Причины и симптоматика абсцесса головного мозга методы лечения и прогноз
Организмы, ответственные за развитие мозговой инфекции
- Золотистый стафилококк, в том числе устойчивый к метициллину.
- Аэробные, анаэробные и микроаэрофильные стрептококки, в том числе альфа-гемолитический стрептококк и стрептококк anginosus (milleri).
- Prevotella и Fusobacterium.
- Enterobacteriaceae (Klebsiellа, кишечная палочка, Proteus).
- Pseudomonas.
- Veillonella, Eubacterium
Менее распространенные причины:
- пневмококк;
- менингококк;
- Haemophilus aphrophilus;
- Actinobacillus, actinomycetemcomitans и Salmonella;
- Nocardia asteroides;
- Mycobacterium.
- различные виды грибов (Aspergillus, Candida, Cryptococcus, Mucorales, Coccidioides и другие);
- гельминты (например, свиной цепень);
- Pseudallescheria boydii.
Источники статьи:http://www.nlm.nih.gov/medlineplus/ency/article/000783.htmhttp://www.merckmanuals.com/professional/neurologic_disorders/brain_infections/brain_abscess.html
По материалам:1.Itzhak Brook, MD, MSc Professor, Department of Pediatrics, Georgetown University School of Medicine2.Jeffrey D Band, MD Professor of Medicine, Oakland University William Beaumont School of Medicine3. U.S. Department of Health and Human Services National Institutes of Health4.John E. Greenlee, MD
Как научиться противостоять стрессу?
Употребление кофе может привести к обезвоживанию?
Продукты, которые позволят быть энергичным даже осенью
4 необычных преимуществ занятия спортом
В каких случаях опасно использовать масло и воду при ожогах?

Почему люди выбирают похожих партнеров, даже имея плачевный опыт отношений

Имплантация зубов — преимущества и выбор клиники

Блокада позвоночника – мгновенное устранение боли в спине

Ядовитая приправа, есть или не есть в открытых уличных кафе

Онлайн-сервис SKIN.EXPERT – здоровая кожа одним кликом
- Что такое гемофильная инфекция? Гемофильная инфекция типа В (Hib)
- Менингит
- Применение мануальной терапии при лечении черепно-мозговой травмы
- Стафилококк. Лечение стафилококковых болезней
У нас также читают:
- Болезнь Паркинсона
- Показания к санаторно-курортному лечению
- Морозник, нужно ли лечить рак морозником
- Социальная медицина
К сведению
Наши партнеры
Лимфома ноги — прочитайте статью на сайте Европейской онкологической клинии.
Форум о пластической хирургии prof-medicina.ru
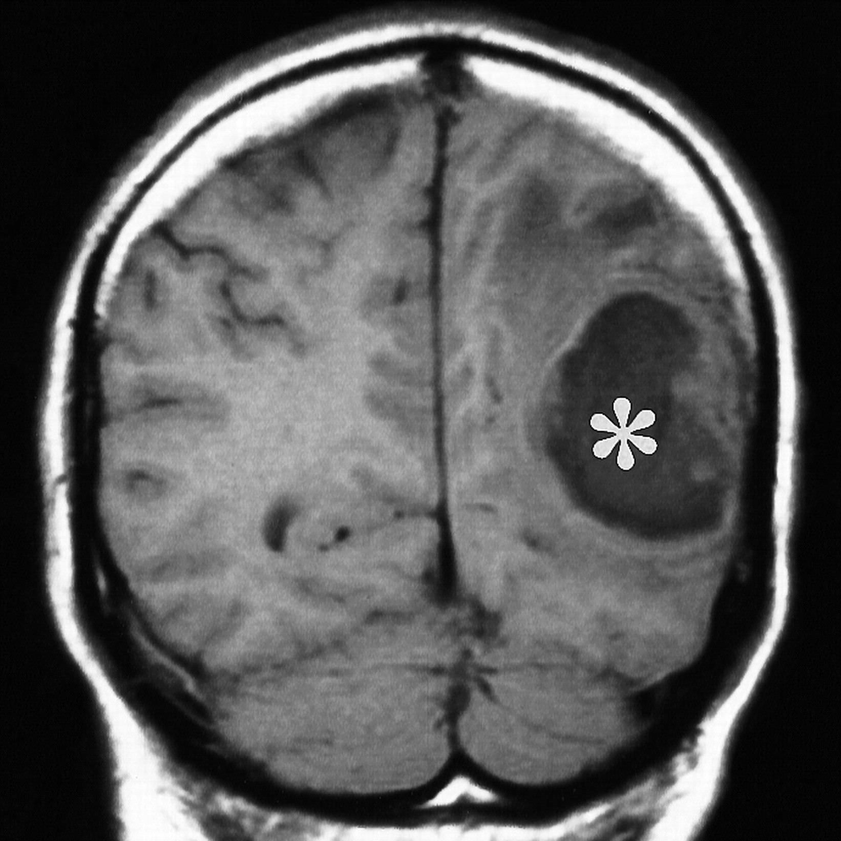
Симптомы

Клинические выражения гнойника делятся на 3 группы: общеинфекционные, общемозговые, очаговые.
Общеинфекционные признаки характеризуются повышением температуры тела, иногда перепадами (резко поднялась, резко спала), бледность, слабость, похудение, озноб, повышенная потливость, анализ крови показывает аномальное количество лейкоцитов.
Общемозговые признаки появляются, когда абсцесс уже увеличился в объёмах. Давление повышается, а с ним усиливается головная боль, начинается рвота, снижается пульс.
Через короткое время человек начинает плохо видеть, из-за образовавшегося воспаления за глазным яблоком, а потом ощущается оглушенность, сонливость. У пациентов с запущенной болезнью не редки эпилептические конвульсии и кома в дальнейшем.
Очаговые признаки зависят от места расположения болезни (лобная зона, виски). Абсцессы поражающие глубинные участки могут проходить без явных симптомов.
Отогенные иногда могут появляться на противоположной стороне воспалению. Симптомы, при которых зарождается болезнь: повышенное давление, отеки, головные боли.
Связанно это с тем, что в положении лежа происходит большое выделение жидкости спинного мозга, которая не успевает всасываться и вызывает повышение давления.
Тошнота, рвота, упадок сил, темные круги под глазами, обморочные состояния, потливость – все эти симптомы появляются группами или отдельно.
Пациент не всегда может предположить о серьезности своего заболевания, так как все вышеперечисленное напоминает обычную простуду, с которой люди ходят на работу.
Симптомы абсцесса мозга
Примерно у двух третей пациентов симптомы абсцесса начинают проявляться спустя 2 недели или менее. Клиническое течение болезни может быть как произвольным, так и быстрым. Большинство симптомов являются результатом расположения и величины абсцесса, а также от повреждений, причиненных им.
- головная боль — 70%;
- изменения психического состояния (может указывать на отек головного мозга) — 65%;
- фокальные неврологические дефициты — 65%;
- лихорадка — 50%;
- судороги — 25-35%;
- тошнота и рвота — 40%;
- затылочная жесткость (ригидность мышц) — 25%;
- отек диска зрительного нерва — 25%.
Вначале у больного возникает головная боль, температура, а затем появляются признаки менингита, часто сопровождающие разрыв абсцесса. Любое изменение в нормальной функции головного мозга сопровождается такими симптомами:
- постоянная головная боль (с четким местом локализации);
- сонливость, бред, ступор;
- атаксия, гемипарез.
Распространенность случаев мозговых абсцессов, статистика выживаемости
В целом ежегодно с диагнозом абсцесс мозга только в США госпитализируется 1500-2000 человек (из расчета на 10 тысяч госпитализаций). У больных СПИДом частота этого заболевания намного выше, следовательно, в общенациональных масштабах распространенность абсцесса мозга за последние десятилетия тоже возросла. Из-за повсеместного употребления антибактериальных препаратов, антидепрессантов и кортикостероидов возросло и количество грибковых абсцессов. Заболевание характерно как для развитых стран, так и для развивающихся. Предрасполагающих факторов масса, и они постоянно изменяются.
В целом смертность в результате мозговых абсцессов понизилась на 15% за последнее время. Однако разрыв абсцесса приводит к смертности в 80% случаев. Лечение в данном случае (после разрыва) не приносит ощутимой пользы.
Частота неврологических осложнений у пациентов, переносящих мозговые инфекции, колеблется от 20 до 79% и основывается на том, как быстро будет поставлен диагноз и начато лечение.
Мозговые абсцессы чаще встречаются у мужчин, чем у женщин. Первые четыре десятилетия жизни – наиболее вероятное время возникновения данной проблемы.
У детей раннего возраста главной причиной субдуральной эмпиемы является бактериальный менингит. Применение вакцины против гемофильной инфекции вызвало снижение частоты случаев менингита у детей младшего возраста.
Причины заболевания

Инфекции мозга могут возникать в последствие хирургического лечения менингита, вентрикул среди пациентов с ослабленным организмом.
При открытой черепно-мозговой травме гнойники поражают мозг после попадания в рану инфекции напрямую. Распространенные причины заражения: травмирование в бою, пулевое ранение, последствия взрывов, аварий, нападений.
Через кровь (гематогенно) заражение происходит из-за таких заболеваний легких: необратимые процессы в бронхах, гнойного плеврита, пневмонии и других воспалений.
Но зафиксированы случаи, когда очаг возникал в пищеварительном тракте из-за таких заболеваний: сепсис, воспаление в тканях хронического и острого характера.
При наличии у пациента гайморита или других гнойно-воспалительных процессов носовых пазух, инфекционных заболеваний в ушах, болезнь может добраться до мозга разными путями.
Часто фиксируются случаи проникновения через твердые ткани мозга или поражение инфекцией синусов или вен твердых оболочек.
Пути распространения болезни:

Контактные поражения. Самые распространенные абсцессы обусловленные отитами, мастоидитами, гнойными заболеваниями костей черепа и прилегающих участков тела (нос, глазницы, мозговые оболочки).
Отогенные абсцессы головного мозга имеют самое большое распространение. Гнойные отиты чаще заканчиваются абсцессом, через инфекцию в ушах.
Болезнь проникает из височной кости, через барабанную перепонку к средней черепной яме, вызывая заражение височной доли мозга. А если отогенный очаг распространится на заднюю яму черепа через сигмовидную пазуху – абсцесс мозжечка.
Редко по причине инфицированного тромба заболевание может углубиться и развиваться намного глубже первичного заболевания.
Метастатические нагноения связаны с заболеваниями легких, но его могут усложнять такие патологии как: язвенный эндокардит, воспаления костных тканей, другие гнойные болезни.
Заражение происходит из-за эмболии, поэтому эти абсцессы не ограничиваются одним местом локализации. У 25 – 30% пациентов метастатические образования находятся в глубоких отделах белого мозгового вещества.

Травматические – результат проникающей травмы головы. В этом случае в начале, повреждается твердая оболочка и через периваскулярные щели инфекция доходит до мозговой ткани.
- 1 стадия (1-3 дня) наблюдается энцефалит – это начальное воспаление мозга. Самый легкий период, болезнь поддается излечению благодаря антибактериальной терапии или проходит самостоятельно путем рубцевания.
- 2 стадия (4-9 дней). В абсцессе уже образовался гнойник, который с каждым днем увеличивается в объёмах, если не обращаться к медикам.
- 3 стадия (10-13 дней). Вокруг гнойной полости образуется защитная пленка, которая не дает образованию распространяться дальше.
- 4 стадия (3 неделя). Пленка полноценно уплотнилась. В некоторых случаях начинается регресс болезни или вокруг капсулы образовываются новые очаги заражения.

Всё зависит от лечения и организма больного. Если пациент ослаб после смежной протекающей болезни, то и предыдущие стадии могут развиваться гораздо медленнее.
Распространителями абсцесса являются такие микроорганизмы: стрептококки, бактероиды, протеи, стафилококки, аспергиллы. Последние доминируют у пациентов с ВИЧ-инфекциями, так как синдром уничтожает защитную реакцию организма.
Лечение и профилактика

Лечение зависит от локализации болезни, её стадии, размера и общего состояния больного. Лечащий врач может использовать как щадящие методы, так и хирургическое вмешательство.
Если с момента зарождения абсцесса еще не прошло 2 недели, то назначается медикаментозное лечение. Оно заключается в приёме антибиотиков, в которые входят: пенициллин, хлорамфеникол, цефотаксим.
Эти фармокологические средства значительно снизили смертность среди больных абсцессом ещё в сороковых годах. Препараты пациент принимает в течение 4-8 недель, но не позже чем за 4 недели до операции.
На данный момент ещё не проводились исследования, которые доказывают преимущества введения антибиотика внутрь гнойника.
Более того, большинство медиков не хотят рисковать, чтобы абсцесс не разорвался, и отдают предпочтение меропену, который хорошо проникает в очаг болезни.
Доказано, что совместная работа гормональных препаратов с антибиотиками искажает представление о стадии развития болезни и её размерах.
Антибактериальная терапия позволяет выздоравливать людям, которых госпитализировали на ранних стадиях.
Дальше это только подготовка к хирургическому вмешательству. Врачи клиник на данный момент практикуют полное удаление абсцесса или его дренирование. Пунктуационная аспирация применяется на ранних стадиях или на этапе церебрита.
Её эффективность доказана в случаях, когда гнойник расположен глубоко в голове. Если неврология больного покажет наличие воздуха в абсцессе или ухудшение общего состояния пациента – новообразование нужно удалять.

Полное извлечение капсулы поможет предотвратить повторное заражение, но операцию нужно проводить осторожно, без нарушения целостности образования. Дальше антибиотики следует применять в течение 3 дней с постоянным наблюдением пациента
После выздоровления человек может вернуться к полноценной жизни. Только у 30% людей наблюдаются судороги, эпилептические припадки, у остальных неврологическая картина нормальная.
Профилактика заболевания
Раннее диагностирование воспалительных заболеваний и полноценное их лечение могут предотвратить развитие абсцесса. Во время травмирования головы, необходимо как можно скорее обработать рану антибактериальными препаратами.

Comments
(0 Comments)