Пятна на зубах — причины, как избавиться
Пятна на зубах: как избавиться

Пятна на зубах — распространенное явление. Оно вызывает дискомфорт, иногда болезненные ощущения, не эстетично и некрасиво выглядит. Есть несколько видов зубных пятен: белые, черные (темные) и желтые пятна. Если появились непонятные следы на зубах, не следует заниматься самолечением — можно усугубить процесс и избавиться от него будет сложно.
Своевременное обращение к доктору позволит правильно определить причины появления и назначить нужное лечение, профилактические меры, чтобы подобное не повторилось.
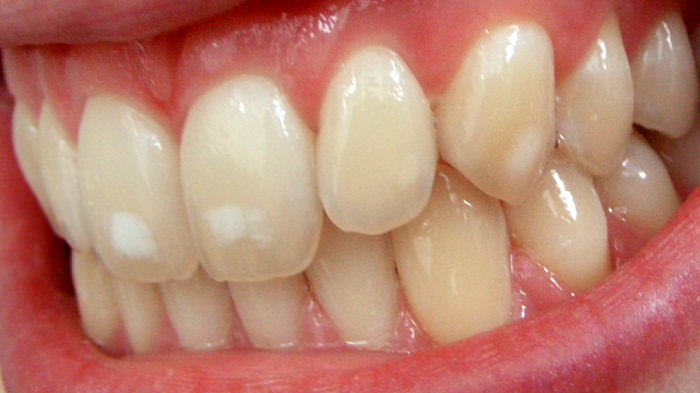
Пятна на зубах имеют разное происхождение. На фото — флюороз
Способы и методы медикаментозного удаления пятен
Белые пятна говорят о проблемах с зубной эмалью
Белые пятна появляются из-за недостаточного количества минералов в верхнем слое зуба — эмали. Такие следы могут быть серьезным симптомом, поскольку часто свидетельствуют о возможном повреждении зуба и дальнейшем развитии кариеса.
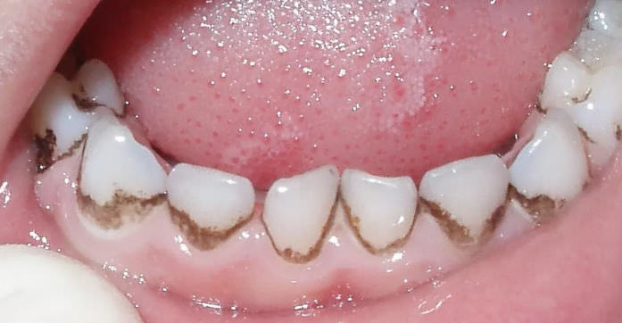
Черные зубки у детей
Основной причиной возникновения черных пятен являются различные микроорганизмы, вредные вещества, ведь на протяжении всей жизни ежедневно на зубы действует много раздражителей (еда, напитки, курение, лекарства, врожденные зубные дефекты).
Желтые пятна на зубах — признак системных заболеваний
Желтые пятна и желтый налет на поверхности зуба – самая частая проблема. Есть разные причины их возникновения (медикаменты, еда и напитки, вредные привычки). Не последнюю роль играет генетический фактор — у некоторых людей зубная эмаль желтая от рождения. Это зависит от индивидуальных особенностей зубов (строения зуба, величины слоя дентина под эмалью).
Как удалить черные пятна
Обращается внимание на выяснение причины потемнения. Черные пятна могут сигнализировать о начале кариеса. Поэтому упускать данный процесс нельзя. Существует несколько вариантов удаления пятен:
- отбеливание;
- механическое воздействие;
- пломбирование.
Для начала стоматолог зубы отбеливает специальными лекарскими средствами и покрывает поверхность эмали защитным слоем (на основе фтора), чтобы исключить повторное появление проблемы. В результате легкие пятна сразу исчезают.
Отбеливающая зубная паста поможет снять черные пятна
При механическом воздействии черные пятна на зубах удаляются:
- методом стирания (используя лекарства, врач аккуратно стирает поврежденный пятнами шар зубной эмали и наносит защитный);
- химическим способом (на почерневшие участки зуба наносится кислота).
Если процесс появления черных пятен на зубной эмали запущен, то применяется пломбирование поврежденных зубов. Такой способ более надежный и помогает остановить распространение черных точек.
Удаление белых пятен
Если образовались белые зубные пятна, желательно сразу идти к лечащему врачу-стоматологу. Доктор определит причину их появления и подберет наиболее правильный вариант лечения. Обычно используются такие методы:
- Отбеливание специальными лекарствами и покрытие зубов защитным фторидным слоем.
- Аккуратное стирание пятен с помощью абразивных материалов.
- Использование химических веществ (на пятна наносится кислота).
- Нанесение геля (смолы), он заполняет поврежденные места в зубе (пятна) и потом, под воздействием специального света, стает цвета здоровой эмали.
- Применение различных минерализованных медицинских средств (паст, жевательных резинок, гелей, порошков). В своем складе они содержат необходимые для зуба вещества.
Устранение желтых пятен
Отбеливающие полоски для зубов можно применять только для фронтального ряда
Чтобы удалить пятна желтого цвета, можно использовать как домашние средства, так и медикаментозные способы. Доктор-стоматолог для удаления таких пятен и налета применяет ультразвук. После использования данного способа зубы покрывают специальным защитным слоем, чтобы обеспечить их от дальнейшего повреждения или повторного потемнения.
Иногда врач может ставить на зубы капы. Это своеобразные накладки на поверхность зубов. Они наполнены лекарским средством, которое оказывает отбеливающий эффект на поврежденную, потемневшую эмаль.
Народные средства для удаления пятен на зубах
Устранения черных пятен
Народные методы можно применять только после обследования у лечащего врача. Среди них можно выделить:
- Лавровый листок — полезно полоскать рот отваром каждый день. Минимальный курс — несколько недель.
- Клубника — протирание ягодой клубники защищает зубы от налета и потемнения.
- Сода с морской солью — кашицу из них можно использовать вместо обычной зубной пасты.
- Сок лайма — действенное средство, но с ним нельзя перебарщивать, чтобы не получился обратный эффект.
- Овощи и фрукты — отбеливающий и укрепляющий эффект имеют яблока, морковь, капуста.
- Порошок соды — можно нанести на зубную щетку, добавить в пасту — отбеливает, улучшает цвет зубной эмали.
Народные средства для очистки зубов
Удаление белых пятен
Есть много вариантов, чтобы избавиться от белых пятен. Но не менее важно проводить профилактику их образования.
Можно самому приготовить зубную пасту, которая содержала бы достаточное количество необходимых для нормальных здоровых зубов минералов и полезных веществ. Нужно взять порошок кальция (5 ст. л.), соду (2 ст. л.
), диатомит пищевой (1 ст. л.), ксилит порошок (3 ст. л.), кокосовое масло (4 ст. л.), более приятным вкус сделает масло эфирное пищевое.
Неплохо помогает и зубной порошок. Для него берется специальная разновидность глины — бентонитовая.
Она способствует выведению различных вредных веществ из зубов, нормализует кислотно-щелочной баланс в полости рта, содержит много кальция и магния. На 4 ложки глины дается 3 ст. л. порошка кальция, по одной ложке столовой корицы и гвоздики молотых, ксилита и соды. Чтобы запах был приятнее, додают одну столовую ложку листков мяты или мятное эфирное масло.
Зубной пастой и порошком зубы нужно чистить два-три раза на протяжении дня.
Зеленый чай — отличный помощник при данной проблеме.
Он не только вкусный, но и содержит в своем складе много полезных веществ: витаминов, минералов, необходимых для нормального развития зубов; оказывает антибактериальное действие, предупреждает образование зубного налета и камня. Достаточно запарить пакетик чая в кипяченой воде (не очень горячей), настаивать 10 минут, потом полоскать рот несколько раз в день.
Масло чайного дерева очищает зубы
Растительное масло тоже используется при белых пятнах. Процедуру желательно повторять дважды в день (утром и перед сном).
Для начала берется одна или две столовые ложки масла (это может быть кокосовое), рот полощется около двух минут, потом время процедуры можно сделать дольше.
Обратите внимание
Масло удаляет вредные вещества, что находятся в ротовой полости, укрепляет зубную эмаль, имеет отбеливающий эффект.
Лимонный сок отбеливает поверхность зубов. При использовании данного способа следует быть осторожным, поскольку при чрезмерном пользовании зубная эмаль может ослабнуть. Это связано с тем, что в лимоне есть большое количество отбеливающего вещества.
Избавление от пятен желтого цвета
В домашних условиях для устранения желтизны полезно использовать различные зубные пасты и порошки. Их можно приготовить самому из практически подручных средств — соды, порошка кальция, глины, эфирных масел, ксилита. Но слишком длительное время пользоваться такими средствами нежелательно, поскольку они могут начать негативно влиять на эмаль зуба, нарушая ее целостность.
Образование на зубах пятен — белых, черных или желтых – неприятное, но часто встречаемое явление. Эта проблема не только эстетическая, но и физиологическая.
Сода и перекись можно использовать, но редко
Для устранения пятен любого вида применяются медикаментозные методы и народные средства.
Среди медикаментозных методов популярны: отбеливание, пломбирование, стирание химическими и абразивными средствами.
Народные способы включают в себя использование различных зубных паст, порошков, настоек из зеленого чая, употребление фруктов и овощей, обладающих отбеливающим эффектом, соды и морской соли.
Для предупреждения образования пятен нужно придерживаться здорового образа жизни (исключить вредные привычки), следить за своим питанием (употреблять поменьше пищи с красителями, кофейных напитков), регулярно и правильно чистить зубы, кушать еду, которая содержит необходимые для зубов вещества (яблоки, тыкву, морковь, капусту, рыбу).
Коричневые пятна на зубах

Появление коричневых пятен на поверхности зубов – неприятный процесс, способный стать причиной психоэмоционального дискомфорта и привести к развитию депрессивного состояния из-за проблем с социализацией.
Пятна темно-желтого и коричневого цвета многие считают косметическим дефектом, но патология может представлять опасность и для здоровья полости рта, так как одной из причин появления подобных пигментированных участков является инфицирование твердых тканей и слизистых оболочек.
Для борьбы с проблемой можно воспользоваться народными рецептами, аппаратными методами и специальными препаратами, но лучше, если подходящий способ лечения будет назначен лечащим стоматологом. Чтобы избежать рецидива патологии, необходимо устранить все провоцирующие факторы, иначе результат будет кратковременным, и человеку придется обращаться за помощью повторно.
Коричневые пятна на зубах
С чего начать: возможные причины
Лечение не будет успешным, если не устранить причины и факторы, отрицательно влияющие на зубную эмаль и способствующие развитию патологии, поэтому важно собрать подробный анамнез и выяснить, что именно привело к отложению пигмента на поверхности эмалевого покрытия.
Чай и кофе – главные враги
Злоупотребление чаем и кофе приводит к темным пятнам на зубах
Самой распространенной причиной образования коричневых пятен у взрослых пациентов является злоупотребление напитками, содержащими кофеин. Лидерами по количеству кофеина являются все сорта и виды черного и зеленого чая, а также кофейные зерна, из которых готовится молотый, сублимированный кофе и кофейные напитки.
Стоматологи считают, что потребление этих напитков следует сократить до 1 чашки в день. Любителям чая лучше отдать предпочтение травяным чаям.
Напитки, приготовленные из ромашки, липы, мелиссы, мяты или чабреца, не только сохранят здоровье и красоту зубов, но и помогут справиться со стрессами, наладить работу сердечной мышцы и улучшить проводимость нервных импульсов, от которых зависит речь и двигательная координация.
Табачная и алкогольная зависимость
Никотин способствует медленному разрушению эмали и появлению на ней трещин и других дефектов
Никотин – один из сильнейших алкалоидных ядов – способствует медленному разрушению эмали и появлению на ней трещин и других дефектов.
Никотиновый дым, содержащий более 30 видов вредных смол, оседает на поверхности зубов и образует плотный налет, который может равномерно покрывать зубы или локализовываться на определенных участках, образуя пятна коричневого цвета.
Чтобы замедлить разрушение и деминерализацию зубной эмали, необходимо полоскать рот кипяченой водой или специальными ополаскивателями после каждой выкуренной сигареты. Бальзамы и ополаскиватели лучше выбирать на основе растительных компонентов – они мягко очищают эмаль от загрязняющих веществ и подходят для регулярного использования.
Растительные бальзамы и ополаскиватели для пациентов с табачной зависимостью
| «Лесной бальзам» | 80-120 рублей |
| «TWIN LOTUS Гвоздика» | 480-520 рублей |
| «IGIENE ORALE» | 780 рублей |
| «32 жемчужины Яблоко» | 110 рублей |
Другие причины
Среди других причин, способных привести к появлению коричневых пятен на зубах, можно отнести:
- неполноценное питание, на фоне которого развивается острый дефицит кальция, фосфора, железа и других элементов, необходимых для здоровья эмали;
- использование зубных щеток с жесткой щетиной, царапающей эмаль (в трещины попадают бактерии, выделяющие токсичные вещества, которые окрашивают зубную эмаль в темно-желтый и коричневый цвет);
- заболевания пародонта (пародонтит, пародонтоз);
- хронические болезни пищеварительной системы;
- дисбактериоз полости рта;
- глистная инвазия.
Симптомы пародонтита
Среди пациентов старше 45 лет различными патологиями эмали страдают около 60 %, поэтому люди данной возрастной категории входят в группу риска по образования пигментированных дефектов.
Как избавиться: эффективные способы
Избавиться от коричневых пятен можно достаточно быстро, но для профилактики рецидива пациент должен пересмотреть свой рацион, максимально сократить (а лучше – совсем отказаться) потребление вредных и отравляющих веществ, соблюдать советы стоматолога по уходу и гигиене полости рта. Большое значение имеет своевременная санация очагов инфекции, поэтому при появлении признаков кариеса необходимо не ждать, когда болевой синдром достигнет высокой интенсивности, а сразу обращаться к врачу. Профилактический осмотр рекомендован не реже 2 раз в год.
Стоматолога необходимо посещать не реже 2 раз в год
Ниже приведены самые эффективные способы, с помощью которых можно избавиться от пятен, осветлить зубную эмаль, придать ей гладкость и растворить бактериальные бляшки.
Паста из активированного угля и соды
Активированный уголь – один из самых мощных сорбентов, «вытягивающий» все вредные вещества и токсины, которые выделяют бактерии, обитающие на поверхности твердых тканей зуба. Карбонат натрия обладает выраженным отбеливающим действием и эффективно растворяет бляшки на зубах, способствуя выравниваю тона эмалевого покрытия и устранению пятен.
Чтобы приготовить пасту, необходимо:
- 4 таблетки активированного угля измельчить до состояния порошка;
- смешать с чайной ложкой соды;
- добавить 10 капель воды (чтобы получилась консистенция кашицы).
Активированный уголь – один из самых мощных сорбентов
Полученного количества должно хватить на 2-3 применения – именно столько раз необходимо наносить пасту на поверхность пигментированных зубов. Для этих целей удобнее всего использовать зубную щетку, но можно просто массировать зубы пальцем по направлению чистки зубов. Продолжительность использования – 14 дней.
Томатное пюре
Томаты входят в число десяти самых эффективных продуктов для отбеливания зубов и разрушения зубных отложений.
Они содержат ликопин – пигмент из группы каротиноидов, обладающий выраженными антиоксидантными свойствами и придающий томатам характерную ярко-красную окраску.
Использовать помидоры для борьбы с коричневыми пятнами можно в любом возрасте. Единственным противопоказанием для использования данного рецепта является аллергия на томаты.
Томаты входят в число десяти самых эффективных продуктов для отбеливания зубов
Использовать помидоры необходимо по следующему рецепту:
- при помощи блендера измельчить один спелый помидор (снимать кожицу не нужно);
- добавить ложку муки и щепотку поваренной соли;
- по-хорошему перемешать, чтобы в массе не было мучных комочков.
Наносить массу на зубы необходимо 2 раза в день в течение 1 месяца. Томаты действуют мягко, не травмируют зубную эмаль и способствуют повышению местного иммунитета, не вызывая повышенной чувствительности эмали, которая может появиться при применении других методов.
Смесь лимонного сока и соды
Сок лимона использовался для отбеливания зубов и борьбы с кожными дефектами еще несколько столетий назад. Он растворяет бактериальные бляшки, размягчает зубные отложения и способствует восстановлению природного цвета эмали.
Сок лимона растворяет бактериальные бляшки, размягчает зубные отложения и способствует восстановлению природного цвета эмали
Готовится смесь очень просто:
- чайную ложку соды смешать с таким же количеством лимонного сока;
- добавить по 2 капли перекиси водорода 3 % и кипяченой воды;
- перемешать.
Обрабатывать зубы этой смесью нужно 1 раз в день между приемами пищи или после вечерней чистки зубов. Курс применения – от 1 до 3 недель (зависит от результата).
Видео — Пятна на зубах. Как от них избавиться?
Если приведенные выше методы не помогают, необходимо обратиться к стоматологу-гигиенисту. Врач выполнит профессиональную чистку зубов, удалит зубной камень и даст рекомендации по правильному уходу и питанию.
При наличии стоматологических заболеваний или очагов инфекции (например, зубов, пораженных кариесом) будет выполнена санация ротовой полости и назначено поддерживающее лечение.
При отсутствии противопоказаний пациенту может быть предложена процедура лазерного или ультразвукового отбеливания зубов, а также воздействие холодным ультрафиолетом. Окончательное решение о том, какой способ будет самым эффективным и не вызовет осложнений, должен принимать лечащий врач.
Пятна на зубах

Пятна на зубах – клиническое проявление специфического характера, которое, как правило, указывает на развитие заболевания стоматологического характера. Кроме этого, не исключается и негативное воздействие внешних факторов – курение, употребление определённых продуктов питания, которые нарушают целостность эмали, несоблюдение личной гигиены.
Установить, почему появились пятна на эмали зубов, может только квалифицированный врач, путём проведения физикального осмотра и необходимых, в этом случае, диагностических процедур.
Лечение, в большинстве случаев, консервативное и направлено на устранение первопричинного фактора. Самолечение, в том числе и посредством средств народной медицины, недопустимо, так как может привести к осложнениям.
Этиология
Светлые или тёмные пятна на зубах у ребёнка, взрослого, могут быть следствием как внешних, так и внутренних этиологических факторов воздействия.
К внешней этиологии следует отнести:
- несоблюдение гигиены ротовой полости;
- злоупотребление алкоголем, табакокурение;
- приём определённых медикаментозных препаратов;
- чрезмерное употребление продуктов с повышенной кислотностью, так как они могут разрушать эмаль;
- слишком большое количество чёрного чая, кофе и кофеиносодержащих напитков;
- образование зубного налёта.
Что касается заболеваний, в клинике которых есть этот симптом, следует выделить такие:
- образование трещин на эмали;
- кариес;
- гипоплазия эмали;
- флюороз;
- истончение эмали и слоя дентина;
- использование пломбировочного материала, в составе которого есть медная амальгама;
- недостаточное количество фтора;
- удаление нерва;
- попадание инфекции в пульпу, что приводит к образованию тёмного пятнышка на поверхности зуба и матовости поверхности;
- специфический состав слюны.
Кроме этого, могут образовываться пятна на зубах после брекетов, при условии длительного ношения.
Белые пятна на зубах после снятия брекетов
В некоторых случаях могут образовываться пятна на зубах после отбеливания, однако установить точную причину такого патологического процесса может только квалифицированный врач.
Пятна на молочных зубах могут быть следствием неправильного температурного режима пищи, которую потребляет ребёнок – резкое чередование холодного и горячего, злоупотребление сладким и фастфудом. Устранять такую патологию нужно своевременно, так как в обратном случае это может привести к развитию кариеса.
Симптоматика
Клиническая картина будет зависеть от того, что именно спровоцировало проявление такого симптома.
Если причиной проявления такого симптома стало стоматологическое заболевание, то возможно проявление следующей клинической картины:
- резкая реакция при употреблении холодной и горячей пищи;
- зубная боль острого или ноющего характера, в зависимости от типа патологического процесса;
- неприятный запах изо рта;
- кровоточивость дёсен, что особенно видно во время чистки ротовой полости;
- потемнение эмали;
- на поверхности зуба могут образовываться дефекты в виде углублений, трещин, эрозий;
- матовость поверхности зуба;
- частые стоматиты.
В зависимости от причины этого клинического проявления, по мере усугубления патологического процесса может присутствовать отёчность мягких тканей, образование гнойной капсулы на десне, что в народе именуются как флюс. В таком случае нужно срочно обращаться за медицинской помощью, так как гнойный процесс может привести к образованию серьёзных осложнений.
Если пигментные пятна на зубах образуются из-за воздействия внешних этиологических факторов, то, как правило, дополнительной клинической картины нет. Однако это не исключает того фактора, что может начаться патологический процесс с соответствующим симптоматическим комплексом.
Диагностика
Диагностика, в этом случае, будет основываться на физикальном осмотре и проведении инструментальных методов диагностики.
Обследование радиовизиографом
Инструментальное обследование может включать в себя такие методы:
- рентгенография;
- обследование поражённых участков радиовизиографом;
- реодентография;
- реопародонтография;
- микроскопия.
Лабораторные методы обследования, если это стоматологическое заболевание, не используются, так как не представляют диагностической ценности.
Лечение
Как избавиться от пятен на зубах, будет известно только после получения результатов анализов и установления провоцирующего фактора.
В целом терапевтические мероприятия могут включать в себя следующие процедуры:
- очистка зубной эмали при помощи специальных инструментов и пасты;
- обработка десны дезинфицирующим средством;
- удаление поражённого зуба, при необходимости.
Если причина образования тёмных пятен на зубах специфический состав слюны, то могут дополнительно назначить такие медикаментозные средства:
- «Ремодент»;
- «Профакар»;
- «Monobond Plus».
Также дополнительно могут назначить антибиотики, если причиной этого симптома является инфекционное заболевание.
В целом, при условии своевременного начала лечения и правильного последующего отбеливания эмали, прогноз благоприятный, осложнений не наблюдается.
Профилактика
В качестве профилактики недугов, в клинике которых есть данный симптом, следует отнести такие рекомендации:
- тщательное соблюдение гигиены ротовой полости;
- своевременное и правильное, с медицинской точки зрения, лечение стоматологических недугов;
- соблюдение культуры питания – правильно подобранный рацион, соблюдение температурного режима.
Помимо этого, нужно систематически проходить профилактический осмотр у стоматолога.
Темные пятна на зубах: почему появляются и как убрать

Любой человек, даже тот, который не пренебрегает мерами ежедневного ухода за полостью рта, рискует столкнуться с появлением потемневших участков на эмали. Темные пятна на зубах: что с ними делать и о чем сигнализируют?
Почему появляются
Стоматологи назовут много причин возникновения косметического недостатка. К ним относятся:
- изменение со временем цвета налета, который практически всегда присутствует на зубах, но дважды в день в норме снимается щеткой и пастой;
- наследственность;
- заболевания органов ЖКТ;
- наличие старых пломб, выполненных из амальгамы;
- курение;
- длительное ношение брекетов, из-за чего места прилегания конструкции к эмали плохо прочищаются;
- при лечении глубокого кариеса врач недостаточно прочистил каналы;
- флюороз;
- гипоплазия эмали (чаще у детей);
- прикорневой кариес (темные пятна локализуются у десен, там, где проходит шейка зуба);
- дисбактериоз;
- стирание эмали вследствие возрастных изменений, неправильного прикуса (с течением лет происходит некоторая усадка десны, обнажается шейка, в процессе жевания зубы трутся друг о друга);
- употребление антибиотиков тетрациклинового ряда.
Коричневые темные пятна обычно изначально белые или желтоватые. Темнеют они в том случае, если вовремя не обратить на них внимание.
В одних случаях стоматолог почистит зубы выбранным профессиональным методом, в других придется вплотную заняться своим здоровьем – обследоваться, чтобы выяснить, не кроется ли здесь более глубоко спрятанная причина.
Кариес
Темные пятна на зубах у ребенка – проблема, требующая отдельного разговора. Что служит пусковым фактором в этом случае? Эмаль теряет естественную белизну, если:
- мать болела в период вынашивания малыша – в этом случае зубы закладываются уже нездоровыми, и цвет первых молочных зубов может сильно отличаться от белоснежного;
- недостаток влаги в организме малыша, что способствует размножению бактерий в полости рта;
- избыток железа в пище;
- неправильное усвоение кальция (обратите внимание, не слоятся ли ногти, хорошо ли растут волосы);
- гипоплазия эмали;
- наблюдается одна из первых стадий кариеса;
- врач поставил диагноз «налет Пристли».
Даже у годовалого ребенка-грудничка зубы иногда темнеют. Появились пятна? Первым делом обратитесь к врачу.
Налет Пристли
Многие считают, что нет смысла уделять повышенное внимание молочным зубам – все равно выпадут. Но при наличии больных зубов десны тоже не смогут долго оставаться здоровыми. Возможны гингивит, стоматит. Кроме того, бактерии плотно обосновываются в ротовой полости ребенка и сразу испортят постоянные зубы, как только они прорежутся.
И не забывайте: больные зубы – источник инфекции, которая с током крови и лимфы разносится по всему организму. У ребенка, зубки которого поражены кариесом, чаще случаются фарингиты, ангины, ринит и гайморит. Педиатры нередко обнаруживают у таких малышей увеличенные миндалины.
Тоже относится к взрослому человеку. Только его организм может долго справляться с бактериями, так как иммунитет сильнее. Но при малейшем его ослаблении, например, переохлаждении, ждите в гости ларингит, тонзиллит или ангину.
Цвет темных пятен
К счастью, не любое пятнышко темного цвета свидетельствует о серьезных проблемах в организме. Давайте рассмотрим отдельные случаи, для удобства представив их в виде таблицы.
| Цвет пятен | Причина появления | Метод лечения |
| Коричневые, неровные, сразу на нескольких зубах | Налет курильщика | Провести профессиональную чистку и бросить курить |
| Серые, неровные | Гипоплазия эмали | Зубы покрывают специальными составами для укрепления эмали. Лечение – только в кабинете стоматолога |
| Изжелта-коричневые, темно-коричневые | Начальная стадия кариеса, когда появившееся белое пятно темнеет | Обработка пятна и покрытие участка пломбой |
| Коричневые | Пигментация вследствие употребления красящих продуктов. Пористая эмаль | Профессиональная чистка зубов |
| Черные | Кариес, заболевания внутренних органов | Лечение кариеса, обследование и лечение заболеваний ЖКТ |
| Желтовато-темный налет у ребенка | Плохая гигиена полости рта | Обучение ребенка правильной чистке зубов, контроль за ее ежедневным проведением |
| Черный налет у ребенка | Присутствие особых бактерий – налет Пристли | Особого лечения не назначают, наблюдение. Налет обычно самопроизвольно исчезает |
Цвет темных пятен также зависит от индивидуальных особенностей организма. Возможно, вы думаете, что у вас кариес, а стоматолог, проведя осмотр, диагностирует только возрастные изменения или потемнение депульпированного зуба.
Стадии кариеса
В любом случае обращение к врачу за консультацией обязательно.
В кабинете стоматолога
Избавиться от налета без предварительного осмотра невозможно. Поэтому сначала вы придете на прием, в процессе которого врач установит причину изменения оттенка эмали. Затем он утвердит способ, которым уберет пятна и сделает вашу улыбку белоснежной.
Если диагностированы кариозные изменения, придется подлечить зубы, иначе на месте пятна возникает полость, которая наполнена болезнетворными микроорганизмами.
Следующая стадия – пульпит, когда доктору надо будет провести операцию по удалению больного нерва.
Не доводите ситуацию до этой стадии – вылечите кариес на стадии пятна.
Важно
Кариес в стадии пятна
Если происхождение пятен вызвано иными причинами, врач предложит профессиональную чистку. Используемые методы:
- ультразвуковая чистка;
- лазерное отбеливание;
- фотоотбеливание;
- химическое отбеливание;
- применение Air Flow.
Самым безопасным методом стоматологи считают ультразвуковую чистку. Специальным аппаратом доктор пройдется по всем поверхностям зубов, включая внутреннюю сторону, межзубные промежутки, пришеечные области. Удалит и мягкий, и твердый налет – в итоге зубы посветлеют, ликвидирует опасность развития кариеса.
Иногда в процессе чистки повреждается десна, особенно если было много темных пятен в пришеечной области. Не пугайтесь, если десны слегка кровоточат. Применяйте 7 дней после чистки гель «Метрогил дента» — он быстро заживит ранки и сделает ткани десен крепкими и здоровыми.
Лазерное отбеливание одновременно и удаляет налет, и осветляет зубы. Кстати, принцип действия в этом случае похож с фотоотбеливанием. На зубы наносят гель, который активизируют лазерным лучом (или лампой). Высвобождаются молекулы кислорода, которые очищают зубы и оздоравливают полость рта.
Этап процедуры
К химическому отбеливанию прибегают не так часто. Причина в следующем: состав, которым покрывают зубы для придания им светлого оттенка, достаточно агрессивен.
Он проникает в ткани эмали и дентина, может ослабить их, разрушив естественный защитный барьер. Еще один минус этой процедуры: опасность случайного повреждения десен.
Разумеется, предварительно их закроют, но полностью исключить вероятность попадания агрессивных веществ на ткани десны все-таки нельзя.
Врачи предупреждают об этих подводных камнях.
Стоматолог предлагает прибегнуть к Air Flow? Попробуйте! Активно используемая сегодня, проверенная временем методика. На зубы вместе с мощной струей воды подается чистящий порошок, механически смывающий все отложения: и твердые, и мягкие. После, врач полирует зубы, наносит на них пасту, чтобы успокоить раздраженные десна.
Взгляните на фото до и после отбеливания: впечатляет?
До и после отбеливания
В домашних условиях
Убрать темные пятна можно и дома, но ответственность за результаты ложится на плечи пациента.
Методы следующие.
Рецепт № 1
Попробуйте таким образом обрабатывать зубы пару раз в неделю. Но учтите, что при тонкой, хрупкой эмали метод противопоказан: поверхность ее легко повредить.
- Растолките в чайной ложке таблетку активированного угля.
- Нанесите получившийся порошок на щетку.
- Чистите зубы, как если бы это была гигиеническая паста.
- Прополощите рот.
- Почистите зубы своей пастой, которую обычно используете.
Рецепт № 2
Составом почистите зубы. Не увлекайтесь методом: сода агрессивна, а сок лимона разъедает эмаль.
- Возьмите треть ч. л. соды.
- Смешайте соду с одной третью ч. л. зубного порошка.
- Добавьте сок выжатого только что лимона.
Рецепт № 3
Просто жуйте время от времени цедру лимона – это помогает убрать налет и отбелить зубы.
Полезные советы
Используйте отбеливающую пасту. Вариант выбора – Lacalut White. Производитель рекомендует применять не чаще 4 раз в неделю, чтобы это было безопасно для эмали. Хорошим эффектом обладает паста Rembrandt. С ней вы добьетесь уничтожения темного налета и отбеливания эмали на 3–4 тона без профессиональной чистки.
Очень удобны специальные капы, заполненные гелем с пероксидом водорода в составе. Наденьте ее на ночь, а утром снимите. Гель бережно осветлит зубы. Но злоупотреблять тоже не стоит: доведение зубов до идеального белого оттенка чревато деминерализацией. Придется потом лечить и восстанавливать структуру эмали.
Рекомендации доктора Зубастика
В наше время главная задача – установить причину изменения оттенка. Самостоятельно сделать это не получится, поэтому я не приветствую домашнее отбеливание. Неграмотные действия пациента приводят к истончению верхнего защитного слоя, покрывающего зуб. Итог: увеличение чувствительности, деминерализация, развитие кариеса.
Берегите зубы – ведь, несмотря на все достижения современной медицины, пока не удается решить проблему выращивания нового, «своего» зуба в лабораторных условиях. Выход по-прежнему один – протезы. А к ним надо привыкнуть. Поэтому заботьтесь о зубах, навещайте стоматолога не реже раза в год и выполняйте рекомендации, которые он даст. В том числе и по отбеливанию. Здоровья вам!
В заключение небольшое видео о том, как избавиться от темных пятен:
Зубные пятна: причины возникновения и методы избавления от темных пятен на зубах

Одной из часто встречающихся стоматологических проблем являются пятна на зубах. Изменение цвета эмали не только выгладит не эстетично, но и может вызывать боль.
Специалисты выделяют несколько разновидностей изменения цвета зубной эмали – белые, желтые, темные. Если на зубах было обнаружено пятно, не следует пытаться удалить его самостоятельно. Самолечение может осложнить положение.
Следует в короткие сроки обратиться к врачу, который установит причину, назначит лечение и профилактические мероприятия.
Совет
Пятна могут появиться в любом возрасте. Это может быть связано с большим количеством внешних и внутренних причин. Очень часто пигментация эмали возникает в результате чрезмерного употребления красящих напитков или продуктов – черного чая, кофе, красного вина.
От потемнения зубной эмали страдает большинство курильщиков. Эмаль может изменить цвет в результате образования зубного налета или зубного камня. Эти факторы можно легко устранить в любом возрасте в течение короткого времени.
Достаточно устранить вредоносное воздействие, а также выполнить комплекс специальных мероприятий по профессиональной очистке и отбеливанию зубов. Но есть причины, которые кроются гораздо глубже и не зависят от внешнего воздействия.
Они связаны с наследственностью человека и состоянием его организма в целом.
В некоторых случаях темные пятна на зубах появляются в результате нарушения технологии установки пломбы, использовании некачественного пломбировочного материала или средств, содержащих медную амальгаму.
В этом случае потемнение может образоваться не только на поверхности коронки зуба, но и десны.
Такие дефекты устраняются при помощи специального отбеливающего геля, который способствует осветлению внутренней части зубного канала.
Очень часто потемнение эмали наблюдается у пациентов старшего возраста. Это связано с возрастным истончением эмали или приемом ряда лекарственных препаратов.
Длительный прием антибиотиков тетрациклинового ряда вызывает образование пятен желтого или серого цвета.
Обратите внимание
К причинам, вызывающим образование темных пятен на зубах, стоматологи относят избыточное или недостаточное содержание фтора.
Пигментация у детей может быть связано с приемом горячей или холодной пищи, травмами, заболеваниями слизистой поверхности полости рта.
Очень часто пятна на зубах в детском возрасте появляются в результате несбалансированного питания или дефицита витаминов и минеральных компонентов, изменяющих состав слюны, которая влияет на пигментацию.
Развитие кариеса в детском возрасте может вызвать образование пятен на молочных зубах.
Окраска зубной эмали может измениться при возникновении микротрещин. Трещины способствуют быстрому проникновению внутрь красящих веществ, оказывающих влияние на цвет поверхности зуба.
Виды пятен
Специалисты выделяют несколько видов пятен на поверхности зубов, возникновение которых связано с определенными причинами.
- Белые пятна сигнализируют о недостатке минеральных веществ в зубной эмали. Их нехватка может привести к развитию кариеса и другим повреждениям зуба. Развитие пятен белого цвета может быть вызвано недоразвитием тканей зуба или нарушением обмена веществ.
- Черные пятна образуются в результате воздействия патогенных микроорганизмов в ротовой полости.
- Желтые пятна – это наиболее часто возникающая проблема. Причиной их образования могут быть различны: заболевания внутренних органов, курение. Лекарственные препараты, продукты питания и напитки. У некоторых людей желтый цвет эмали зубов является естественным и зависит от индивидуальных особенностей организма.
Диагностика
Причиной обращения к врачу должны стать такие симптомы, как появление на зубах пятен молочно-белого цвета, утрата эмалью блеска и ее потемнение, кровоточивость десен, образование пигментных пятен на зубах и дефектов в виде углублений.
Лечение
Удаление пятен на зубах представляет собой целый комплекс мероприятий, который назначается исходя из результатов диагностики. Как правило, лечебные процедуры заключаются в гигиеническом очищении полости рта от мягкого налета с помощью ультразвука, специальных средств и приспособлений, обработке антисептическими средствами.
Очень часто для очищения поверхности зубной эмали используются специальные накладки, виниры, которые не только помогают осветлить зубы, но и при необходимости исправить их форму.
Для сохранения результата зубную эмаль покрывают специальным лаком, который защищает ее поверхность от действия болезнетворных бактерий и повышает прочность.
Такая процедура важна для пациентов, страдающих повышенной чувствительностью зубов.
При выборе схемы лечения потемнения эмали особое внимание должно быть уделено его типу, поскольку нарушение пигментации может быть вызвано разными причинами.
- Как избавиться от пятен черного цвета
Одной из причин образования черных пятен может быть кариес, который требует немедленного лечения. Чтобы удалить черные пятна с поверхности зубов стоматологи используют механическую чистку с использованием специальных абразивных средств, отбеливание зубной эмали и пломбирование пораженного зуба.
В завершении манипуляций зубная эмаль покрывается специальным фторсодержащим составом, который препятствует повторному образованию пигментации.
Важно
Белые пятна стирают с помощью специального бережного состава. Далее, наносится гель, который заполняет поврежденное пространство. Затем проводится отбеливание и нанесение специального фторидного слоя.
Для устранения пигментации можно обратиться к специалисту или использовать широкий арсенал домашних средств. Желтый налет устраняют ультразвуковым методом. На поверхность зубов обязательно наносят покрытие, которое защищает от повторного изменения цвета и повреждения эмали. Эффективно использование кап, наполненных отбеливающим средством.
Устранение пигментации в домашних условиях
Избавиться от пятен на зубах можно самостоятельно, используя домашние средства. Такая процедура будет эффективна, если пигментация незначительна и возникла в результате внешнего воздействия.
Народная медицина предлагает множество рецептов, которые помогут избавиться от пятен на поверхности зубов. Но следует помнить, что их использование имеет ряд противопоказаний:
- детский возраст, когда происходит замена молочных зубов на постоянные;
- беременность, при которой темные пятна могут быть признаком гормональной перестройки организма;
- аллергические реакции, вызванные использованием тех или иных средств.
Одним из хорошо зарекомендовавших средств является гель Колгейт. Перед использованием средства необходимо тщательно очистить полость рта гигиенической зубной пастой и высушить поверхность зубов марлевой салфеткой.
Гель наносят на поверхность каждого зуба и выдерживают в течение 15-20 минут. Очищение проводится ежедневно. Как правило, результат становится заметен на 5-6 день. Такой способ очищения подходит с 12-летнего возраста.
Многие люди для отбеливания используют пищевую соду. Не стоит забывать, что бикарбонат натрия – это агрессивное вещество, которое не только удаляет пигментные пятна, но и приводит к истончению зубной эмали. В связи с этим соду рекомендуется использовать не чаще одного раза в 7-10 дней.
Для нанесения соды используется слегка увлажненный ватный тампон, который обмакивают в соду и наносят ее на поверхность зубов. Очищение осуществляется легкими круговыми движениями, не касаясь десен. При воздействии соды на мягкие ткани может возникнуть отек и раздражение.
Для осветления рекомендовано использование лимонного сока. Однако, следует помнить, что это в первую очередь кислота, которая способна оказать негативное воздействие на зубную эмаль. Для нанесения средства используется ватная палочка. После нанесения лимонный сок на зубах оставляют на 2-3 минуты, затем тщательно выполаскивают ротовую полость.
Древесную золу издавна использовали для отбеливания зубов. Для процедуры следует использовать состав, который продается в аптеках. Золу немного увлажняют и пальцем наносят легкими массирующими движениями на поверхность. Зола полностью безвредна, ее можно применять до трех раз в неделю. После процедуры следует прополоскать рот теплой кипяченой водой.
Активированный уголь отличается своими очищающими свойствами. Для обработки полости рта понадобится одна таблетка, которую следует тщательно измельчить.
Совет
Полученный порошок необходимо увлажнить и нанести состав с помощью ватной палочки на поверхность зубов.
При использовании средства следует помнить, что оно может вызвать образование микротрещин на поверхности эмали и повредить мягкие ткани полости рта, поэтому активированный уголь используют не более двух раз в неделю.
Пятна, точки и полосы на зубах у взрослого и ребенка: как избавиться и почему они появляются?

Белоснежная улыбка делает лицо более привлекательным, ведь она свидетельствует о здоровье человека. Однако бывает, что на эмали появляется пятно, которое отличается от цвета зуба.
Пятно может быть желтым, черным и даже белым и возникать в любом возрасте, в том числе у ребенка.
Вне зависимости от цвета, это весомый повод, чтобы совершить внеплановый поход к специалисту — он сможет определить причину и назначить лечение.
Пятна на зубной эмали: плохой уход или заболевание?
Нельзя однозначно сказать, что именно вызывает появление пятен на зубной эмали.
Из-за недостатка гигиены во рту образуется налет, который со временем может привести и к формированию зубного камня, и к заболеваниям зубов и десен. Разобраться в этом поможет стоматолог.
Стоит учесть, что пятно, появившееся вследствие плохого ухода, может позднее стать признаком заболевания, поэтому поход к врачу должен быть своевременным.
ЧИТАЕМ ТАКЖЕ: как выглядит зубной камень на зубах у людей и его фото
Причины появления «цветных» отметин
Пятна на зубах появляются по ряду причин:
- Плохой уход. Халатное отношение к чистке зубов приводит к оседанию налета на эмали.
- Черный чай, кофе, красное вино. Пигменты, которые содержаться в напитках, оседают на эмали и закрепляются в ее неровностях. Со временем они накапливаются, и окрашивание становится более заметным.
- Температурные перепады. Из-за резкого расширения и сужения тканей зубов в них появляются трещинки и поры, что приводит к окрашиванию и даже разрушению эмали.
- Удаление зубного нерва. В этом случае меняет цвет не эмаль, а сердцевина зуба.
- Лекарства. Некоторые медикаментозные средства оказывают влияние на цвет зубного ряда. Так, если ребенку назначают препарат с повышенным содержанием железа, его зубы могут окраситься в желтый цвет. Также вызывает стойкое окрашивание эмали употребление в больших дозах препаратов тетрациклинового ряда.
- Курение. Курильщик воздействует на зубы никотином, смолами и перепадом температур. В эмали появляются микротрещины, она становится рыхлой и впитывает посторонние вещества, в том числе пигментные, – так образуются пятна и точки (рекомендуем прочитать: почему образовываются пигментные пятна на зубах и как с ними бороться?).
- Авитаминоз и гиповитаминоз. Иногда появление пятен на эмали сигнализирует человеку о дефиците каких-либо витаминов и минералов или, наоборот, об их избытке. Так, чрезмерное количество фтора вызывает появление белых пятен на зубах.
- Желтуха. Если во время болезни зубы начали желтеть, скорее всего, это один из симптомов желтухи (см. также: почему у взрослых обычно желтеют зубы?). Он исчезнет после выздоровления.
- Дисфункции эндокринных желез.
- Кариес. Точки на зубах часто бывают ранними симптомами поражения.
Белые пятна
Основная причина появления на зубах белых пятен – патология внутренних органов. Кроме этого, они могут свидетельствовать о нарушенном обмене веществ. Однако не стоит беспокоиться, если белые пятна появились после принятия курса антибиотиков, возможно, что это один из побочных признаков. Наличие светлых пятен может говорить и о начале кариозного процесса, и о гипоплазии, и о флюорозе.
Серые и черные
Серые и черные пятна могут быть признаками как кариеса, так и налета Пристли. Вторая причина часто встречается у детей, но и у взрослых ее тоже можно обнаружить.
Образуется налет Пристли из-за размножения во рту пигментообразующих бактерий. Поскольку у детей противомикробная активность слюны менее выражена, чем у взрослых, проблема встречается у них гораздо чаще.
С возрастом активность слюны увеличивается, и черный налет исчезает.
ЧИТАЕМ ТАКЖЕ: как можно избавиться от черных точек на зубах?
Черные точки и пятна могут появиться и из-за болезней внутренних органов, и из-за воздействия никотина (рекомендуем прочитать: что означает черная точка на десне и нужно ли ее лечить?). Серые отметины могут появиться из-за нарушения микрофлоры кишечника или изменения цвета дентина (следующего после эмали слоя зубной ткани).
Пятна желтого цвета
Желтые пятна на зубах свидетельствуют прежде всего о плохой гигиене ротовой полости. Чтобы выяснить причину, рекомендуется посетить врача, и не только зубного. Иногда отметины такого цвета появляются при развитии патологий почек, сердца, а также приема антибиотиков и других лекарственных препаратов.
«Полосатые» зубы
Возникновение полос на зубах может быть признаком серьезной болезни – гипоплазии эмали, дентина, цемента. Неважно, на скольких зубах появились полосы, так как о заболевании говорит даже один «полосатик».
Характерная особенность заболевания в том, что дефекты обнаруживаются только у тех зубов, которые росли в одно время.
Важно понять, что зуб уже вырос с этим заболеванием, которое возникло из-за нехватки минеральных веществ в период до 6 лет, поэтому врач восполняет нехватку питательных веществ извне.
Также полосы желтого, серого или коричневого цвета характерны для так называемых тетрациклиновых зубов
(рекомендуем прочитать: как выглядят тетрациклиновые зубы, их фото и лечение)
Способы удаления пятен с зубов
Прежде чем приступать к поиску эффективного средства, которое поможет удалить пятна с зубов, нужно выявить причину. Важно знать, что самолечение может лишь навредить, поэтому требуется осмотр у стоматолога. Однако отказ от курения и чрезмерного употребления пищи с окрашивающими пигментами вполне можно сделать самостоятельно.
Медикаментозные
Медикаментозные методы наиболее эффективны в борьбе с нежелательной пигментацией. Стоматолог, осмотрев полость рта, установит причину и подберет способ решения проблемы.
Например, если причина потемнения эмали – кариес или потемнение пломбы, то может использоваться внутриканальное отбеливание, что хорошо помогает и при черных зубах (см.
также: почему возникают черные полоски на зубах?).
ЧИТАЕМ ТАКЖЕ: разрешено ли отбеливание зубов во время беременности?
В запущенном случае устраняют причину, а цвет эмали маскируют при помощи виниров, позволяющих исправить и форму зуба. Значительный плюс медикаментозного отбеливания – покрытие лаком, защищающим эмаль от бактерий и повышающим ее прочность.
Народные
Народные способы удаления пятен с зубов широко используются по сей день. Однако стоит иметь в виду, что они имеют большое количество противопоказаний. Так, пятна на зубах у ребенка не рекомендуется отбеливать народными средствами.
Женщины во время беременности и в период лактации также должны быть крайне осторожны.
Если же пациент уверен, что отбеливание народными средствами не принесет ему вреда, следует обратить внимание на следующие действующие вещества и рецепты:
- Пищевая сода – быстрый и легкий способ осветления эмали. Сода относится к агрессивным веществам, поэтому не следует использовать ее чаще двух раз в неделю – это может привести к истончению эмали. Чистый влажный тампон из бинта нужно макнуть в соду и круговыми движениями очищать каждый зуб в течение 5–10 секунд, не затрагивая десну.
- Лимонный сок. Довольно агрессивное вещество для отбеливания из-за высокого содержания кислот. Для проведения процедуры лимонный сок наносится на ватную палочку, с помощью которой протирают зубы. Оставляют сок на зубах не более 120 секунд, затем полощут рот содовым раствором или теплой водой.
- Древесная зола. Сравнительно безопасный метод осветления зубной поверхности, существующий с древнейших времен. Допускается бережное натирание эмали три раза в неделю. Лучше использовать очищенную золу из аптеки.
- Активированный уголь – эффективное и безопасное средство, способствующее избавлению эмали от налета. Таблетку хорошо измельчают и чуть-чуть увлажняют. Наносят на зубы с помощью ватной палочки и натирают их. Не стоит выполнять процедуру чаще двух раз в неделю, так как крупные частицы могут повредить эмаль.
- Перекись водорода – химическое средство осветления зубов (рекомендуем прочитать: химическая пломба или световая лучше? ). В данных целях применяют только 3-процентную концентрацию. Ватный тампон или ватная палочка смачивают перекисью, зубы протирают, затем тщательно ополаскивают полость рта.
- Яблочный уксус – очень эффективное средство, но требует большой осторожности в применении, так как способен истончить зубную эмаль. Для применения смешивается с обычной водой в пропорции 1:1. Такой смесью можно как протирать зубы, так и полоскать всю ротовую полость, но не чаще одного раза в семь дней.
Чистка профессиональная и домашняя
Если причиной появления зубного налета, пятен и камня не являются нарушения работы внутренних органов или стоматологические заболевания, их можно удалить с помощью профессиональной чистки. В кабинете стоматолога в зависимости от показаний, противопоказаний и финансовых возможностей могут предложить:
- Механическую чистку. Выполняется специальным инструментом с крючком на конце, не рекомендуется пациентам с чувствительной эмалью и деснами.
- Чистку лазером. Безболезненная процедура, во время которой хорошо удаляется зубной налет и пятна.
- Ультразвуковая чистка. Эффективный метод борьбы с желтым налетом, который разрушается под воздействием колебания волн определенной частоты.
- Чистка струей воздуха, воды и соды под большим давлением.
В домашних условиях можно избавиться от пятен и налета на зубах с помощью:
- комплектов из специальной лампы, геля и каппы (PearlSmile, White Light),
- отбеливающих гелей и паст (BleachBright, White Glo, White Kiss, Global White),
- полосок («Живая эмаль», Blend-a-Med 3D White Luxe, Crest 3D White Whitestrips LUXE, Aliexpress Advanced Teeth Whitening, Bright Light 3D White Professional Effects).
Если регулярно, дважды в неделю, чистить зубы отбеливающей зубной пастой, со временем также можно удалить некрасивую пигментацию.
Профилактика зубной «пятнистости»
При этом рекомендуется сократить употребление сладостей и пищи с красящими веществами, в особенности кофе и черного чая. Ради белоснежной улыбки также стоит оказаться от курения, есть регулярно яблоки и пить побольше чистой воды.
Начиная прием каких-либо лекарственных средств, поинтересуйтесь перечнем побочных эффектов – не скажутся ли они на зубах? Заботу о зубках ребенка стоит проявлять уже во время беременности, правильно и полноценно питаясь и отказавшись от вредных привычек, а лучше – еще до зачатия.


















































