в работе венозной системы
Именно поэтому с их проявлениями важно бороться своевременно и активно
Помощь при болезнях вен.
Симптоматика заболевания
Заподозрить у себя наличие флеболитов не всегда просто. Их проявления зависят от того, в какой части организма находятся камни.
Например, если флеболиты появились в области малого таза у женщины, она может испытывать симптомы стандартных гинекологических заболеваний. К ним относятся:
- внезапное появление сосудистой сетки на ягодицах и бёдрах;
- дискомфорт и боль в животе во время половой близости;
- боль внизу живота во время длительного стояния на ногах;
- нерегулярный менструальный цикл;
- увеличение обильности половых выделений.
Многие ошибочно полагают, что камни в малом тазу отражаются на пациентах изнуряющей, острой болью.
Однако, в отличие от почечных или жёлчных отложений, этого не происходит. Флеболиты как отдельное явление даже не несут в себе опасности для больного.
Обратите внимание! Недостаточно яркая клиническая картина может повести диагностику заболевания по ложному пути. Особенно бдительными нужно быть в тех случаях, если у пациента уже имеются патологии половой системы

Основные виды флебита
Самой распространенной формой этого заболевания является, без сомнения, тромбофлебит. Равно, как и самой опасной: образовавшиеся на месте воспаления сгустки крови – тромбы – могут оторваться, закупорить легочную артерию и привести к летальному исходу. Помимо основных причин возникновения, подобное заболевание проявляется в случае слабого тонуса сосудов, а также при повышенной вязкости крови. Нередко в эту форму переходит обычный острый флебит глубоких вен.
Церебральный флебит – это форма заболевания, при котором поражаются сосуды головного мозга. Причиной подобного воспаления практически всегда является инфекция. Другой формой этой болезни, локализирующейся на голове человека, является флебит на лице. Его причиной может послужить гнойное воспаление – абсцесс, флегмона, возникшие в результате какой-либо инфекции.

Постинъекционный флебит с тромбозом вены
Постинъекционный флебит – это отдельная категория, поскольку возникает она исключительно в качестве реакции на введенный медицинский препарат. Это может быть сугубо механическое раздражение стенок вены, а может быть также воспаление в результате химических свойств введенного вещества. В частности, этот, так называемый кубитальный флебит, иногда используется на благо медицине: при процедуре склеротерапии в сосуд намеренно вводится раздражающий реагент, который провоцирует развитие этого заболевание, и, как следствие, склеивание стенок сосуда.
Мигрирующий флебит – это длительная форма воспаления. При этом, поверхностный флебит поражает вены верхних и нижних конечностей, периодически проявляясь рецидивами. Этой форме болезни подвержены чаще всего молодые мужчины. Нередко помимо вен воспаление охватывает также артерии.
Флебит воротниковой вены – еще одно часто встречающееся заболевание этого рода. Оно охватывает самую крупную из вен брюшной полости. По-другому его называют также пилефлебитом.
Как избавиться от конкрементов
Флеболиты, сформировавшиеся на месте тромбов в сосудах органов, расположенных в малом тазу, не мешают нормальной циркуляции крови. Обычный размер конкремента намного меньше, чем просвет сосуда, в котором он находится. Они никак не влияют на состояние здоровья пациента, поэтому не требуют специального лечения. А вот болезни, которые приводят к образованию венозных камней в малом тазу, подлежат планомерной, постоянной терапии. Назначить такое лечение может только доктор. Это может быть гинеколог, флеболог, гематолог, терапевт. Слишком разные заболевания формируют повышенную свертываемость, застой крови в малом тазу, слишком разные препараты используют для лечения этих болезней.
Флеболиты не влияют на здоровье человека.
Хирургическим способом удалять венозные камни не стоит. Такая необходимость может возникнуть только при больших размерах камня, когда он перекроет просвет вены. Но окончательное решение о целесообразности оперативного лечения примет врач.
И точно не стоит пользоваться «народными методами», рассасывающими камни. Представьте, что флеболит – небольшой кусочек гравия. Чем его можно рассосать? Использование сомнительных рецептов, лечение флеболита, а не причины, приведшей к его образованию, может нанести непоправимый вред здоровью, вызвать обострение хронических заболеваний, привести человека на больничную койку.
Совет для носителей конкрементов
Людям, у которых нашли флеболиты, можно посоветовать только одно: чаще посещайте докторов, не занимайтесь лечением самостоятельно. Хотя бы раз в полгода проходите профилактические осмотры. Выполняйте аккуратно все назначения врача и его рекомендации. Кроме пациента, никто не сможет позаботиться о его здоровье.
Из этой статьи вы узнаете: что такое флеболиты, почему они появляются и нуждаются ли в лечении.
Флеболит – это производное от слов «флебос» (вена) и «литиаз» – камнеобразование. В результате получается «венозный камень». Это наиболее точное определение флеболитиаза. Флеболитами называются венозные тромбы, в силу разных причин образовавшиеся на внутренних стенках вен и за свое длительное существование пропитавшиеся солями кальция. Такой итог часто постигает фиксированные венозные тромбы, поскольку организм, окружая инородное тело плотной капсулой из солей кальция, пытается изолировать его от кровотока. Этот процесс носит название флеболитиаз.

Образование флеболитов может идти в любых достаточно крупных венозных сплетениях, однако чаще всего их находят в венах малого таза. В этой статье мы будем рассказывать про данные образования в целом на примере флеболитов вен малого таза. Подобные образования можно встретить также в венозных стволах нижних конечностей и внутренних органов.

Размер флеболитов обычно мелкий (в пределах 1–5 мм), чаще всего они округлой формы, плотные, как камень, прикрепленные к стенке вены. Редко можно встретить подобные образования размерами более 10 мм.

Флеболитиаз вен малого таза – чаще всего «женское» состояние, у мужчин эти образования в малом тазу встречаются значительно реже.
Часто обнаружение флеболитов – совершенно неожиданная находка при рентгенологических или томографических исследованиях, реже их можно обнаружить при ультразвуковых исследованиях. Обычно подобные образования являются случайным открытием и никак не беспокоят пациента. Называть флеболитиаз заболеванием в корне неверно, поскольку это явление совершенно безопасно.
Сами по себе флеболиты не нуждаются в лечении, поскольку ничем не беспокоят пациенток. Хоть такие «камешки» и являются инородным телом в сосуде, но обычно просвет вены сохранен, и кровь нормально течет в таких сосудах.
Локализация флеболитов в малом тазу
Химический состав флеболитов и конкрементов мочеточников идентичен, что придает им такую же плотность тени на рентгенограммах.


Локализация камней семенных канатиков и флеболитов совпадает, что затрудняет их дифференциацию.
Образование флеболитов в малом тазу у женщин и мужчин имеет много общего.

- Нарушение гемодинамики, застойные явления становятся пусковым механизмом для развития варикозного расширения вен. Ссохшиеся тромбы как остаточные явления после перенесённого тромбофлебита являются основой для формирования венных камней.
- Наследственная предрасположенность к развитию сосудистых заболеваний может стать причиной образования флеболитов в сосудах малого таза.
- Гиподинамия становится очень распространенной причиной многих системных заболеваний, таких как варикозное расширение вен малого таза, ожирение.
- Воспалительные процессы в организме служат предпосылкой для развития и формирования венных камней, это такие заболевания как цистит, простатит.
- Беременность и роды изменяют положение вен. Беременность может провоцировать изменение положения флеболитов в сосудах и развитию скоплений их, что может сопровождаться болевыми симптомами.
- Поднятие тяжестей приводит к нарушению гемодинамики.
Выраженной ли является симптоматика, когда образуются флеболиты в малом тазу? Что это такое за образование, которое при разрастании их до размеров просвета сосуда, может сопровождаться болевыми симптомами? Проблемы, возникающие при образовании камней в малом тазу, могут быть и неявными, нехарактерными для этой патологии. Проявление патологии возможно при увеличении их количества в просвете сосуда и препятствовании току крови по сосуду.
Сочетание симптомов, характерных для флеболитов, выражаются для женщины в задержке менструального цикла и выделениях из влагалища, сосудистых звездочках в области таза и дискомфорте, боли при длительном стоянии и нахождении в вертикальном положении.
Возрастные и гендерные показатели флеболитов характерны для женщин в более раннем возрасте, чем для мужчин. Но в возрасте от 50 лет и старше показатели их уравниваются почти наполовину.
Комплексное воздействие при лечении флеболитов подразумевает лечебно-профилактический комплекс гимнастики, компрессионное белье и прием лекарственных средств.


Питание при заболеваниях сосудов направлено на укрепление венозных стенок, нормализацию тока крови и ее разжижение. Употребление овощей и фруктов с содержанием витаминов и кверцетина, рутина способствуют разжижению крови и улучшают общее состояние иммунной и сердечно-сосудистой системы. Овощи содержат витамины и микроэлементы, клетчатку, полезные для сосудов, их можно употреблять в любом виде. Следует воздержаться от овощей, содержащих крахмалистые вещества и повышающих уровень сахара в крови. Фрукты и ягоды, такие как яблоки, черешня, вишня, шиповник, содержащие витамин С и К, очень полезны при плохой свертываемости крови и как антиоксиданты. Следует избегать частого употребления дынь и арбузов, которые содержат очень большое количество жидкости и сахаров. Растительные масла, содержащие омега-кислоты, обладают венотонизирующим действием, содержат витамин Е. Питьевой режим должен состоять из воды, натуральных разбавленных соков.
Не рекомендуется употреблять сдобу, кондитерские изделия, жирную и жареную пищу, копчености, соления и алкоголь.
Лечение народными средствами флеболитов малого таза подразумевает профилактику их образования и направлено на борьбу с варикозным расширением вен малого таза.

Травяная ванна. Для ее приготовления необходимо взять:
- по 500 грамм веток дуба, каштана и ивы;
- по 200 грамм цветков ромашки аптечной, травы сушеницы, зверобоя, череды.
Ветки положить в эмалированное ведро и залить холодной водой, поставить на огонь и довести до кипения, кипятить в течение получаса. К отвару добавить цветки и траву и оставить настаиваться на ночь. Перед принятием ванны следует выдержать на пару 3 буханки хлеба из ржаной муки и вылить их в ванну вместе с отваром. Температура воды должна быть 38–43 градуса, и время ее принятия — 40 минут. Ванну делают перед сном.
Лечебный отвар. Ингредиенты:
- по 1 ст. л. измельченных веток дуба, каштана, ивы;
- по 1 ст. л. травы зверобоя, сушеницы, череды и цветков ромашки аптечной.
Измельченные ветки заливаются 1 литром кипятка и ставятся на медленный огонь на полчаса. Отвар остужают до 70 градусов и вводят траву и цветки, оставляют на 12 часов. В процеженный отвар добавляют 2 ст. л. меда. Принимают отвар 3 раза в сутки по схеме: 2 дня – 50 мл, затем еще 2 дня по 100 мл и с 5-го по 20-й день по 150 мл. После этого сделать перерыв в течение 5–7 дней и повторить снова тем же курсом.
Симптомы наличия камней в малом тазу, мочевом пузыре, почках, мочеточнике
Наличие венного камня не нарушает движение крови, так как в большинстве случаев они не превышают 5 мм. В венозных сплетениях они могут быть множественными, напоминать виноградную гроздь, их количество иногда доходит до 100 и более штук. По структуре встречаются однородные образования и слоистые, когда чередуется отложение волокон соединительной ткани и кальция.
Жалобы пациентов напрямую не связаны с флеболитами. Наличие хронических тазовых болей, тяжести внизу живота или интенсивных маточных кровотечений может быть объяснено варикозным расширением вен (фоновой болезнью).

Проблемы возникают при обнаружении таких образований на рентгенограмме. Так как плотность, форма, размер, расположение флеболита и камней в мочевыводящей системе идентичны, то нужно знать отличительные признаки этих заболеваний:
- Камень мочевого пузыря проявляется частыми и болезненными позывами на мочеиспускание, боли отдают в половые органы или бедра, при присоединении инфекции возникает цистит.
- Камешки мочеточников вызывают сильную и внезапную боль после физического напряжения, ходьбы или приема жидкости в большом количестве. Длительность приступа может быть до нескольких суток, он сопровождается тошнотой, задержкой мочи и стула, чувством давления в области мочевого пузыря.
- Почечные конкременты не проявляются, если их локализация не препятствует выделению мочи. При продвижении по лоханке или мочеточнику развивается почечная колика с ознобом, общей слабостью и интенсивной болью. Мелкие камешки могут после приступа выйти, а крупные блокируют отток мочи, может потребоваться оперативное удаление.
Лечение флеболитов
В очень редких случаях флеболит нужно удалить, так как он перекрывает просвет сосуда, или его продвижение создает угрозу эмболии. Медикаментозного лечения, позволяющего растворить камни в венах, не существует. Поэтому проводится терапия основной болезни, которая привела к тромбозу венозной сети, а также необходимо соблюдать рекомендации для предотвращения прогрессирования варикозной болезни. К ним относятся:
- занятия лечебной гимнастикой, плаванием, полезна езда на велосипеде;
- исключить ношение тяжестей (свыше 7 кг);
- в период беременности использовать поддерживающие бандажи, компрессионный трикотаж;
- при первых признаках заболевания вен обратиться к флебологу, пройти курс лечения венотониками;
- перед использованием гормональных контрацептивов проверить свертывающую активность крови, при необходимости применять антиагрегантную и антикоагулянтную терапию.
Флеболиты таза представляют собой кровяной сгусток, который со временем превратился в камень за счет пропитывания солями кальция. Чаще всего не дает клинической симптоматики, обнаруживается у женщин при прохождении рентгенологического обследования. Внешний вид таких образований нередко ошибочно расценивается как камень мочеточника, почек или мочевого пузыря.
Для дифференциальной диагностики назначают урографию с контрастным веществом, УЗИ, анализы крови и мочи. При обычном течении флеболиты лечить не нужно, удаление проводится только при закупорке сосуда.
Флебит нижних конечностей
Флебит характеризуется воспалением стенки венозного сосуда. При поражении оболочки вены снаружи развивается перифлибит нижних конечностей, внутренней оболочки – эндофлебит, а воспалительный процесс, который захватывает все сосудистые оболочки, вызывает панфлебит.
Как правило, перифлебит отмечается у больных в тех случаях, когда воспалительный процесс переходит на венозную стенку из окружающих её тканей. Для возникновения эндофлебита характерно наличие травмы самой вены и повреждения её внутренней стенки в основном после длительного пребывания катетера или иглы в сосуде во время проведения инфузий, а также после введения растворов гипертонического свойства.
На возникновение флебита нижних конечностей существенное влияние оказывает варикозная болезнь с её осложнениями. В основном это заболевание протекает в сопровождении тромбофлебита. А без назначения необходимого лечения развиваются осложнения в виде трофических язв или абсцесса. Процессы воспаления вен могут быть вызваны различными видами возбудителей, но чаще всего инфекционным агентом выступает стрептококк. Кроме того, флебит нижних конечностей иногда развивается в результате химического ожога венозного сосуда.
В некоторых случаях флебит формируется искусственно. Это относится, например, к склеротерапии, которая применяется для лечения варикозной болезни и основана на том, что в вену вводится особое вещество, вызывающее асептический флебит, в результате которого склеиваются венозные стенки.
Основная симптоматика флебита нижних конечностей складывается из боли и гиперемии кожных покровов по всей поражённой вене. Это, как правило, отмечается на начальном этапе заболевания и при поражении поверхностных вен. Во время пальпирования поражённой и воспалённой вены можно обнаружить плотного характера болезненный на ощупь тяж или инфильтрат, который свидетельствует о вовлечении в процесс воспаления значительной части подкожной клетчатки.
Очень часто флебит способствует возникновению тромбофлебита и таких осложнений, как эмболии септического характера, абсцессы и др.
Флебит нижних конечностей может поражать вены, локализующиеся на поверхности и те, которые расположены достаточно глубоко. При остром течении поверхностного флебита поражённая вена вызывает болезненность, и она несколько напряжена. Кожа над воспалённой веной уплотняется и становится красного цвета, поэтому можно наблюдать местную гипертемию. Иногда появляются красные полосы вдоль поражённых вен, повышается температура и больной чувствует себя разбитым. При хроническом флебите подкожных вен симптоматическая картина несколько сглажена, а возникновение рецидивов характеризуется периодическим обострением заболевания.
Острый флебит глубокорасположенных вен проявляется общей гипертермией, болями и отёками в области воспалительного процесса. Кожа приобретает молочно-белую окраску с характерными уплотнениями и покраснениями в местах поражения. Как правило, острая форма флебита нижних конечностей глубокорасположенных вен характеризуется осложнениями в виде тромбов с дальнейшим переходом в остро протекающий тромбофлебит.
Для церебрального флебита характерна головная боль, повышение АД и неврологическая симптоматика. А вот пилефлебит представляет собой выраженную картину гнойной интоксикации. В этом случае больной чувствует себя очень плохо с появлением слабости, рвоты, боли в голове, схваткообразных режущих болей в правой части под рёбрами и нарастающей желтухи. Затем отмечается гектического характера лихорадка, которая сопровождается обильным потоотделением и ознобом. Кроме того, появляется опасность возникновения летального исхода. У некоторых больных этот флебит переходит в хроническую форму с развитием в дальнейшем печёночной и почечной недостаточности.
Опасность флебита нижних конечностей состоит в развитии тромбофлебита, тромбоза поражённого венозного сосуда, ТЭЛА и ХВН, а также абсцесса и флегмоны.
Основным лечением флебита считается консервативный метод терапии. При этом местно применяются компрессы с Троксевазином, Гепарином и физиотерапевтические процедуры. Кроме того, применяются противовоспалительные препараты, такие как Реопирин, Бутадион, Аспирин, а также те, которые нормализуют трофику венозного сосуда (Курантил, Гливенол, Трентал, Эскузан).

нижних конечностей флебит фото
Выводы
В целом же, чтобы подвести итоги, можно вывести следующие тезисы:
- Флебит – заболевание без возраста и пола. Оно с равной вероятностью может возникнуть у молодых и пожилых, мужчин и женщин.
- Основной причиной флебита является инфекция. В этом случае заболевание может поразить практически любую часть тела.
- Варикозное расширение вен является частым спутником этой болезни.
- Одной из самых серьезных форм флебита является тромбофлебит. Он может спровоцировать обрыв тромба и привести к летальному исходу. В это заболевание может перерасти любая из обычных форм флебита.
- Симптомы флебита зависят в первую очередь от того, какие именно сосуды поражены. Различают поверхностную и глубинную формы. Также заболевание может протекать в острой и хронической форме. Общими для всех видов являются такие признаки, как головные боли, повышение температуры тела, общая слабость, а также гипертермия пораженного участка тела.
- Лечение флебита осуществляется медикаментозно, а также при помощи профилактических мероприятий.
Воспаление стенок вен – это крайне неприятное, но к счастью, поддающееся лечению заболевание. Если не запускать его течение и своевременно обратиться к специалисту соответствующего профиля – флебологу – оно не доставит слишком серьезного вреда организму, не станет преградой высокому качеству жизни пациента, и быстро излечится при помощи достаточно простых мероприятий.

Comments
(0 Comments)