Аденома печени люди в группе риска, лечение, профилактика
Лечение
Медикаментозно данное заболевание не лечится. В первую очередь должен быть прекращен прием гормональных препаратов. Если размер аденомы менее одного сантиметра или же резекция усложняется, то используется выжидательная тактика, под контролем врача онколога. Обследование проводят сразу же после выявления опухоли, затем через три, шесть, девять и двенадцать месяцев. Далее обследование проводится раз в год. Если диагностика показывает, что новообразование уменьшается, значит, выжидательная тактика оправдана. Если же аденома увеличивается необходимо хирургическое вмешательство, в том числе с использованием лапароскопических методов.
В случае если размер аденомы печени превышает восемь сантиметров или она сдавливает желчные ходы, сразу же рекомендуется резекция. Связанно это с тем, что быстро растущая аденома может разорваться, при этом повредив сосуды и вызвав интенсивное кровотечение. Объем резекции зависит от размеров аденомы. Резекция может быть клиновидной, сегментоэктомией или односторонней гемигепатэктомией.
Признаки того, что аденома печени становится злокачественной:
- инвазия капсулы;
- клеточный полиморфизм и атипизм;
- произрастание в сосуды;
- кровоизлияния и некрозы;
- повышение уровня билирубина в динамике.
Профилактика
Женщинам длительный период принимающим оральные контрацептивы следует по возможности менять методы контрацепции. Если же гормональные препараты принимаются более семи лет нужно регулярно проходить обследование.
Одним из способов профилактики является правильное питание. Не стоит злоупотреблять жаренной, острой, соленой и жирной пищей. Желательно увеличить употребление продуктов с высоким содержанием клетчатки. Стоит отказаться от курения и употребления алкоголя.
При подозрении на новообразования в печени следует немедленно посетить врача хирурга или онколога.
- 6 народных рецептов от коликов у младенцев
- Химия женского счастья — эстрадиол
- Сфеноидит и его лечение с помощью народных средств
- Как народные средства справляются с гипервентиляционным синдромом
- Лечится ли липоидный некробиоз народными средствами
- С некрозом шутки плохи
- Кора осины — мощное народное средство от паразитов
- Пижма для выведения глистов — рецепты и отзывы
- Проверенные народные средства для улучшения кровообращения
- Перекись водорода — лекарство из народа
- Паразиты в организме — причина многих проблем со здоровьем
- Наращивание эндометрия — решение проблемы бесплодия
- От полипов в кишечнике травы — лучшие помощники
- Тромбы и бляшки растворяем, народными средствами кровь разжижаем
- Воспаление желудка? Лечим средствами народной медицины
- Зависимость от никотина с народными средствами легко преодолима
Информация на сайте дана в ознакомительных целях. Самолечение возможно только после консультации с врачом!
Прогнозы и последствия
Давать какие-либо прогнозы развития при данной патологии чрезвычайно сложно. Ведь иногда аденома может иметь чрезвычайно спокойный характер и практически не беспокоить пациента долгие годы. В то же время, бывают ситуации, когда патология активно прогрессирует, нарушая функционирование печени. Как правило, прогнозы развития патологии зависят от размеров новообразования, степени поражения железы, наличия сопутствующих проблем.
Опасность данной патологии заключается, прежде всего:
- В возможности внезапного разрыва новообразования, приводящего к глобальным повреждениям сосудистого и нервного русла, к кровотечениям в брюшную полость, к серьезной кровопотере. Именно разрыв опухоли может считаться самым грозным осложнением данного недуга;
- В необходимости отказа от новой беременности для женщин, поскольку именно при вынашивании ребенка риски разрыва аденомы чрезмерно вырастают;
- Способности опухоли к злокачественному перерождению и летальному исходу.
Подводя итоги, хочется заметить, что аденома печеночных структур – это та патология, которая требует постоянного наблюдения и контроля над общим состоянием пациента. Зачастую, новообразование может совершенно не причинять дискомфорта пациенту, оставаться в своем первоначальном размере, не требуя какого-либо лечения. Но иногда патология может вести себя достаточно агрессивно, требуя вмешательства хирургов.
Все это еще раз подтверждает факт, что при данной патологии (равно как и многих иных опухолевидных процессах) доверительное общение с квалифицированными врачами, своевременное диагностирование и лечение проблемы может играть решающую роль!



Заболевания мошонки как распознать, диагностировать, лечить
Существует несколько основных заболеваний мошонки, симптоматика которых достаточно явная. Благодаря этому каждый пациент может самостоятельно диагностировать у себя определенные отклонения, которые должны стать поводом для обращения к специалисту.

Варикоцеле
Одно из наиболее распространенных заболеваний – варикоцеле – варикозное расширение вен половых органов. Чаще всего венозное расширение наблюдается в области левого яичка, но в отдельных случаях может образовываться и вокруг левого, и вокруг правого яичек. Как правило, мужчина сам может определить у себя подобную патологию и обратиться за помощью к врачу. Заболевание диагностируется у мужчин в возрасте от 15 до 35 лет. Недостаточное лечение варикоцеле может привести к серьезным осложнениям, в частности, к бесплодию.
Гидроцеле (водянка мошонки)
Еще одно распространенное заболевание, сопровождаемое опухолью половых органов – гидроцеле (в народе – водянка). При гидроцеле любые дискомфортные ощущения могут полностью отсутствовать. Заболевание диагностируется, в основном, у мужчин, старше 40-45 лет. В отдельных случаях гидроцеле является признаком развития другого заболевания, например, инфекционного заражения и даже онкологии. Симптомы развития гидроцеле схожи с симптомами паховой грыжи, однако лечение данных заболеваний сильно отличается, поэтому не пытайтесь самостоятельно ставить себе диагноз и обязательно проконсультируйтесь с урологом, прежде чем принимать какие-либо меры.

Эпидидимит
Инфекция эпидидимиса – серьезное заболевание мошонки, на начальной стадии проявляющееся в виде сильной тяжести. Эпидидимис отвечает за перемещение спермы внутри половой системы организма, поэтому повреждение этого канала может привести к тяжелым последствиям, вплоть до импотенции и бесплодия. Инфекция развивается вследствие заражения, которое, как правило, происходит при незащищенном половом контакте. В частности подобные негативные изменения могут повлечь за собой гонорея и хламидии. Эпидидимит сопровождается сильной общей слабостью, однако, в ряде случаев, может практически никак не проявляться. Иногда патология может возникать как побочный эффект приема препарата «Амиодарон» (часто прописывается пациентам, страдающим заболеваниями сердечно-сосудистой системы). Отмечено несколько случаев, когда инфекция эпидидимиса являлась признаком развития туберкулеза.

Лимфедема
При сильной опухоли мошонки часто наблюдается лимфедема. Пациент может не испытывать никаких дискомфортных ощущений. Несмотря на довольно слабые проявления, данное заболевание часто свидетельствует об отклонениях в работе сердечно-сосудистой системы и в работе печени. Развивается лимфедема из-за закупорки лимфотока, и, как следствие, из-за нарушения тока лимфы, отвечающей за очищение организма от бактерий и вирусов.
Симптомы
Пока аденома не достигла больших размеров, она себя никак не проявляет. Ее могут обнаружить случайно во время планового обследования. Если же новообразование больших размеров, то больной в этом случае может ощущать характерные симптомы.
- Боль в правом подреберье или эпигастральной области. Она может возникать периодически или усиливаться при определенном наклоне тела. В некоторых случаях боль может быть резкая.
- Чувство тяжести и давления в правом подреберье.
- Бледность кожных покровов.
- Потливость.
- Пониженное давление .
- Жажда.
- Тошнота и отрыжка воздухом.
По своим симптомам, аденома может быть похожа на любое заболевание печени .
Чем опасна аденома печени
Существует риск перерождения аденомы печени в злокачественную опухоль. Он составляет около десяти процентов. Но в случае множественных аденом или если новообразование достигает более десяти сантиметров, то риск увеличивается, так как данные опухоли являются потенциально активными. Есть случаи, когда при отсутствии гистологической активности аденомы печени обнаруживались метастазы.
У женщин в период беременности, после родов или во время менструации возрастает риск спонтанного разрыва опухоли с некрозом опухолевого узла. При наличии аденомы печени беременность противопоказана.
Возможен спонтанный разрыв аденомы печени при травмах живота или повышенном давлении или перекрут расположенной на ножке опухоли. В некоторых случаях возможно кровотечение в брюшную полость из опухоли.
Анализы, которые назначают при обнаружении аденомы
- Общий и биохимический анализ крови. Может быть обнаружено снижение печеночных ферментов и анемия.
- Анализ крови на опухолевые маркеры. При злокачественных новообразованиях вырабатываются специфические белки (СЕА, АПФ, СА19-9).
- Ультразвуковое исследование печени. Для определения опухоли.
- Магнитно-резонансная томография.
- Рентгенография органов брюшной полости.
- Эластография. Сканирование ткани печени с установлением ее эластичности.
- Биопсия опухоли. Берут кусочек ткани опухоли на гистологическое исследование.
- Эндоскопическая ретроградная панкреатохолангиография. Исследуют желчные протоки, для того чтобы определить сдавливает ли их опухоль.
Также врач собирает анамнез, в котором отмечают следующие пункты:
когда именно начались проявления симптомов заболеваний печени;
принимает ли больной гормональные препараты, это касается и женщин и мужчин;
выявляет особенности питания и вредные привычки больного;
анализирует семейный анамнез, уточняя, были ли онкологические заболевания печени у родственников больного;
обращает внимание на цвет кожных покровов (их бледность может указывать на внутренне кровотечение);
проводит пальпацию живота.
КТ и МРТ диагностика
Аденома печени, MPT в Т1 последовательности. В основании 4 сегмента определяется образование, проявляющееся относительно ткани органа более высоким сигналом. В структуре образования виден сосуд (стрелка).
Только по данным УЗИ распознать опухоль довольно сложно. В то же время специфической картины аденомы печени при КТ и МРТ также не существует, поэтому дифференциальная диагностика сложна. Можно отметить, что аденомы на Т1-взвешенных изображениях имеют относительно высокий сигнал из-за высокого содержания в клетках гликопротеидов (фото МРТ выше).
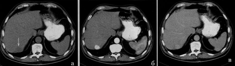
Аденома печени. При нативной КТ (а) в 7 сегменте определяется неотчетливо определяется слегка гиподенсивное образование, которое в артериальную фазу контрастного усиления (б) интенсивно окрашивается. В венозную фазу (в) сохраняется незначительно выраженная гиперденсивность.
Маленькие аденомы на нативных компьютерных томограммах выявляются с трудом, они изоденсивны с паренхимой печени. По характеру распределения контрастного вещества при болюсном усилении аденома мало отличается от узловатой гиперплазии печени. Также как узел гиперплазии, опухоль показывает существенное усиление в артериальную и раннюю венозную фазы (фото КТ выше).
Кровоизлияние в аденому печени. В 7 сегменте органа определяется гиподенсивное образование, в котором имеется гиперденсивная структура — сгусток крови.
При этом происходит относительно равномерное усиление солидного компонента опухоли, в то время как денситометрический показатель участков, отображающих кровоизлияние и некроз, остается неизменным. Большие аденомы печени при КТ проявляются гетерогенной структурой с преимущественно пониженным денситометрическим показателем за счет содержания жира, кровоизлияний, некроза. Наряду с этим встречаются и гиперинтенсивные участки, отображающие высокое содержание гликогена или свежее кровоизлияние. В больших аденомах печени выявляется тонкая капсула. Такая неоднородная структура аденомы мало отличается от структуры раковой опухоли печени. Кровоизлияние внутри аденомы происходит часто (до 30% случаев), оно может быть довольно массивным и легко выявляется как на КТ, так и МРТ изображениях (фото КТ выше). При отсутствии травмы или антикоагуляционной терапии наличие внутрипеченочного кровоизлияния должно предполагать аденому печени.
Таким образом, из всего сказанного вытекает, что отличить аденому печени и узловатую гиперплазию тканей органа сложно. Тем не менее, существенным симптомом в пользу аденомы может служить кровоизлияние в опухоль печени. С меньшей специфичностью в пользу аденомы свидетельствует менее интенсивное окрашивание и визуализация тонкой капсулы при контрастном усилении, а также отсутствие центрального рубца. Но обнаружение этих признаков вынуждает проводить дифференциальную диагностику с другим образованием — карциномой.
Китаев В.М.
Диагностика и лечение проблемы
Диагностируют данную патологию с помощью стандартных УЗ-исследований, компьютерной или магнитно-резонансной томографии. Кроме того, иногда аденому распознают после проведения селективной ангиографии, лапароскопии либо сцинтиграфии.
Дифференциальная диагностика заключается в четком определении (исключении) такого диагноза, как гемангиома – доброкачественное сосудистое новообразование. При четком установлении диагноза аденома/аденоматоз печени дальнейшее лечение может быть кардинально различным для разных пациентов. Иногда это может быть:
- Тактика профилактического общеукрепляющего лечения и наблюдения за патологией, когда аденома имеет чрезмерно малые размеры, не дает прогресса и никак не вредит пациенту;
- Оперативное лечение с последующей обязательной биопсией опухолевых клеток для подтверждения доброкачественности новообразования.
Также при обнаружении аденомы печени пациентам всегда рекомендуют прекращение использования гормональных препаратов, прежде всего, контрацептивов (если таковое имело место). Кстати сказать, очень во многих случаях этот шаг является решающим, после которого начинается регресс новообразования.
Упомянутое выше оперативное лечение данной патологии может быть рекомендовано при условиях, что:
- Опухоль имеет чрезмерно большие размеры;
- Образование обладает агрессивным характером, постоянно растет, мешает полноценному функционированию органа;
- Конкретная пациентка планирует дальнейшую беременность.
При этом резекция печёночных тканей выполняется строго в пределах здоровых участков печёночной ткани, соблюдая принципы абластики (принципы, предотвращающие рецидивы опухолевидного процесса). Заметим, что чрезмерно крупные опухоли рекомендуется удалять путем так называемой обширной анатомической резекции.
А вот медикаментозная терапия при данной патологии вообще не предусмотрена.
Как проявляет себя недуг
Зачастую данное заболевание протекает бессимптомно, а пациент обнаруживает проблему при плановом профилактическом осмотре. Тем не менее, в определенных ситуациях заподозрить развитие такой патологии можно при наличии следующих симптомов:
- При увеличении печёночных структур в размерах;
- При возникновении постоянной тошноты, необъяснимых расстройств пищеварения;
- При постоянной чрезмерной бледности или желтушности кожных покровов;
- При наличии периодических болей или дискомфорта в правой стороне живота.
Такого типа симптомы могут быть весьма опасны, поскольку способны свидетельствовать о возможном развитии кровоизлияния в тот или иной отдел брюшной полости.
А в восьми процентах случаев подобное осложнение первичной аденомы может заканчиваться летально.
Симптомы разрыва гепатоцеллюлярной аденомы всегда дополняются признаками острой кровопотери, у таких пациентов наблюдаются:
- Сильные головокружения, вплоть до расстройств сознания;
- Потемнения в глазах, при этом пациента может мучить сильнейшая жажда;
- Часто возникает тахикардия, резкое снижение показателей артериального давления;
- Боль в животе может быть практически невыносимой.
При обнаружении подобной симптоматики пациенту требуется срочная консультация медиков, а, возможно, даже экстренное квалифицированное лечение.
ПЕЧЕНЬ ДОБРОКАЧЕСТВЕННЫЕ ОПУХОЛИ
Опухоли (лат. Tumores) — патологические образования, возникающие вследствие нарушения механизмов контроля деления, роста и дифференцировки клеток.
Доброкачественные опухоли никогда не прорастают в окружающие ткани и не распространяются на отдаленные органы. Однако в некоторых случаях они могут быть достаточно большими, что вызывает определенные осложнения. При необходимости лечения подобные опухоли обычно удаляются с помощью операции.
Гемангиома печени
Самой распространенной доброкачественной опухолью печени является гемангиома. Она начинается с кровеносных сосудов.
Её обнаруживают в 5% аутопсий. Более широкое применение методов сканирования печени способствует улучшению диагностики этой опухоли.
Гемангиомы обычно одиночные и имеют небольшие размеры, но иногда они бывают крупными и множественными.
Обычно гемангиома располагается субкапсулярно, под диафрагмальной поверхностью правой доли печени и иногда имеет ножку. На разрезе она имеет округлую или клиновидную форму, тёмно-красный цвет и напоминает медовые соты; фиброзная капсула опухоли может содержать очаги кальцификации.
Ячейки опухоли выстланы плоскими эндотелиальными клетками и содержат небольшое количество соединительной ткани, хотя в некоторых случаях оно может быть значительным.
У большинства больных гемангиома протекает бессимптомно и диагностируется случайно. При гигантских гемангиомах (диаметром более 4 см) их часто удаётся пропальпировать; вследствие тромбоза опухоли могут возникать боли. Возможны симптомы сдавления опухолью прилежащих к ней органов. Изредка над гемангиомой выслушивается сосудистый шум.
Обычно появление гемангиомы не требует лечения и не сопровождается какими-либо симптомами. Но в некоторых случаях возникает кровотечение и необходимость хирургического удаления опухоли. Возможность разрыва опухоли не является показанием к хирургическому вмешательству. При выраженном болевом синдроме или быстром росте опухоли прибегают к резекции печени, которая обычно заключается в лобэктомии или сегментэктомии.
Аденома печени
Аденома печени — очень редкая опухоль.
Аденома печени, которая развивается из основных структурных элементов печени (гепатоцитов).
В большинстве случаев аденома печени не требует лечения и не сопровождается какими-либо симптомами. Иногда возникают такие симптомы, как боль, выраженная кровопотеря или прощупываемое образование в брюшной полости. Риск развития аденомы печени повышен у людей, которым проводится терапия половыми гормонами, и у беременных женщин.
Большинство специалистов рекомендуют по возможности удалять аденому хирургически. Так как существует риск разрыва опухоли. Это может привести к массивной кровопотере.
На фоне приема некоторых лекарственных препаратов увеличивается риск развития печеночной аденомы. Вероятность появления опухоли увеличивается у женщин при использовании противозачаточных препаратов. Данное осложнение встречается крайне редко. Отмена оральных контрацептивов способствует уменьшению размеров опухоли.
Аденома может возникать и у мужчин на фоне приема анаболических стероидов. Отмена препарата приводит к уменьшению опухоли.
Холангиола (аденома внутрипеченочных жёлчных протоков)
Это очень редкая простая опухоль, происходящая из внутрипеченочных жёлчных протоков. По структуре она напоминает цистаденому, и её следует дифференцировать с простой кистой или поликистозом печени. Описан также смешанный тип опухоли с пролиферацией как жёлчных протоков, так и гепатоцитов.
Цистаденома внутрипеченочных жёлчных протоков
Опухоль обычно крупных размеров и поражает правую долю печени. Она может иметь ножку. Кисты содержат светло-жёлтую или коричневатую слизистую жидкость.
Цистаденома наблюдается преимущественно у женщин среднего возраста. Она проявляется наличием пальпируемой опухоли в верхних отделах живота и болью. В редких случаях отмечается обструкция жёлчных протоков.
Опухоль дифференцируют с поликистозом и простой кистой.
У части больных оказывается возможным выполнить резекцию печени.
Фокальная нодулярная гиперплазия
Фокальная нодулярная гиперплазия (ФНГ) — это опухолевидное образование, состоящее из клеток нескольких видов (гепатоциты, клетки желчных протоков и соединительной ткани).
Отличить ФНГ от злокачественных новообразований бывает затруднительно, и поэтому при неясном диагнозе врачи рекомендуют хирургическое удаление.
У женщин аденома печени и ФНГ встречается чаще, чем у мужчин.
+7 495 66 44 315 — где и как вылечить рак
Доброкачественные опухоли печени
К доброкачественным опухолям печени относят гемангиому, печеночноклеточную аденому, фокальную нодулярную гиперплазию, аденому желчных протоков. Значительно реже встречаются липома, фиброма, нейрофиброма, лейомиома, гамартома, тератома, а также смешанные опухоли. Доброкачественные опухоли печени в своем большинстве — клинически малосимптомные заболевания и, как правило, являются случайной находкой при УЗИ.
Гемангиама — наиболее часто встречающаяся опухоль печени. Гемангиома никогда не малигнизируется. Разрыв гемангиомы происходит крайне редко. Диагностика основывается на данных УЗИ, при котором выявляют гиперэхогенное образование в печени, не дающее акустической тени. При КТ с внутривенным контрастированием гемангиома выглядит как участок круглой формы с участками разрежения в центре, накапливающий и удерживающий контраст в паренхиматозную фазу по типу «языков пламени». Выполнение пункционной биопсии при гемангиоме печени опасно ввиду возможности развития внутрибрюшинного кровотечения. Микроскопически опухоль представлена скоплением сосудистых лакун, окруженных неизмененными эндотелиальными клетками, заполненными кровью, множественными сосудистыми анастомозами различного калибра. Макроскопически гемангиома темно-вишневого цвета, мягкая на ощупь, на срезе имеет вид мелкоячеистой губки, с поверхности которой легко выдавливают кровь.
Аденома печени и фибринодулярная гиперплазия чаще встречаются у женщин. Отмечена связь между ростом числа этих заболеваний у женщин и длительным приемом гормональных контрацептивов. Крайне редко на фоне аденомы печени выявляют гепатоцеллюлярный рак, что может свидетельствовать о возможной злокачественной трансформации.
Подробнее о том, что эта опухоль собой представляет
Выражаясь медицинским языком, аденома печени представляет собой новообразование доброкачественной природы, развивающееся чаще у представительниц слабого пола в возрасте 20-40 лет. Последние научные исследования выявили определённую зависимость развития данной патологии от длительного использования пероральных контрацептивов на гормональной основе.

Аденома печени. МРТ.
Кроме того, важно отметить, что гепатоцеллюлярная аденома (именно так могут называть описываемый опухолевидный процесс медики) выглядит как достаточно плотный узел около пяти сантиметров в диаметре или больше. Патология также может развиваться у относительно молодых мужчин, принимавших длительный период времени анаболические стероиды
Патология также может развиваться у относительно молодых мужчин, принимавших длительный период времени анаболические стероиды.
Аденома печени может представлять собой как единичный узел (того или иного размера), так и множественные узелковые уплотнения. Если новообразования присутствуют в количестве пяти узлов и больше, медики фиксируют диагноз – аденоматоз печени.
Какими бывают эти опухоли
Если медики говорят о количественных характеристиках данной патологии, то аденома печени может классифицироваться как:
- Единичная опухоль (одиночный обособленный узелок);
- Множественные опухоли или, упомянутый ранее, аденоматоз.
Кроме того, существует определенная классификация, указывающая непосредственно на структуру и строение подобных опухолей. Так подобные новообразования могут быть:
- Трабекулярными, состоящими из печёночных балок (трабекул) – пластинчатых образований гепатоцитов, располагающихся в дольках печени радиально. При этом сами трабекулы оказываются толще здоровых долек и располагаются в хаотичном порядке.
- Либо же тубулярными, отличающимися наличием в отдельной трабекуле железистых просветов с застоявшейся желчью.
Чаще всего у пациентов наблюдается сочетанная патология с трабекулярным и тубулярным строением опухоли. Такого рода опухоли не имеют плотной капсулы, хотя и четко отграничиваются от близлежащих тканей.

Comments
(0 Comments)