Арахноидальная киста
Лечение
Поскольку «существование» архоидальной кисты обычно бессимптомно (даже на протяжении всей жизни пациента), никакого лечения не проводится
Арахноидальные кисты позвоночника со временем не исчезают, поэтому важно, чтобы пациенты, в том числе дети до подросткового возраста, находились под диспансерным наблюдением у невролога, проходили контрольные обследования методом МРТ. Специальное лечение потребуется лишь при обнаружении кифосколиоза либо просто сколиоза, а также сопутствующих им осложнений. Конкретный алгоритм и протяженность лечебного курса в каждом конкретном случае определяется в индивидуальном порядке
Декомпрессию проводят часто методом дренирования – используя метод игольной аспирации (под местной анестезией) с применением компьютерного томографа (контроль введения иглы).
Оперативное лечение показано в следующих случаях:
- Боли в поясничном и крестцовом отделах позвоночника, иррадиирующие иногда в область ягодиц и нижние конечности;
- Наличие кисты в этих отделах позвоночника, подтвержденное данными МРТ;
- Недостаточность проводимого медикаментозного лечения.
Противопоказания к операции (аспирации):
- Воспалительные процессы на участке планируемой операции;
- Непереносимость местной анестезии.
Игольная аспирация имеет ряд преимуществ по сравнению с другими методами:
- Болевой синдром уменьшается в ближайшее после процедуры время.
- Сокращается прием обезболивающих медикаментов.
- Процедура длится не более 10 минут.
- Трудоспособность пациента восстанавливается в кратчайшие сроки.
Арахноидальную кисту позвоночника можно лечить и консервативно: физиопроцедурами, электрофорезом, гирудотерапией. Нейрохирурги, неврологи (и ученые, и практики) отмечают, что улучшение состояния больного всегда связано с использованием для его лечения комплексных методов, а также с постоянной заботой об иммунной системе.
Cоветуем прочесть:
- Киста позвоночника ее лечение и диагностика
- Периневральная киста позвоночника раскрывает секреты
- Ликворная киста позвоночника: причины, симптоматика и лечение
- Появилась киста позвоночника — лечение народными средствами может Вам помочь
- Вертеброгенная дорсопатия: разорвать порочный круг
Заболевания позвоночника
- Позвоночник человека
- Артроз позвоночника
- Грыжа Шморля
- Опухоль позвоночника
- Гемангиома позвоночника
- Остеохондроз
- Грыжа позвоночника
- Болезнь Бехтерева
- Межрёберная невралгия
- Ишиас
- Дорсопатия
- Киста позвоночника
- Спондилез
- Хондроз
- Травмы позвоночника
- Cпондилолистез
- Спондилоартроз
- Боли в спине
- Искривление
- Еще материалы
Лечение ликворной кисты задней черепной ямки
Исходя из размеров, факторов, способствующих формированию новообразования, проводят консервативное лечение или хирургическое вмешательство. Терапия заключается в использовании иммуномодулирующих и иммуностимулирующих медикаментозных средств, а также антибактериальных, противовирусных препаратов и лекарств, восстанавливающих кровоток. Народные способы не помогут излечиться от арахноидита, но некоторые методы нетрадиционной медицины в сочетании с лекарственными препаратами способствуют нормализации кровотока, питанию тканей головного мозга, устранению очага воспаления.
Если консервативное лечение не принесло результатов, киста быстро прогрессирует, врач рекомендует удалять арахноидальное кистозное образование. Необязательно, что хирургическое вмешательство проводится после лечения препаратами. Есть случаи, когда требуется неотложная оперативная помощь:
- вероятность разрыва кисты;
- признаки эпилепсии, судороги;
- повышенное внутричерепное давление;
- усиленная симптоматика.
Операция проводится тремя методами:
- Трепанация черепа — радикальная операция, когда опухоль удаляется из задней ямки через отверстие в костной ткани черепа. Метод используется в редких случаях, постоперационное восстановление длительное и сложное, возможны осложнения.
- Дренирование — содержимое кисты выкачивается через дренажную трубку с помощью игольной аспирации. Способ также считается опасным, так как возможно инфицирование.
- Шунтирование — создается дренаж, через который происходит отток жидкий массы из кисты;
- Эндоскопия — используется при небольших кистозных образованиях, риск осложнений минимальный. Содержимое новообразования выкачивается при помощи проколов.
Если своевременно не заняться лечением ликворной кисты, это чревато осложнениями и тяжелыми последствиями. Новообразование большого размера давит на головной мозг, что опасно нарушением зрения, речи, слуха, памяти, умственными способностями. Прорыв капсулы влечет за собой летальный исход.
Если появились симптомы, свидетельствующие о заболевании, необходимо посетить врача, который проведет диагностику и назначит эффективное лечение. Чем раньше обнаружится патология, тем оптимистичнее будут прогнозы.
Киста головного мозга причины возникновения.
Киста возникает по разным причинам, но механизм ее образования схож во всех случаях. Спинно-мозговая жидкость циркулирует в тканях спины и головы, защищая нервные клетки от любых механических воздействий, повреждений, воспалений. Иными словами, какая бы проблема не возникла с нервными клетками или мозговым веществом, образуется приток этой жидкости к поврежденному участку. Церебро-спинальная жидкость способствует его заживлению и защите. Но слишком обширный поврежденный участок тканей черепа или нарушенное кровообращение вызывают ее скопление. Так организм старается восполнить утраченную ткань, замещая ее жидкостью. Что и приводит к кисте.
Основными причинами возникновения кисты являются:
- Врожденные патологии.
- Последствия родовой асфиксии.
- Ушиб головного мозга, перелом костей черепа.
- Паразитарные поражения мозга.
- Энцефалопатия головного мозга и менингоэнцефалит.
- Менингит.
- Дегенеративные и тканей мозга.
- Ишемия и гипоксия головного мозга.
Не обнаруженная вовремя киста может увеличиться в размерах и привести к еще более тяжелым последствиям в результате. Обычно причинами ее увеличения становятся:
- Не пролеченное вовремя воспаление оболочек головного мозга;
- Последствия ушиба головного мозга;
- Ишемия, нарушенное кровообращение;
- Не долеченные инфекционные заболевания мозга.
Симптомы кисты головного мозга.
Размеры кист мозга варьируются в довольно широком диапазоне. Небольшая киста в большинстве случаев не провоцирует каких-либо симптомов, и обнаруживается только при исследовании головного мозга посредством УЗИ, МРТ и т.д. А образования крупных размеров создают давление на ткани мозга и его оболочки, вызывая ряд симптомов у пациента. Их список довольно обширен, поскольку симптоматика зависит от того, на какой именно участок мозга давит киста:
- Снижение слуха и ухудшение зрения;
- Приступы головной боли, которая не проходит после приема таблеток;
- Ухудшение координации движений и ориентирования в пространстве;
- Паралич или онемение рук и ног;
- Эмоциональная неустойчивость, неврозы, нервные срывы, приступы гнева;
- При большой кисте возможно возникновение серьезных психических отклонений – частичная потеря памяти, развитие слабоумия;
- Судороги в мышцах;
- Шум в голове, звон в ушах;
- Обмороки;
- Снижение осязательной способности кожи;
- В голове ощущается биение пульса;
- Беспричинная тошнота и рвота, после которой не происходит облегчения;
- Чувство «сдавленности» в голове;
- У младенцев можно прочувствовать сильную пульсацию сквозь родничок.
Итак, симптоматика определяется тем, в каком образовалась киста, а также тем, на какую его область она оказывает давление. Каждый участок мозга отвечает за определенный ряд функций в организме. При давлении на участок кисты возникает ишемия, теряется его способность нормально работать.
Так, например, сдавленный кистой мозжечок не выполняет в полной мере свою функцию, ухудшается работа вестибулярного аппарата: человек подвержен потере равновесия, головокружению. Если давление оказывается на гипоталамус, то нарушается обмен веществ, могут пропасть такие ощущения, как чувство насыщения или голода, жажды. Если сдавлена центральная часть мозга — таламус, то возможны онемения, глухота, слепота, потеря вкусовых ощущений, поскольку она отвечает за восприятие информации от органов чувств. То же происходит и с другими участками мозга под давлением кисты: их работа прекращается частично, или даже полностью. Большие кисты могут вызывать серьезные проблемы в работе организма, вплоть до вегетативного состояния, параличей, слабоумия.

Подробная схема строения мозга.
Слово эксперта о симптомах, причинах и диагностике кисты:
Ретроцеребеллярная арахноидальная киста мозга
В большинстве случаев ей свойственно увеличение в размерах, что наносит урон здоровью человека, вплоть до наступления смерти.
Ретроцеребеллярная киста, являющаяся доброкачественным образованием, имеет свойство сильно разрастаться, чем опасна, так как оказывает влияние на соседние участки мозга, нарушая их нормальное функционирование, меняя их структуру.
Разновидности и причины возникновения
Существуют два больших вида причин доброкачественных новообразований – это врожденные (первичные) и приобретенные (вторичные).
Первые, как правило, формируется в процессе пребывания плода в утробе матери, вследствие патогенных влияний, а вторые являются результатом различных болезней и механических травм головы.
От причины возникновения зависит разновидность опухоли. Принято выделять две группы — ретроцеребеллярная арахноидальная киста и ретроцеребеллярная ликворная.
Первая внутри содержит жидкость и локализуется между оболочками мозга, поражая его вещество и паутинную оболочку.
Данный вид, как правило, образуется вследствие черепно-мозговой механической травмы, воспалений в мозге, превышающего норму внутреннего черепного давления.
Существующих факторов, способствующих быстрому росту такого новообразования очень много, включая увеличения давление внутри самой кисты, различные воспаления в мозге, а также даже может стать обычное переутомление.

Первая проявляется вследствие патогенных процессов в период нахождения ребенка в утробе, а приобретенная может возникнуть после перенесенных черепно-мозговых травмах или воспалений головного мозга.
При этом, арахноидальная полость наиболее быстро развивается при повторных повреждениях головы, имеющихся инфекционных болезней мозга (менингит, энцефалит и другие), а также при повышении давления внутри ее.
Ретроцеребеллярные образования головного мозга могут разделяться в зависимости от их месторасположения внутри его. Выделяют:
Кроме того, классифицировать новообразования, рассматривая с точки зрения локализации, можно на такие, как нижняя ретроцеребеллярная арахноидальная киста, образование задней черепной ямки, верхняя.

Симптомы образования и диагностика
Проявления новообразования зависят от его месторасположения, размеров, интенсивности роста. Зачастую проявляется не один симптом, а их совокупность
При этом важно знать, что если образование маленьких размеров, ее появления может проходить бессимптомно
К симптоматике относят изменение психоэмоционального фона человека, которое выражается апатией, безнадежностью, бессонницей, слабостью, нарушением мышления.

Данные обследования нужны не только для обнаружения такого новообразования, но и для установления причины послужившей для ее возникновения, назначения верного курса терапии.
Следует знать, что ретроцеребеллярная киста ни увеличивающая и ни проявляющая никаких симптомов не нуждается в лечении. Нужно только постоянное наблюдение за ней, чтобы при ее увеличении вовремя это обнаружить. Человек с таким новообразованием может прожить с ним всю жизнь, при этом оно никак не воздействует на его процесс нормальной жизнедеятельности.
А вот увеличивающиеся новообразование обязательно нуждается в терапии, причем зачастую путем оперативного вмешательства.
При любом обнаруженном образовании необходима срочная консультация невролога. Назначать себе лечение самим категорически запрещено, так как данная болезнь достаточно серьезная.
Лекарственные средства назначаются для устранения причины, вызвавшей образование, например, при инфекционных заболеваниях применяют препараты, действенные в терапии данных заболеваний, то есть противовирусные, антибактериальные.

Операция необходима, если киста в своих размерах достигла 1 см и более, если менее, хирургического вмешательства обычно пытаются врачи избежать.
Оперрации подразделяется на три вида согласно способу устранения кисты: трепанация, шунтирование, эндоскопия.
Любое вмешательство — большой стресс для организма человека, после которого следует долгий курс реабилитации. Лучше всего в этот период не только применять назначенные врачом лекарства, но и вести правильный образ жизни.
Прогноз заболевания во время обнаруженной кисты и принятыми мерами лечения достаточно благоприятный. После курса реабилитации человек сможет вести нормальный образ жизни. Но при запущенной болезни не исключен летальный исход.



- Контакты
Информация на сайте предоставлена исключительно в популярно-ознакомительных целях, не претендует на справочную и медицинскую точность, не является руководством к действию. Не занимайтесь самолечением. Проконсультируйтесь со своим лечащим врачом.
Факторы развития арахноидальной кисты
Причины образования кисты в задней черепной ямке могут быть самыми разнообразными, но чаще всего патология формируется из-за следующих факторов:
- поражение головного мозга, ведущее к воспалению (энцефалит, менингит);
- врожденное отсутствие отростков нервных клеток;
- частичное отсутствие сплетения нервных волокон;
- черепно-мозговые травмы, полученные механическим путем;
- хирургические вмешательства на головном мозге;
- синдром Марфана — наследственная патология, характеризующаяся недостаточностью соединительной ткани.

Также арахноидит является следствием таких перенесенных инфекционных болезней как грипп, ветрянка, цитомегаловирус, корь и гнойных хронических воспалений, местонахождение которых — область черепной коробки: синусит, тонзиллит, отит, периодонтит и другие заболевания уха, горла, носа.
Недугу оказывают содействие многие негативные факторы:
- синдром хронической усталости;
- генетика;
- особенности течения внутриутробного развития;
- нарушения и расстройства кровообращения;
- кровоизлияние в мозг;
- отравление организма токсинами (алкоголь, наркотические средства);
- тяжелые условия труда в неблагоприятных климатических условиях;
- вирусные и инфекционные заболевания;
- повторные травмы.
При формировании патологии арахноидальная мозговая оболочка утолщается, развивается спаечный процесс в оболочке, вследствие чего формируется новообразование, наполненное спинномозговой жидкостью. Некоторое время спустя жидкая масса становится более плотной и превращается в доброкачественную опухоль.
Влияние аномалии в задней черепной ямке на ребенка
Стоит упомянуть, что первый триместр беременности считается основополагающим для будущего малыша, так как именно в это время происходит формирование органов и систем, в том числе — тканей головного мозга. Если в этот период беременная женщина перенесла вирусные или инфекционные заболевания, например, менингит, грипп, ИППП или ВИЧ, злоупотребляла алкоголем, табакокурением и наркотическими препаратами, это могло способствовать дефектам нервной трубки, а, следовательно, деформации и патологии развития головного мозга. Также появление арахноидальной кисты может свидетельствовать о сложных родах, то есть опухоль сформировалась на фоне родовых травм.
После появления ребенка на свет мама может заметить симптомы, связанные с новообразованием в задней черепной ямке. Если малыш беспокойный, часто срыгивает, не реагирует на игрушку, голос родных — нужно незамедлительно посетить детского невролога.
Стоит отметить, что кистозное образование у детей характеризуется медленным ростом или может рассосаться самостоятельно без консервативного лечения. При быстром увеличении кисты, пагубного влияния на ткани головного мозга требуется хирургическое вмешательство. Операция по удалению арахноидального образования у ребенка не влияет на интеллектуальное и физическое развитие малыша, если киста затрагивает небольшую площадь мозга.
Ликворная и лакунарная киста головного мозга причины, симптомы, лечение, последствия
Существует патологический процесс, развивающийся в мозге человека – киста. Что это такое – лакунарные кисты головного мозга? Заболевание встречается достаточно часто, но диагностируется заболевание редко. Это связано с её склонностью к латентному течению. Тем не менее, заболевание может привести к неприятным последствиям.
Что такое киста?
Киста — в медицине этим понятием обозначаются полостные образования в каком-либо органе, содержащие жидкость. Такие образования могут встречаться и в головном мозге. Разновидностью такого образования может стать лакунарная киста — полость, расположенная между веществом мозга и его оболочками. Содержимым образования является ликвор (спинномозговая жидкость).
Лакунарная ликворная киста головного мозга может формироваться двумя путями:
1. Врожденная. Образуется ещё у плода в результате нарушения закладки или развития ЦНС. Сформироваться она может на любом этапе эмбрионального развития, но чаще это происходит в первом триместре беременности. Причиной такого нарушения может стать:
- генетическая мутация;
- вредные привычки матери до и во время беременности;
- некоторые инфекционные заболевания, поражающие плод;
- тератогенное действие лекарственных средств, нарушающих развитие эмбриона.
2. Приобретенная. Возникает в течение жизни человека под воздействием следующих факторов:
- артериальная гипертензия;
- инфекционные менингиты и менингоэнцефалиты;
- метаболические болезни;
- тромбозы мозговых артерий;
- состояния, сопровождающиеся дистрофическими изменениями мозгового вещества.
Интересно! Размеры ликворной кисты головного мозга варьируют от нескольких миллиметров до десятка сантиметров. Но даже при крупных размерах образования, болезнь может протекать незаметно.
Как проявляется ликворная киста головного мозга
Лакунарная киста имеет склонность к длительному латентному течению. Если образование небольших размеров, она не влияет на мозговую функцию и клинических проявлений не будет. Симптоматика появляется при увеличении размеров образование, которое начинает сдавливать прилежащие отделы мозга. Симптомы лакунарной кисты головного мозгабудут зависеть от функции участка, где она располагается.
При расположении образования в теменной доле будет страдать координационная функция. чувство равновесия и ощущения положения тела в пространстве. Также будут нарушаться навыки письма и речи. Если киста локализована в височной доле, будут появляться слуховые, вкусовые и обонятельные галлюцинации.
Давление на лобную долю приводит к появлению непроизвольных мимических движений или эпилептических припадков. Затылочная доля отвечает за зрение. Образование здесь способно вызвать различные зрительные нарушения — мелькание мушек, двоение в глазах, выпадение полей зрения.
Также будут наблюдаться признаки раздражения мозговых оболочек:
- разной степени интенсивности головные боли;
- тошнота, возможна рвота;
- светобоязнь;
- ригидность мышц шеи.
Методы диагностики и лечение
Патология должна быть диагностирована с помощью методов визуализации:
- компьютерная томография;
- магнитно-резонансная томография.
Эти методы позволяют уточнить локализацию процесса и объём полости, а также исключить опухоль. Лабораторная диагностика в этом случае не показательна.
Лечение ликворной кисты головного мозга требуется не в каждом случае. Если размеры её небольшие, и она никак не влияет на мозговые функции, достаточно лишь регулярного динамического наблюдения. При наличии сопутствующей неврологической патологии, проводится лечение.
Лечение лакунарной кисты головного мозга требуется при увеличении её размеров. Наименее инвазивная операция — с использованием эндоскопического оборудования. Такая операция может быть проведена в том случае, если патология расположена в месте, доступном для её непосредственного пунктирования.
В случае труднодостижимого образования проводится трепанация черепа и иссечение кистозной полости. Самая тяжёлая и травматичная операция. При шунтировании в кистозную полость устанавливается трубка для удаления жидкостного содержимого. Через некоторое время полость закрывается.
Стоит ли опасаться этого заболевания?
Последствия ликворной кисты головного мозга чаще всего благоприятные. Однако иногда может сформироваться судорожный синдром или стойкая очаговая симптоматика (головные боли, тошнота, нарушение психики). У детей ликворная киста является причиной появления гидроцефального синдрома. Тем не менее, адекватная терапия и реабилитация позволит полностью восстановить функцию головного мозга.
Арахноидальная киста левой височной доли
Арахноидальные кистозные образования в голове формируются между его поверхностью и паутинной, арахноидальной, оболочкой. Кисты обнаруживаются путем проведения исследований, компьютерной или МР-томографии. На протяжении всей человеческой жизни они могут оставаться клинически спящими, а могут и приводить к значительному сдавливанию коры, что влечет за собой массу неприятных симптомов и серьезных последствий. Рассмотрим симптомы арханоидальной кисты левой височной доли, познакомимся с ее диагностикой и лечением.
После перенесения травмы или воспаления, нежные оболочки мозга, в области висков, с левой стороны, являются наиболее уязвимыми. Стенки ограниченного участка мозговой оболочки в области виска слипаются и через микроскопический дефект плазма или спинномозговая жидкость может выступить наружу, образуя пузырь или кисту, что представляет собой механизм их образования. Киста формируется чаще в мягкой паутинной сеточке, которая называется арханоидальной, покрывающей головную кору. Они имеют тенденцию локализоваться в пределах височных долей, левой или правой, богатых скоплением арханоидальных оболочек, значительно расширяя их при этом. Арханоидальные кисты бывают первичными, врожденными, и могут появляться вторично, после перенесенного заболевания, операции и при травматизации. Если киста увеличивается в объемах, значит, существует какой-либо повреждающий присутствующий фактор.
Симптомы арханоидальной кисты левой височной доли:
- Головная боль;
- Давяще-распирающее ощущение в голове;
- Шум в области левого уха при полном сохранении слуха;
- Тошнота;
- Пульсация в области левого виска;
- Рвота;
- Атаксия;
- Нарушение слуха;
- Зрительные отклонения;
- Галлюцинации;
- Мышечные судороги и тремор;
- Эпизоды потери сознания;
- Дисбаланс равновесия;
- Частичный паралич, постоянный или переходящий;
- Различные психические расстройства и так далее.
Характер, степень тяжести и выраженности симптоматики зависит от уровня концентрации и размеров кист, основными причинами их роста являются:
- Продолжающийся воспалительный процесс инфекционной природы;
- Сотрясение мозга;
- Онемение, частичное, проходящее или постоянное;
- Возрастание давления спинномозговой жидкости внутри кисты.
Арханоидальная киста левой височной доли, лечение которой обязательно при появлении любых дискомфортных симптомов или их манифестации, диагностируется результатами МРТ, КТ, анализов крови и исследованием кровотока в кровеносных сосудах головы. Терапия строится на результатах анализов и показателей исследований, заключается в декомпрессии кисты. Это может быть шунтирование или игловое дренирование, также применяется краниотомия с иссечением тела кисты. Арханоидальная киста левой височной доли, лечение которой осуществляется с помощью различных эндоскопических методик, представляет собой существенную опасность для здоровья и жизни в целом. Симптоматика кист проявляется лишь в двадцати процентах случаев, а обнаруживаются они у четырех процентов всего населения планеты.
Ретроцеребеллярная киста
Здравствуйте!Моей дочери 20 лет.С детства страдала неврозом навязчивых движений,которые потом сменились неврозом навязчивых состояний.В 12 лет отмечалось повышенное внутричерепное давление.ВСД по гипотоническому типу.В последнее время стала часто болеть голова,пару раз было полуобморочное состояние.Сделали МРТ.Срединные структуры не смещены,желудочковая система умеренно расширена.Рисунок кортикальных конвекситальных борозд и борозд мозжечка выражен,с расширением прилежащих ликворных пространств.Гипофиз не увеличен,высотой 2,0мм,хиазмальная цистерна пролабирует в полость турецкого седла.Отмечена ретроцеребеллярная киста20,0X13,0X12,0мм.Объясните пожалуйста результаты МРТ,и что это за киста,чем она опасна,нужно ли лечиться,т,к один врач сказал,что не нужно потому что это врожденное(хотя на МРТ в 2004 г. кисты не было),другой врач напугал необходимостью серьезного обследования и лечения,а так же ограничения в образе жизни(никакой физической нагрузки,а также и домашней работы связанной с наклоном головы вперед),а так же сказала ,что с беременностью и родами следует подождать(дочь недавно вышла замуж).Заранее спасибо.
В мм размеры большие, если переведём в см то получается 2 см на 1.3 см и на 1,2 см. Для ретроцелебелярной кисты это размеры практически ни о чём. Это действительно врождённая киста. в таких размерах она не лечится и практически не даёт никаких симптомов. Это просто расширенные ликворные пространства в задней мозговой ямке, возле мозжечка. В 2004 году дочери было 12 лет и это могли расценить как расширенные арахноидальные пространства. Если это действительно ретроцеребеллярная киста — то никаких дополнительных обследований по поводу кисты Вам проводить не нужно не нужно. Если врач порекомендовал подождать с беременностью и родами, а интересно тогда сколько ждать? Киста не рассосётся, она как была, так и останется. Ни от какого лечения она не исчезнет. Беременейте и рожайте спокойно. Удачи.
Спасибо за ответ на вопрос по поводу кисты.Но вы пишите,если это действительно киста,а что МРТ может дать не четкую картину,и это может быть еще что-то?
Может быть кистозная опухоль, проверяется проведением МРТ с контрастированием. Но мне кажется Вы слишком усложняете ситуацию. Если объединить все данные, которые Вы получили, то — подождите годик, пусть молодые поживут для себя, можно и два. Устаканятся отношения. привыкнут друг к другу, после этого через два года выполните МРТ, и если киста будет такого же размера (а я думаю, что она такая же и будет) то беременейте, рожайте и дальше живите спокойно. Удачи.
Консультация дается исключительно в справочных целях. По итогам полученной консультации, пожалуйста, обратитесь к врачу.
Диагностика арахноидальной кисты
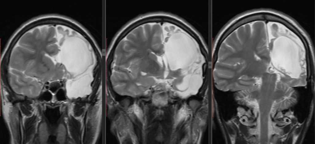
Клиника арахноидальной кисты не имеет специфичных проявлений и соответствует клинической картине, общей для большинства объемных образований головного мозга. К последним относятся внутримозговые и оболочечные гематомы, первичные и метастатические опухоли мозга, абсцесс головного мозга, внутримозговая киста. Осмотр невролога и первичное неврологическое обследование (электроэнцефалография, реоэнцефалография и эхо-энцефалография) позволяют установить наличие интракраниального образования с внутричерепной гипертензией и существующую судорожную активность головного мозга. Для уточнения характера объемного образования и его локализации необходимо проведение МРТ, СКТ головного мозга или КТ.
Оптимальным диагностическим методом для распознавания арахноидальных кист выступает МРТ головного мозга с контрастированием. Использование контрастных веществ позволяет отдифференцировать кисту от опухоли головного мозга. Основным критерием арахноидальной кисты, отличающим ее от опухоли, является отсутствие способности накапливать контраст. При помощи МРТ проводится дифференциальная диагностика с субдуральной гематомой, субарахноидальным кровоизлиянием, субдуральной гигромой, абсцессом, инсультом, энцефалитом и др. церебральными заболеваниями.
Арахноидальные кисты головного мозга.
Данный вид кисты образуется в твердой, паутинной и мягкой оболочках мозга. Локализуется на любом месте оболочки и включает в себя несколько подвидов кист. Различают первичную арахноидальную кисту – врожденную, и вторичную – образованную после перенесенных заболеваний. Ее возникновению способствуют:
- постоперационный период (если проводилась операция на мозг);
- менингит;
- болезнь Марфана (аномалия соединительных тканей) и т.д.;
Киста прозрачной перегородки головного мозга.
Эта киста арахноидального типа локализуется между передней долей и мозолистым телом мозга. Этот вид кисты бывает как врожденным, так и приобретенным. Врожденная киста перегородки чаще всего никак не вредит работе мозга, а вот за приобретенной требуется наблюдение специалиста, поскольку она может расти.
Методы лечения
При замершем церебральном арахноидите усилия направляют на установление и ликвидацию первопричины. Врач выявляет факторы, приведшие к болезни, назначает лекарства, способные их устранить.
Если заболевание прогрессирует, назначают медикаменты для подавления воспалительных процессов, текущих в мозговых оболочках, восстановления кровообращения, транспортировки кислорода и регенерации поврежденных тканей.
При отсутствии положительной динамики прибегают к радикальным способам лечения. Кисты удаляют хирургическим путем.
Поводом к ее выполнению становится:
- вероятность разрыва кистозного образования;
- тяжелое состояние пациента;
- участившиеся приступы эпилепсии;
- высокое внутричерепное давление;
- усиление признаков недуга.
Лечение
Что такое киста и как она проявляется, уже было сказано немало. Теперь нужно поговорить о том, как можно лечить эту патологию и может ли она дать рецидив в будущем? Первое, что следует отметить, что лечение образования в основном проводится только хирургическим путем.


Однако если причиной формирования опухоли является воспалительный или инфекционный процесс, влияющий на течение болезни, сначала проводится противовоспалительная и антибактериальная терапия. Такие методы лечения дают возможность избежать послеоперационных осложнений и улучшают восстановление организма после хирургического вмешательства.
Когда все инфекционные и воспалительные процессы устраняются, приступают к самой операции по удалению кисты. Ее иссечение может происходить несколькими способами:
- Путем проведения эндоскопической фенестрации, во время которой удаляется часть кисты и происходит соединение арахноидальной цистерны с кистозной полостью, желудочками мозга и субарахноидальными пространствами.
- Путем трепанации черепа, при которой распиливается черепная коробка и производится полное удаление опухоли вместе с поврежденными тканями мозга.
Послеоперационная реабилитация осуществляется в клинике. После этого пациенту необходимо периодически проходить МРТ обследование (норма составляет 1 – 2 раза в год), так как даже полное удаление кисты не дает 100% гарантии отсутствия дальнейшего рецидива.

Comments
(0 Comments)